Suppr超能文献

前列腺特异性膜抗原(PSMA)靶向放射诊疗在肾细胞癌实验模型中的性能

Performance of PSMA-targeted radiotheranostics in an experimental model of renal cell carcinoma.

作者信息

Singh Rajan, Thotakura Anand K, Alati Suresh, Lisok Alla, Jiang Zirui, Merino Vanessa F, Minn Il, Yadav Santosh, Markowski Mark C, Ged Yasser, Pavlovich Christian P, Singla Nirmish, Solnes Lilja B, Gorin Michael A, Pomper Martin G, Rowe Steven P, Banerjee Sangeeta Ray

机构信息

Russell H. Morgan Department of Radiology and Radiological Science, Johns Hopkins University, Baltimore, MD, United States.

Department of Oncology, Sidney Kimmel Comprehensive Cancer Center, Baltimore, MD, United States.

出版信息

Front Oncol. 2024 Sep 10;14:1432286. doi: 10.3389/fonc.2024.1432286. eCollection 2024.

Abstract

INTRODUCTION

Renal cell carcinoma (RCC) represents cancer originating from the renal epithelium and accounts for > 90% of cancers in the kidney. Prostate-specific membrane antigen (PSMA) is overexpressed in tumor-associated neovascular endothelial cells of many solid tumors, including metastatic RCC. Although studied in several small clinical studies, PSMA-based imaging and therapy have not been pursued rigorously in preclinical RCC. This study aimed to evaluate the preclinical performance of PSMA-based radiotheranostic agents in a relevant murine model.

METHODS

A PSMA-overexpressing murine cell line, PSMA+ RENCA, was developed by lentiviral transduction. PSMA-based theranostic agents, Ga-L1/Lu-L1/Ac-L1, were synthesized in high radiochemical yield and purity following our reported methods. Immunocompetent BALB/c mice were used for flank and orthotopic tumor inoculation. Ga-L1 was evaluated in small animal PET/CT imaging in flank and PET/MR imaging in orthotopic models. Cell viability studies were conducted for Lu-L1 and Ac-L1. Proof-of-concept treatment studies were performed using Ac-L1 (0, 37 kBq, 2 kBq × 37 kBq, 1 week apart) using PSMA+ RENCA in the flank model.

RESULTS

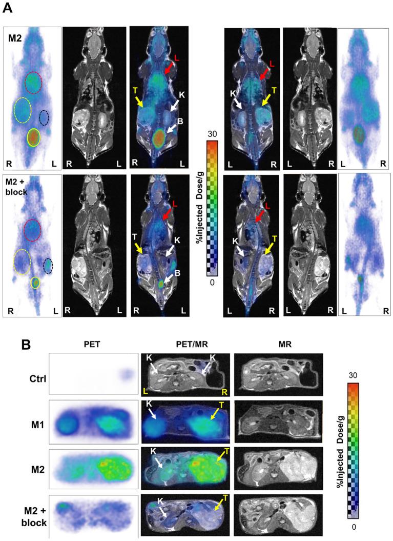
Cellular uptake of Ga-L1, Lu-L1, and Ac-L1 confirmed the specificity of the agents to PSMA+ RENCA cells rather than to RENCA (wt) cells, which are low in PSMA expression. The uptake in PSMA+ RENCA cells at 1 h for Ga-L1 (49.0% incubated dose [ID] ± 3.6%ID/million cells), Lu-L1 (22.1%ID ± 0.5%ID)/million cells), and Ac-L1 (4.1% ± 0.2% ID)/million cells), respectively, were higher than the RENCA (wt) cells (~ 1%ID-2%ID/million cells). PET/CT images displayed > 7-fold higher accumulation of Ga-L1 in PSMA+ RENCA compared to RENCA (wt) in flank implantation at 1 h. A twofold higher accumulation of Ga-L1 was observed in orthotopic tumors than in normal kidneys during 1-3 h postinjection. High lung uptake was observed with Ga-L1 PET/MR imaging 3 weeks after orthotopic implantation of PSMA+ RENCA due to spontaneous lung metastases. The imaging data were further confirmed by immunohistochemical characterization. Ac-L1 (0-37 kBq) displayed a dose-dependent reduction of cell proliferation in the PSMA+ RENCA cells after 48 h incubation; ~ 40% reduction in the cells with treated 37 kBq compared to vehicle ( < 0.001); however, no effect was observed with Lu-L1 (0-3700 kBq) up to 144 h postinoculation, suggesting lower efficacy of β-particle-emitting radiations in cellular studies compared to α-particle-emitting Ac-L1. Animals treated with Ac-L1 at 1 week posttumor inoculation in flank models displayed significant tumor growth delay ( < 0.03) and longer median survival of 21 days and 24 days for the treatment groups 37 kBq and 2 kBq × 37 kBq, respectively, compared to the vehicle group (12 days).

