Suppr超能文献

射频辐射对大鼠睾丸组织影响的组织学和生化分析及褪黑素的保护作用。

The histological and biochemical analysis of the effects of radiofrequency radiation on testis tissue of rats and the protective effect of melatonin.

机构信息

Department of Biophysics, Faculty of Medicine, Gazi University, Ankara, Turkiye.

Department of Biophysics, Faculty of Medicine, Fırat University, Elazığ, Turkiye.

出版信息

Turk J Med Sci. 2024 Mar 4;54(4):858-865. doi: 10.55730/1300-0144.5857. eCollection 2024.

Abstract

BACKGROUND/AIM: Primarily due to wireless communication devices, especially mobile phones, there has been a steady rise in the intensity of nonionizing radiofrequency radiation (RFR). In recent years, increased human health problems raised concerns about whether there is a positive relationship between intense exposure to RFR and public health. The present study aims to investigate the effects of GSM-like RFR exposure on the male reproductive system and the impact of melatonin treatment (synergistic, antagonist, or additive).

MATERIALS AND METHODS

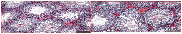
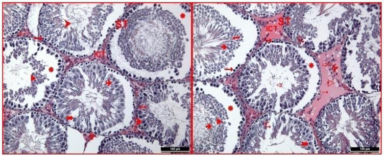
Thirty-six male Wistar Albino rats were used and separated into six groups: i. Control; ii. Sham; iii. RFR exposure; iv. Control-melatonin; v. Sham-melatonin; vi. Melatonin + RFR exposure. Animals were exposed to 2600 MHz RFR with electric (E) field levels of 21.74 V/m for 30 min per day, 5 days per week, for 4 weeks. All testicular tissue samples were evaluated under a light microscope for hematoxylin-eosin staining. Biochemical analyses were performed by measuring malondialdehyde, total nitric oxide, glutathione, and glutathione peroxidase levels. We evaluated the combined effects of prolonged RFR exposure and melatonin treatment on ROS-mediated structural changes in testicular tissues.

RESULTS

Results showed that reactive intermediates (malondialdehyde and total nitric oxide) increased significantly with RFR exposure, while the protective effect of melatonin effectively reduced the radical levels of the tissues. Histological evaluation revealed a decrease in cell population and connective tissue elements under RFR exposure, accompanied by marked edema in the testicular tissues.

CONCLUSION

The structural and functional effects of prolonged RFR exposure might be ROS-based. Moreover, these adverse effects might be compensated with externally treated supplements. There is a need for new extensive research.

摘要

背景/目的:主要由于无线通信设备,特别是移动电话,非电离射频辐射(RFR)的强度一直在稳步上升。近年来,越来越多的人类健康问题引起了人们的关注,即高强度的 RFR 暴露是否与公众健康之间存在正相关关系。本研究旨在探讨 GSM 样 RFR 暴露对男性生殖系统的影响,以及褪黑素治疗(协同、拮抗或相加)的影响。

材料和方法

使用 36 只雄性 Wistar 白化大鼠,并将其分为六组:i. 对照组;ii. 假手术组;iii. RFR 暴露组;iv. 对照组+褪黑素;v. 假手术组+褪黑素;vi. 褪黑素+RFR 暴露组。动物每天暴露于 2600MHz RFR 中,电场强度为 21.74V/m,每天 30 分钟,每周 5 天,持续 4 周。所有睾丸组织样本均通过苏木精-伊红染色在光学显微镜下进行评估。通过测量丙二醛、总一氧化氮、谷胱甘肽和谷胱甘肽过氧化物酶水平来进行生化分析。我们评估了长期 RFR 暴露和褪黑素治疗对 ROS 介导的睾丸组织结构变化的联合作用。

结果

结果表明,反应性中间体(丙二醛和总一氧化氮)随着 RFR 暴露而显著增加,而褪黑素的保护作用可有效降低组织中的自由基水平。组织学评估显示,RFR 暴露下细胞群和结缔组织元素减少,同时睾丸组织明显水肿。

结论

长期 RFR 暴露的结构和功能影响可能基于 ROS。此外,这些不利影响可以通过外部补充剂来补偿。需要进行新的广泛研究。

https://cdn.ncbi.nlm.nih.gov/pmc/blobs/de4f/11407361/412924f7ae94/tjmed-54-04-858f1.jpg

文献AI研究员

20分钟写一篇综述,助力文献阅读效率提升50倍。

立即体验

用中文搜PubMed

大模型驱动的PubMed中文搜索引擎

马上搜索

文档翻译

学术文献翻译模型,支持多种主流文档格式。

立即体验