Suppr超能文献

碘代十七甲川花菁-曲妥珠单抗缀合物的声动力学疗法用于 HER2+乳腺癌。

Sonodynamic Therapy for HER2+ Breast Cancer with Iodinated Heptamethine Cyanine-Trastuzumab Conjugate.

机构信息

Department of Chemical Sciences, Faculty of Natural Sciences, Ariel University, Ariel 40700, Israel.

Adelson School of Medicine, Ariel University, Ariel 40700, Israel.

出版信息

Int J Mol Sci. 2024 Sep 21;25(18):10137. doi: 10.3390/ijms251810137.

Abstract

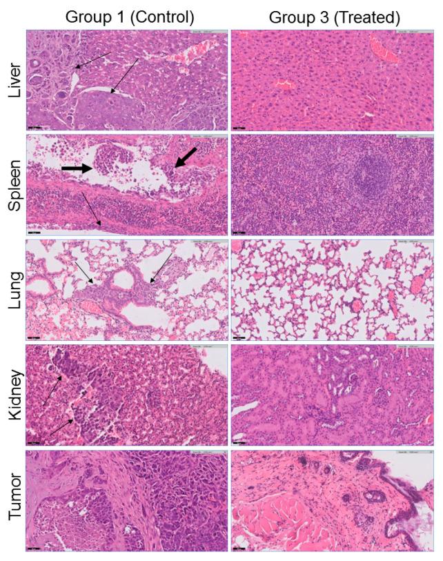
The first example of sonodynamic therapy (SDT) with a cyanine dye-antibody conjugate is reported. The aim of this study was to evaluate the sonodynamic efficacy of a trastuzumab-guided diiodinated heptamethine cyanine-based sensitizer, versus its non-iodinated counterpart, , in a human epidermal growth factor receptor 2-positive (HER2+) xenograft model. In addition, the combined sonodynamic and photodynamic (PDT) effects were investigated. A single intravenous injection of followed by sonication or combined sonication and photoirradiation in mice resulted in complete tumor growth suppression compared with the nontreated control and showed no detectable toxicity to off-target tissues. In contrast, provided only a moderate therapeutic effect (~1.4-1.6-fold suppression). SDT with resulted in a 3.5-fold reduction in tumor volume within 45 days and exhibited 13-fold greater tumor suppression than PDT alone. In addition, showed more durable sonostability than photostability. The sonotoxicity of the iodinated versus noniodinated counterparts is attributed to the increased generation of hydroxyl radicals, superoxide, and singlet oxygen. We observed no significant contribution of PDT to the efficacy of the combined SDT and PDT, indicating that SDT with is superior to PDT alone. These new findings set the stage for the application of cyanine-antibody conjugates for fluorescently monitored targeted sonodynamic treatment of cancer.

摘要

首例基于花青染料-抗体偶联物的声动力学疗法 (SDT) 被报道。本研究旨在评估曲妥珠单抗导向的二碘化庚甲花青基敏化剂 ,与非碘代类似物 ,在人表皮生长因子受体 2 阳性 (HER2+) 异种移植模型中的声动力学疗效。此外,还研究了联合声动力和光动力 (PDT) 的效果。与未处理的对照组相比,单次静脉注射 后进行超声处理或联合超声处理和光辐照,可完全抑制肿瘤生长,并且对非靶组织没有检测到毒性。相比之下, 仅提供了适度的治疗效果(~1.4-1.6 倍抑制)。使用 进行 SDT 可在 45 天内使肿瘤体积减少 3.5 倍,并且比单独 PDT 抑制肿瘤的效果高 13 倍。此外, 比光稳定性具有更高的超声稳定性。碘代与非碘代类似物的声毒性归因于羟基自由基、超氧自由基和单线态氧的生成增加。我们观察到联合 SDT 和 PDT 中 PDT 对疗效没有显著贡献,表明与单独 PDT 相比,使用 进行 SDT 更优越。这些新发现为基于花青染料-抗体偶联物的荧光监测靶向声动力学治疗癌症的应用奠定了基础。

https://cdn.ncbi.nlm.nih.gov/pmc/blobs/3ef7/11431973/8cf16c1f73dc/ijms-25-10137-g002.jpg

文献AI研究员

20分钟写一篇综述,助力文献阅读效率提升50倍。

立即体验

用中文搜PubMed

大模型驱动的PubMed中文搜索引擎

马上搜索

文档翻译

学术文献翻译模型,支持多种主流文档格式。

立即体验