CONCLUSION

The results suggest that a theranostic strategy targeting PSMA, employing PET and α-emitting radiopharmaceuticals, enabled tumor growth control and enhanced survival in a relevant immunocompetent murine model of RCC. These studies provide the rationale for clinical studies of PSMA-targeted theranostic agents in patients with RCC.

摘要

引言

肾细胞癌(RCC)是起源于肾上皮的癌症,占肾脏癌症的90%以上。前列腺特异性膜抗原(PSMA)在包括转移性RCC在内的许多实体瘤的肿瘤相关新生血管内皮细胞中过表达。尽管在几项小型临床研究中进行了研究,但基于PSMA的成像和治疗在临床前RCC中尚未得到严格的探索。本研究旨在评估基于PSMA的放射诊疗剂在相关小鼠模型中的临床前性能。

方法

通过慢病毒转导建立了过表达PSMA的小鼠细胞系PSMA+RENCA。按照我们报道的方法,以高放射化学产率和纯度合成了基于PSMA的诊疗剂Ga-L1/Lu-L1/Ac-L1。将具有免疫活性的BALB/c小鼠用于侧腹和原位肿瘤接种。在侧腹小动物PET/CT成像和原位模型的PET/MR成像中评估Ga-L1。对Lu-L1和Ac-L1进行细胞活力研究。在侧腹模型中,使用Ac-L1(0、37 kBq、2 kBq×37 kBq,间隔1周)对PSMA+RENCA进行概念验证治疗研究。

结果

Ga-L1、Lu-L1和Ac-L1的细胞摄取证实了这些试剂对PSMA+RENCA细胞具有特异性,而对PSMA表达较低的RENCA(野生型)细胞没有特异性。Ga-L1、Lu-L1和Ac-L1在1小时时在PSMA+RENCA细胞中的摄取分别为(49.0%注射剂量[ID]±3.6%ID/百万细胞)、(22.1%ID±0.5%ID)/百万细胞)和(4.1%±0.2%ID)/百万细胞),均高于RENCA(野生型)细胞(~1%ID-2%ID/百万细胞)。PET/CT图像显示,在侧腹植入后1小时,Ga-L1在PSMA+RENCA中的积聚比RENCA(野生型)高7倍以上。注射后1-3小时,原位肿瘤中Ga-L1的积聚比正常肾脏高两倍。在PSMA+RENCA原位植入3周后,通过Ga-L1 PET/MR成像观察到肺部摄取较高,这是由于自发肺转移所致。成像数据通过免疫组织化学表征进一步得到证实。孵育48小时后,Ac-L1(0-37 kBq)在PSMA+RENCA细胞中显示出剂量依赖性的细胞增殖减少;与载体组(<0.001)相比,用37 kBq处理的细胞减少了约40%;然而,在接种后长达144小时内,Lu-L1(0-3700 kBq)未观察到效果,这表明与发射α粒子的Ac-L1相比,发射β粒子的辐射在细胞研究中的疗效较低。在侧腹模型中,肿瘤接种后1周用Ac-L1治疗的动物显示出明显的肿瘤生长延迟(<0.03),治疗组37 kBq和2 kBq×37 kBq的中位生存期分别为21天和24天,而载体组为12天。

结论

结果表明,在相关的具有免疫活性的RCC小鼠模型中,采用PET和发射α粒子的放射性药物的靶向PSMA的诊疗策略能够控制肿瘤生长并提高生存率。这些研究为PSMA靶向诊疗剂在RCC患者中的临床研究提供了理论依据。

https://cdn.ncbi.nlm.nih.gov/pmc/blobs/cd0e/11423292/17538f3f81d2/fonc-14-1432286-g001.jpg

文献AI研究员

20分钟写一篇综述,助力文献阅读效率提升50倍。

立即体验

用中文搜PubMed

大模型驱动的PubMed中文搜索引擎

马上搜索

文档翻译

学术文献翻译模型,支持多种主流文档格式。

立即体验