Suppr超能文献

慢性间质性膀胱炎和膀胱疼痛综合征的发病机制及当前治疗方法

The Pathomechanism and Current Treatments for Chronic Interstitial Cystitis and Bladder Pain Syndrome.

作者信息

Yu Wan-Ru, Jhang Jia-Fong, Jiang Yuan-Hong, Kuo Hann-Chorng

机构信息

Department of Nursing, Hualien Tzu Chi Hospital, Buddhist Tzu Chi Medical Foundation, Hualien 970, Taiwan.

Department of Urology, Hualien Tzu Chi Hospital, Buddhist Tzu Chi Medical Foundation, and Tzu Chi University, Hualien 970, Taiwan.

出版信息

Biomedicines. 2024 Sep 10;12(9):2051. doi: 10.3390/biomedicines12092051.

Abstract

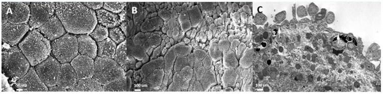
Interstitial cystitis/bladder pain syndrome (IC/BPS) is a chronic and debilitating condition characterized by symptoms such as bladder pain, frequent urination, and nocturia. Pain is typically perceived in the lower abdomen, pelvic floor, or urethra, causing significant discomfort and impacting quality of life. Due to the similarity of its symptoms with those of overactive bladder and acute bacterial cystitis, patients often face misdiagnosis and delayed appropriate treatment. Hunner's (HIC) and non-Hunner's IC (NHIC), each with distinct clinical presentations, urothelial dysfunction, chronic inflammation, and central sensitization and thus multimodal symptomatic treatment approaches, may be the most common pathogeneses of IC/BPS. Treatment of IC/BPS should involve identifying the different clinical phenotypes and underlying pathophysiology causing clinical symptoms and developing strategies tailored to the patient's needs. This review discusses the roles of urine biomarkers, bladder inflammation, and glycosaminoglycans in the pathogenesis of IC/BPS. Various bladder treatment modalities are explored, including glycosaminoglycan replenishment, botulinum toxin A injection, platelet-rich plasma injection, low-energy shock waves, immunosuppression, and low-dose oral prednisolone. Pelvic floor muscle physiotherapy and bladder therapy combined with psychiatric consultation can help alleviate psychological stress and enhance the quality of life of patients with IC/BPS. Elucidating the pathological mechanisms and exploring diverse treatment options would help advance the care of individuals suffering from this challenging bladder condition.

摘要

间质性膀胱炎/膀胱疼痛综合征(IC/BPS)是一种慢性衰弱性疾病,其特征为膀胱疼痛、尿频和夜尿等症状。疼痛通常出现在下腹部、盆底或尿道,会引起严重不适并影响生活质量。由于其症状与膀胱过度活动症和急性细菌性膀胱炎的症状相似,患者常常面临误诊以及适当治疗的延误。亨纳氏间质性膀胱炎(HIC)和非亨纳氏间质性膀胱炎(NHIC),各自具有独特的临床表现、尿路上皮功能障碍、慢性炎症和中枢敏化,因此多模式对症治疗方法可能是IC/BPS最常见的发病机制。IC/BPS的治疗应包括识别导致临床症状的不同临床表型和潜在病理生理学,并制定适合患者需求的策略。本综述讨论了尿液生物标志物、膀胱炎症和糖胺聚糖在IC/BPS发病机制中的作用。探讨了各种膀胱治疗方式,包括补充糖胺聚糖、注射肉毒杆菌毒素A、注射富含血小板血浆、低能量冲击波、免疫抑制和低剂量口服泼尼松龙。盆底肌肉理疗和膀胱治疗结合精神科会诊有助于减轻心理压力,提高IC/BPS患者的生活质量。阐明病理机制并探索多种治疗选择将有助于改善对患有这种具有挑战性的膀胱疾病患者的护理。

https://cdn.ncbi.nlm.nih.gov/pmc/blobs/ccd3/11428245/55e6172bc66d/biomedicines-12-02051-g001.jpg

文献AI研究员

20分钟写一篇综述,助力文献阅读效率提升50倍。

立即体验

用中文搜PubMed

大模型驱动的PubMed中文搜索引擎

马上搜索

文档翻译

学术文献翻译模型,支持多种主流文档格式。

立即体验