Suppr超能文献

携带人类 rs35705950 变异的转基因小鼠的博来霉素诱导的肺纤维化。

Bleomycin-Induced Pulmonary Fibrosis in Transgenic Mice Carrying the Human rs35705950 Variant.

机构信息

Department of Immunology, Faculty and Graduate School of Medicine, Mie University, Edobashi 2-174, Tsu 514-8507, Mie, Japan.

Department Pulmonary and Critical Care Medicine, Faculty and Graduate School of Medicine, Mie University, Edobashi 2-174, Tsu 514-8507, Mie, Japan.

出版信息

Cells. 2024 Sep 11;13(18):1523. doi: 10.3390/cells13181523.

Abstract

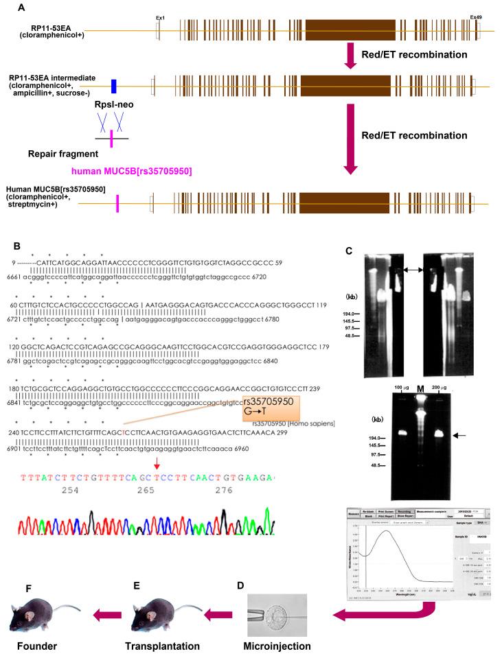
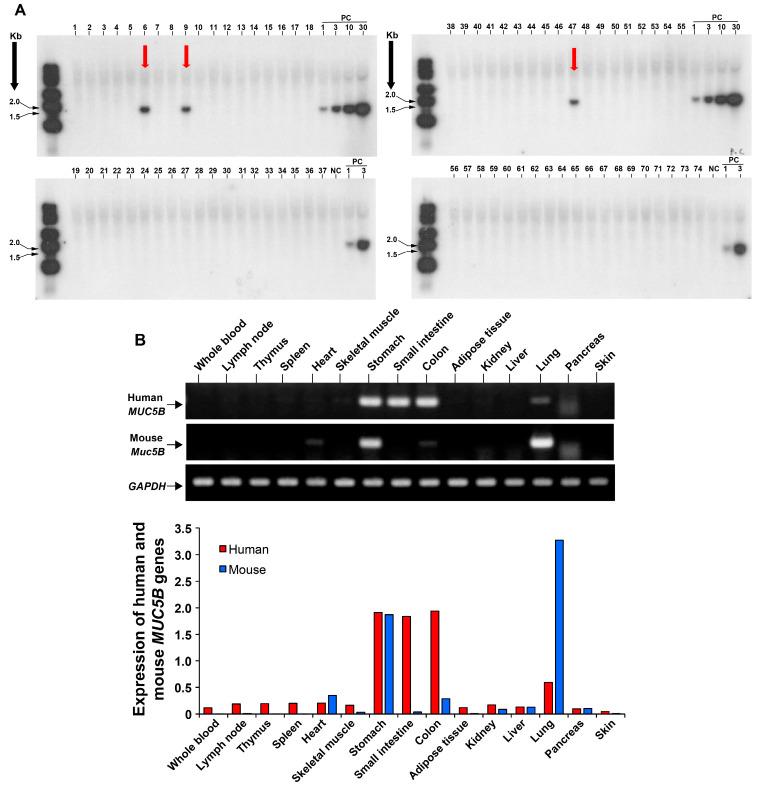
Idiopathic pulmonary fibrosis (IPF) is a progressive, often fatal lung disease characterized by tissue scarring and declining lung function. The promoter polymorphism rs35705950, a significant genetic predisposition for IPF, paradoxically associates with better survival and slower disease progression than other IPF genotypes. This study investigates the potential paradoxical protective effects of this variant in lung fibrosis. For this purpose, we developed a transgenic mouse model overexpressing the human rs35705950 variant in the proximal large airways. Lung fibrosis was induced through subcutaneous injection of bleomycin. Results demonstrated significantly reduced lung fibrosis severity in transgenic mice compared to wild-type mice, assessed by trichrome staining, Ashcroft scoring, and hydroxyproline levels. Additionally, transgenic mice showed significantly lower levels of inflammatory cells and cytokines (TNFα, IL-6, IFNγ) and growth factors (PDGF, CTGF, IL-13) in the bronchoalveolar lavage fluid and lung tissues. There was also a significant decrease in mRNA expressions of fibrosis-related markers (periostin, fibronectin, Col1a1). In summary, this study reveals that mucin overexpression related to the rs35705950 variant in the large airways significantly attenuates lung fibrosis and inflammatory responses in transgenic mice. These findings suggest that the rs35705950 variant modulates inflammatory and fibrotic responses in the proximal airways, which may contribute to the slower disease progression observed in IPF patients carrying this variant. Our study offers a possible explanation for the paradoxical beneficial effects of the variant despite its role as a significant predisposing factor for IPF.

摘要

特发性肺纤维化(IPF)是一种进行性的、常致命的肺部疾病,其特征是组织瘢痕形成和肺功能下降。促进子多态性 rs35705950 是 IPF 的一个重要遗传易感性因素,它与更好的生存和更慢的疾病进展相关,这与其他 IPF 基因型相反。本研究探讨了该变体在肺纤维化中的潜在矛盾保护作用。为此,我们开发了一种在近端大气道中过表达人 rs35705950 变体的转基因小鼠模型。通过皮下注射博来霉素诱导肺纤维化。结果表明,与野生型小鼠相比,转基因小鼠的肺纤维化严重程度显著降低,通过三色染色、Ashcroft 评分和羟脯氨酸水平评估。此外,转基因小鼠的支气管肺泡灌洗液和肺组织中的炎症细胞和细胞因子(TNFα、IL-6、IFNγ)和生长因子(PDGF、CTGF、IL-13)水平也显著降低。纤维化相关标志物(periostin、fibronectin、Col1a1)的 mRNA 表达也显著下降。总之,本研究表明,与 rs35705950 变体相关的粘蛋白在大气道中的过度表达显著减轻了转基因小鼠的肺纤维化和炎症反应。这些发现表明,rs35705950 变体调节近端气道中的炎症和纤维化反应,这可能导致携带该变体的 IPF 患者疾病进展较慢。我们的研究为该变体尽管是 IPF 的一个重要易感性因素,但仍具有矛盾的有益作用提供了可能的解释。

https://cdn.ncbi.nlm.nih.gov/pmc/blobs/5c9e/11430646/b7cee1cf4193/cells-13-01523-g001.jpg

文献AI研究员

20分钟写一篇综述,助力文献阅读效率提升50倍。

立即体验

用中文搜PubMed

大模型驱动的PubMed中文搜索引擎

马上搜索

文档翻译

学术文献翻译模型,支持多种主流文档格式。

立即体验