Suppr超能文献

与林奇综合征相关的乳腺癌和直肠癌:一例报告。

Breast cancer and rectal cancer associated with Lynch syndrome: A case report.

作者信息

Qin Pei-Fang, Yang Ling, Hu Jun-Ping, Zhang Jing-Yue

机构信息

Department of Laboratory Medicine, The People Hospital of Guigang, Guigang 537100, Guangxi Zhuang Autonomous Region, China.

出版信息

World J Clin Oncol. 2024 Sep 24;15(9):1215-1221. doi: 10.5306/wjco.v15.i9.1215.

Abstract

BACKGROUND

The development mechanisms of Lynch syndrome (LS)-related breast cancer (BC) and rectal cancer are complex and variable, leading to personalized variations in diagnosis and treatment plans.

CASE SUMMARY

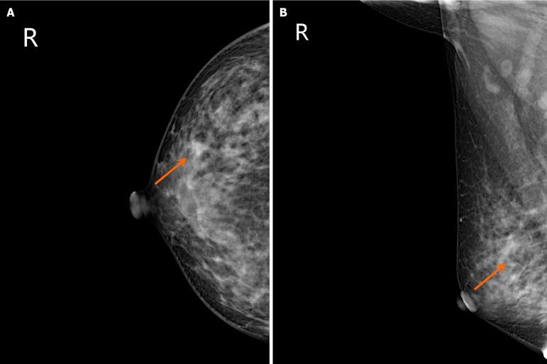
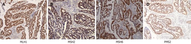
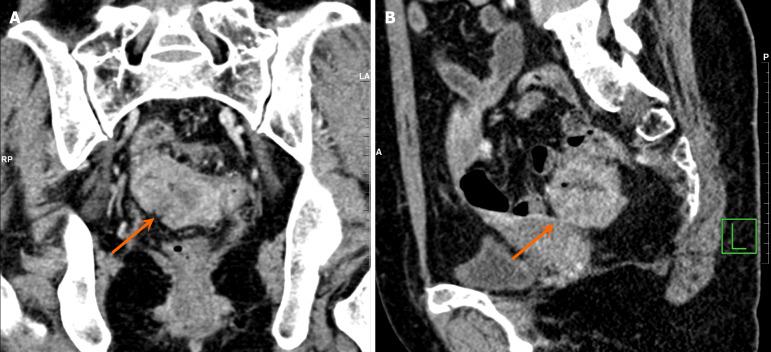
This paper presents a comprehensive review of clinical diagnosis and treatment data from a patient with LS-associated BC and rectal cancer. Moreover, screening data and management guidelines, as well as relevant literature on LS, are included in this report. This study summarizes the molecular pathogenesis, clinicopathological features, and screening and management protocols for LS-associated BC and rectal cancer.

CONCLUSION

Implementing early screening, prevention, and timely diagnosis and treatment measures is expected to reduce mitigate the incidence and mortality of LS-related BC and rectal cancer.

摘要

背景

林奇综合征(LS)相关乳腺癌(BC)和直肠癌的发病机制复杂且多变,导致诊断和治疗方案存在个性化差异。

病例摘要

本文全面回顾了1例LS相关乳腺癌和直肠癌患者的临床诊断和治疗数据。此外,本报告还纳入了筛查数据和管理指南以及有关LS的相关文献。本研究总结了LS相关乳腺癌和直肠癌的分子发病机制、临床病理特征以及筛查和管理方案。

结论

实施早期筛查、预防以及及时的诊断和治疗措施有望降低LS相关乳腺癌和直肠癌的发病率和死亡率。

https://cdn.ncbi.nlm.nih.gov/pmc/blobs/a5e2/11438856/01a61a8db273/WJCO-15-1215-g001.jpg

文献AI研究员

20分钟写一篇综述,助力文献阅读效率提升50倍。

立即体验

用中文搜PubMed

大模型驱动的PubMed中文搜索引擎

马上搜索

文档翻译

学术文献翻译模型,支持多种主流文档格式。

立即体验