Suppr超能文献

成纤维细胞活化蛋白α作为肺纤维化的生物标志物。

The fibroblast activation protein alpha as a biomarker of pulmonary fibrosis.

作者信息

Lavis Philomène, Garabet Ani, Cardozo Alessandra Kupper, Bondue Benjamin

机构信息

Department of Pathology, Hôpital universitaire de Bruxelles, Université libre de Bruxelles, Brussels, Belgium.

IRIBHM, Université libre de Bruxelles, Brussels, Belgium.

出版信息

Front Med (Lausanne). 2024 Sep 19;11:1393778. doi: 10.3389/fmed.2024.1393778. eCollection 2024.

Abstract

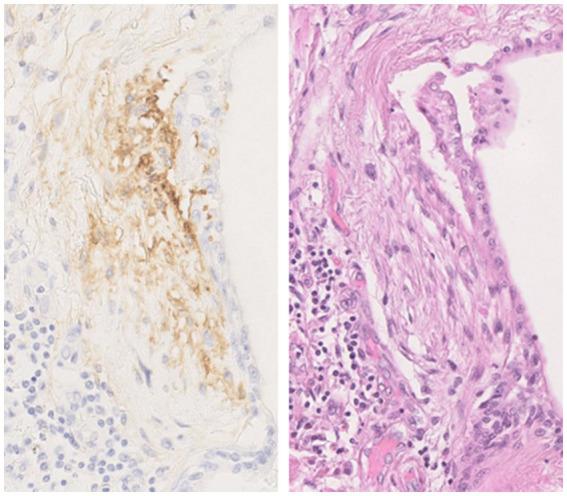
Idiopathic pulmonary fibrosis (IPF) is a rare, chronic, and progressive interstitial lung disease with an average survival of approximately 3 years. The evolution of IPF is unpredictable, with some patients presenting a relatively stable condition with limited progression over time, whereas others deteriorate rapidly. In addition to IPF, other interstitial lung diseases can lead to pulmonary fibrosis, and up to a third have a progressive phenotype with the same prognosis as IPF. Clinical, biological, and radiological risk factors of progression were identified, but no specific biomarkers of fibrogenesis are currently available. A recent interest in the fibroblast activation protein alpha (FAPα) has emerged. FAPα is a transmembrane serine protease with extracellular activity. It can also be found in a soluble form, also named anti-plasmin cleaving enzyme (APCE). FAPα is specifically expressed by activated fibroblasts, and quinoline-based specific inhibitors (FAPI) were developed, allowing us to visualize its distribution by imaging techniques. In this review, we discuss the use of FAPα as a useful biomarker for the progression of lung fibrosis, by both its assessment in human fluids and/or its detection by imaging techniques and immunohistochemistry.

摘要

特发性肺纤维化(IPF)是一种罕见的、慢性进行性间质性肺疾病,平均生存期约为3年。IPF的病情发展不可预测,一些患者病情相对稳定,随时间推移进展有限,而另一些患者则迅速恶化。除IPF外,其他间质性肺疾病也可导致肺纤维化,高达三分之一的患者具有进行性表型,预后与IPF相同。虽然已经确定了疾病进展的临床、生物学和放射学危险因素,但目前尚无纤维化形成的特异性生物标志物。最近人们对成纤维细胞活化蛋白α(FAPα)产生了兴趣。FAPα是一种具有细胞外活性的跨膜丝氨酸蛋白酶。它也可以以可溶性形式存在,也称为抗纤溶酶裂解酶(APCE)。FAPα在活化的成纤维细胞中特异性表达,基于喹啉的特异性抑制剂(FAPI)被开发出来,使我们能够通过成像技术可视化其分布。在这篇综述中,我们讨论了FAPα作为肺纤维化进展的有用生物标志物的应用,包括通过对人体体液的评估和/或通过成像技术及免疫组织化学进行检测。

https://cdn.ncbi.nlm.nih.gov/pmc/blobs/6cd5/11446883/f1372f1fb4bd/fmed-11-1393778-g001.jpg

文献AI研究员

20分钟写一篇综述,助力文献阅读效率提升50倍。

立即体验

用中文搜PubMed

大模型驱动的PubMed中文搜索引擎

马上搜索

文档翻译

学术文献翻译模型,支持多种主流文档格式。

立即体验