Suppr超能文献

脊柱侧弯与缺氧关联的初步调查:关于消除缺氧因素对脊柱侧弯治疗结果影响的回顾性队列研究

Preliminary Investigation into the Association between Scoliosis and Hypoxia: A Retrospective Cohort Study on the Impact of Eliminating Hypoxic Factors on Scoliosis Outcomes.

作者信息

Ugur Fatih, Topal Kubra, Albayrak Mehmet, Taskin Recep, Topal Murat

机构信息

Department of Orthopaedics and Traumatology, Kastamonu University Medical Faculty, 37100 Kastamonu, Turkey.

Department of Otorhinolaryngology, Private Clinic, 37100 Kastamonu, Turkey.

出版信息

Children (Basel). 2024 Sep 18;11(9):1134. doi: 10.3390/children11091134.

Abstract

OBJECTIVE

This study delves into the implications of adenoidectomy for scoliosis progression, investigating the intricate nexus of hypoxia, spinal curvature, and surgical intervention. With adenoidectomy being a common procedure for addressing pediatric sleep-disordered breathing, this research study explores its potential impact on spinal health.

PATIENTS AND METHODS

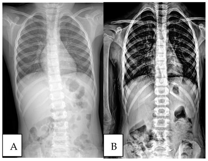
Employing a retrospective cohort design, this study gathered data from patients who underwent adenoidectomy, including those with scoliosis, between January 2017 and March 2023. Initial and follow-up evaluations involved clinical and radiological assessments, notably measuring the Cobb angle to quantify spinal curvature.

RESULTS

This study enrolled 218 patients under 10 years old. Among them, 18 exhibited Cobb angles of 10° or more, with a mean Cobb angle of 12.8°. In the follow-up evaluation, 83% of patients with initial Cobb angles of 10° or more were reached out to, along with 84.6% of those with Cobb angles below 10°. The postoperative follow-up revealed a notable decrease in Cobb angles for most patients, particularly those with an initial Cobb angle exceeding 10°.

CONCLUSIONS

This study underscores the potential connection between adenoidectomy, hypoxia, and scoliosis regression, highlighting the importance of early intervention for scoliosis management. Despite certain limitations, this investigation lays the foundation for future research involving larger patient cohorts and multifaceted analyses. The observed interactions between airway function, hypoxia, and spinal health open avenues for refining clinical strategies in scoliosis treatment.

摘要

目的

本研究深入探讨腺样体切除术对脊柱侧弯进展的影响,研究缺氧、脊柱弯曲和手术干预之间的复杂关系。腺样体切除术是治疗小儿睡眠呼吸障碍的常见手术,本研究探讨其对脊柱健康的潜在影响。

患者与方法

本研究采用回顾性队列设计,收集了2017年1月至2023年3月期间接受腺样体切除术的患者的数据,包括脊柱侧弯患者。初始评估和随访评估包括临床和放射学评估,特别是测量Cobb角以量化脊柱弯曲度。

结果

本研究纳入了218名10岁以下的患者。其中,18名患者的Cobb角为10°或更大,平均Cobb角为12.8°。在随访评估中,初始Cobb角为10°或更大的患者中有83%被随访,Cobb角低于10°的患者中有84.6%被随访。术后随访显示,大多数患者的Cobb角显著减小,尤其是初始Cobb角超过10°的患者。

结论

本研究强调了腺样体切除术、缺氧和脊柱侧弯消退之间的潜在联系,突出了早期干预对脊柱侧弯治疗的重要性。尽管存在某些局限性,但本研究为未来涉及更大患者群体和多方面分析的研究奠定了基础。观察到的气道功能、缺氧和脊柱健康之间的相互作用为完善脊柱侧弯治疗的临床策略开辟了道路。

https://cdn.ncbi.nlm.nih.gov/pmc/blobs/28b9/11429953/4ad454e39c89/children-11-01134-g001.jpg

文献AI研究员

20分钟写一篇综述,助力文献阅读效率提升50倍。

立即体验

用中文搜PubMed

大模型驱动的PubMed中文搜索引擎

马上搜索

文档翻译

学术文献翻译模型,支持多种主流文档格式。

立即体验