Suppr超能文献

术中超声造影在改善术中决策方面表现出色。

Contrast-Enhanced Intraoperative Ultrasound Shows Excellent Performance in Improving Intraoperative Decision-Making.

作者信息

Kupke Laura S, Dropco Ivor, Götz Markus, Kupke Paul, Jung Friedrich, Stroszczynski Christian, Jung Ernst-Michael

机构信息

Department of Radiology, University Hospital Regensburg, 93053 Regensburg, Germany.

Department of Surgery, University Hospital Regensburg, 93053 Regensburg, Germany.

出版信息

Life (Basel). 2024 Sep 22;14(9):1199. doi: 10.3390/life14091199.

Abstract

BACKGROUND

The aim of this study was to evaluate the performance and the impact of contrast-enhanced intraoperative ultrasound (CE-IOUS) on intraoperative decision-making, as there is still no standardized protocol for its use. Therefore, we retrospectively analyzed multiple CE-IOUS performed in hepato-pancreatic-biliary surgery with respect to pre- and postoperative imaging and histopathological findings.

METHODS

Data of 50 patients who underwent hepato-pancreatic-biliary surgery between 03/2022 and 03/2024 were retrospectively collected. CE-IOUS was performed with a linear 6-9 MHz multifrequency probe connected to a high-resolution device. The ultrasound contrast agent used was a stabilized aqueous suspension of sulphur hexafluoride microbubbles.

RESULTS

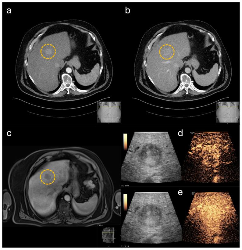
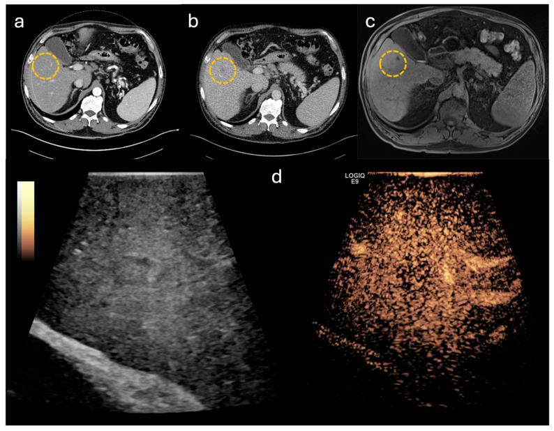
In total, all 50 lesions indicated for surgery were correctly identified. In 30 cases, CE-IOUS was used to localize the primary lesion and to define the resection margins. In the remaining 20 cases, CE-IOUS identified an additional lesion. Fifteen of these findings were identified as malignant. In eight of these cases, the additional malignant lesion was subsequently resected. In the remaining seven cases, CE-IOUS again revealed an inoperable situation. In summary, CE-IOUS diagnostics resulted in a high correct classification rate of 95.7%, with positive and negative predictive values of 95.2% and 100.0%, respectively.

CONCLUSIONS

CE-IOUS shows excellent performance in describing intraoperative findings in hepato-pancreatic-biliary surgery, leading to a substantial impact on intraoperative decision-making.

摘要

背景

本研究的目的是评估术中超声造影(CE-IOUS)的性能及其对术中决策的影响,因为目前其使用仍没有标准化方案。因此,我们回顾性分析了在肝胰胆手术中进行的多次CE-IOUS检查,并将其与术前和术后影像学及组织病理学结果进行对比。

方法

回顾性收集了2022年3月至2024年3月期间接受肝胰胆手术的50例患者的数据。使用连接到高分辨率设备的线性6-9MHz多频探头进行CE-IOUS检查。所使用的超声造影剂是六氟化硫微泡的稳定水悬浮液。

结果

总共50个拟行手术的病变均被正确识别。在30例病例中,CE-IOUS用于定位原发病变并确定切除边缘。在其余20例病例中,CE-IOUS发现了额外的病变。其中15个发现为恶性。在其中8例病例中,随后切除了额外的恶性病变。在其余7例病例中,CE-IOUS再次显示无法手术。总之,CE-IOUS诊断的正确分类率高达95.7%,阳性和阴性预测值分别为95.2%和100.0%。

结论

CE-IOUS在描述肝胰胆手术中的术中发现方面表现出色,对术中决策产生了重大影响。

https://cdn.ncbi.nlm.nih.gov/pmc/blobs/be78/11433090/3d69ef2596ef/life-14-01199-g001.jpg

文献AI研究员

20分钟写一篇综述,助力文献阅读效率提升50倍。

立即体验

用中文搜PubMed

大模型驱动的PubMed中文搜索引擎

马上搜索

文档翻译

学术文献翻译模型,支持多种主流文档格式。

立即体验