Suppr超能文献

评价不同形式的水飞蓟素对老年产蛋鸡肝脏状况及脂肪代谢、抗氧化和抗炎相关基因表达的治疗效果。

Evaluating the therapeutic effect of different forms of silymarin on liver status and expression of some genes involved in fat metabolism, antioxidants and anti-inflammatory in older laying hens.

机构信息

Department of Animal Science, Faculty of Agricultural, University of Kurdistan, Sanandaj, Iran.

Department of Animal Science, Faculty of Animal Sciences and Fisheries, Sari Agricultural Sciences and Natural Resources University, Sari, Iran.

出版信息

Vet Med Sci. 2024 Nov;10(6):e70025. doi: 10.1002/vms3.70025.

Abstract

BACKGROUND

Silymarin, the predominant compound of milk thistle, is an extract took out from milk thistle (Silybum marianum) seeds, containing a mixture of flavonolignans with strong antioxidant capability.

METHODS

The experiment was conducted using 70 Lohmann LSL-Lite hens at 80 weeks of age with 7 treatments each with 10 replicates. Treatments included: (1) control diet without silymarin, (2) daily intake of 100 mg silymarin powder/kg body weight (BW) (PSM100), (3) daily intake of 200 mg silymarin powder/kg BW (PSM200), (4) daily intake of 100 mg nano-silymarin/kg BW (NSM100), (5) daily intake of 200 mg nano-silymarin/kg BW (NSM200), (6) daily intake of 100 mg lecithinized silymarin/kg BW (LSM100) and (7) daily intake of 200 mg lecithinized silymarin/kg BW (LSM200). The birds were housed individually, and diets were fed for 12 weeks.

RESULTS

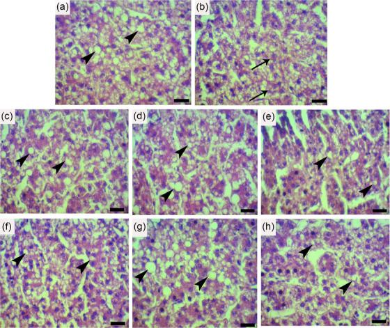
Scanning electron microscopy showed that NSM was produced with the average particle size of 20.30 nm. Silymarin treatment improved serum antioxidant enzyme activity. All groups receiving silymarin showed a decrease in liver malondialdehyde content, expression of fatty acid synthase, tumour necrosis factor alpha, interleukin 6 (IL-6) genes in the liver, and hepatic steatosis than the control, except those fed the PSM100 diet. There were decreases in liver dry matter and fat contents, non-alcoholic fatty liver disease and hepatocyte ballooning, and an increase in glutathione peroxidase gene expression and a decrease in iNOS gene expression in birds fed the NSM100, NSM200, LSM100 and LSM200 diets compared to the control group. Moreover, all groups receiving silymarin showed a significant decrease in liver weight compare to the control group.

CONCLUSIONS

Overall, the effects of silymarin when converted to NSM or LSM and offered at the level of 200 mg/kg BW were more pronounced on the hepatic variables and may be useful in the prevention of the liver disease in older laying hens.

摘要

背景

水飞蓟素是奶蓟草(水飞蓟)种子中的主要化合物,是一种从奶蓟草中提取的黄酮木脂素混合物,具有很强的抗氧化能力。

方法

该实验使用 80 周龄的 70 只罗曼 LSL-Lite 母鸡进行,分为 7 个处理组,每组 10 个重复。处理组包括:(1)不含水飞蓟素的基础日粮,(2)每日摄入 100mg 水飞蓟素粉/千克体重(BW)(PSM100),(3)每日摄入 200mg 水飞蓟素粉/千克 BW(PSM200),(4)每日摄入 100mg 纳米水飞蓟素/千克 BW(NSM100),(5)每日摄入 200mg 纳米水飞蓟素/千克 BW(NSM200),(6)每日摄入 100mg 卵磷脂化水飞蓟素/千克 BW(LSM100)和(7)每日摄入 200mg 卵磷脂化水飞蓟素/千克 BW(LSM200)。鸡单独饲养,饲料喂养 12 周。

结果

扫描电子显微镜显示,NSM 的平均粒径为 20.30nm。水飞蓟素处理可提高血清抗氧化酶活性。除 PSM100 组外,所有摄入水飞蓟素的组肝脏丙二醛含量、脂肪酸合成酶、肿瘤坏死因子-α、白细胞介素 6(IL-6)基因表达及肝脂肪变性均低于对照组。与对照组相比,喂食 NSM100、NSM200、LSM100 和 LSM200 日粮的鸡肝脏干物质和脂肪含量、非酒精性脂肪性肝病和肝细胞气球样变减少,谷胱甘肽过氧化物酶基因表达增加,诱导型一氧化氮合酶基因表达减少。此外,与对照组相比,所有摄入水飞蓟素的组肝脏重量均显著降低。

结论

总之,当水飞蓟素转化为 NSM 或 LSM 并以 200mg/kg BW 的水平添加时,对肝脏变量的影响更为明显,可能有助于预防老龄产蛋鸡的肝脏疾病。

https://cdn.ncbi.nlm.nih.gov/pmc/blobs/7baf/11426161/9d6eb4284911/VMS3-10-e70025-g003.jpg

文献AI研究员

20分钟写一篇综述,助力文献阅读效率提升50倍。

立即体验

用中文搜PubMed

大模型驱动的PubMed中文搜索引擎

马上搜索

文档翻译

学术文献翻译模型,支持多种主流文档格式。

立即体验