Suppr超能文献

断奶时自噬缺陷会损害补体依赖性突触修剪,并导致行为缺陷。

Autophagy defects at weaning impair complement-dependent synaptic pruning and induce behavior deficits.

机构信息

Henan Mental Hospital, The Second Affiliated Hospital of Xinxiang Medical University, 388 Middle Jianshe Road, Xinxiang, 453002, China.

Brain Institute, Henan Academy of Innovations in Medical Science, Zhengzhou, 451163, China.

出版信息

J Neuroinflammation. 2024 Sep 27;21(1):239. doi: 10.1186/s12974-024-03235-z.

Abstract

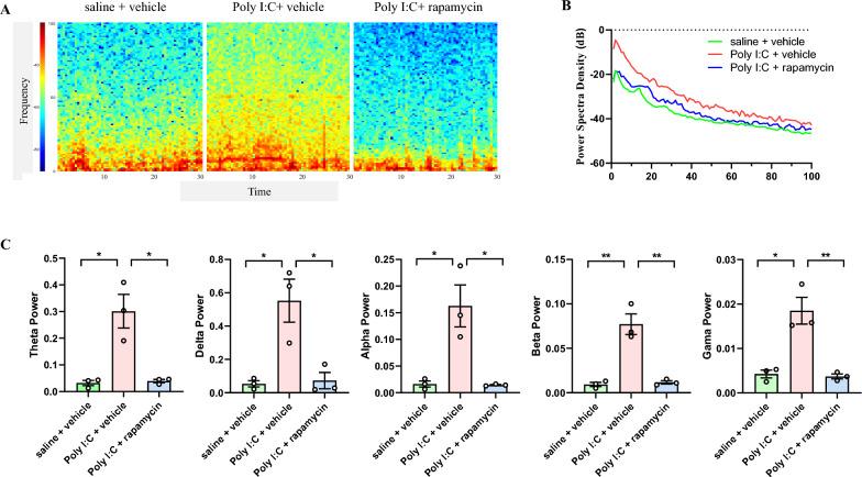
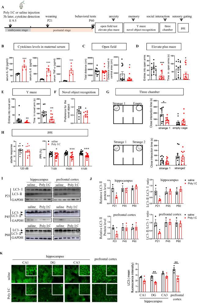
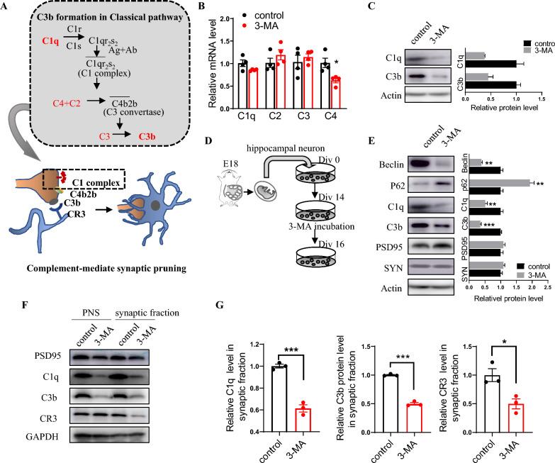
Autophagy is crucial for synaptic plasticity and the architecture of dendritic spines. However, the role of autophagy in schizophrenia (SCZ) and the mechanisms through which it affects synaptic function remain unclear. In this study, we identified 995 single nucleotide polymorphisms (SNPs) across 19 autophagy-related genes that are associated with SCZ. Gene Set Enrichment Analysis (GSEA) of data from the Gene Expression Omnibus public database revealed defective autophagy in patients with SCZ. Using a maternal immune activation (MIA) rat model, we observed that autophagy was downregulated during the weaning period, and early-life activation of autophagy with rapamycin restored abnormal behaviors and electrophysiological deficits in adult rats. Additionally, inhibition of autophagy with 3-Methyladenine (3-MA) during the weaning period resulted in aberrant behaviors, abnormal electrophysiology, increased spine density, and reduced microglia-mediated synaptic pruning. Furthermore, 3-MA treatment significantly decreased the expression and synaptosomal content of complement, impaired the recognition of C3b and CR3, indicating that autophagy deficiency disrupts complement-mediated synaptic pruning. Our findings provide evidence for a significant association between SCZ and defective autophagy, highlighting a previously underappreciated role of autophagy in regulating the synaptic and behavioral deficits induced by MIA.

摘要

自噬对于突触可塑性和树突棘的结构至关重要。然而,自噬在精神分裂症(SCZ)中的作用以及它影响突触功能的机制仍不清楚。在这项研究中,我们鉴定了 19 个自噬相关基因中的 995 个单核苷酸多态性(SNPs)与 SCZ 相关。来自基因表达综合数据库(GEO)公共数据库的数据的基因集富集分析(GSEA)显示 SCZ 患者存在自噬缺陷。使用母体免疫激活(MIA)大鼠模型,我们观察到自噬在断奶期间下调,并且用雷帕霉素早期激活自噬可恢复成年大鼠的异常行为和电生理缺陷。此外,在断奶期间用 3-甲基腺嘌呤(3-MA)抑制自噬会导致异常行为、电生理学异常、棘密度增加和微胶质细胞介导的突触修剪减少。此外,3-MA 处理显著降低了补体的表达和突触小体含量,损害了 C3b 和 CR3 的识别,表明自噬缺陷破坏了补体介导的突触修剪。我们的研究结果为 SCZ 与自噬缺陷之间存在显著关联提供了证据,强调了自噬在调节 MIA 诱导的突触和行为缺陷中的先前被低估的作用。

https://cdn.ncbi.nlm.nih.gov/pmc/blobs/6294/11438297/a90b0c21f2c5/12974_2024_3235_Fig1_HTML.jpg

文献AI研究员

20分钟写一篇综述,助力文献阅读效率提升50倍。

立即体验

用中文搜PubMed

大模型驱动的PubMed中文搜索引擎

马上搜索

文档翻译

学术文献翻译模型,支持多种主流文档格式。

立即体验