Suppr超能文献

槲皮素作为一种治疗剂,通过激活 Nrf2/Keap1 通路来减轻肺缺血再灌注损伤。

Quercetin as a therapeutic agent activate the Nrf2/Keap1 pathway to alleviate lung ischemia-reperfusion injury.

机构信息

Physiology Research Center, Institute of Neuropharmacology, Kerman University of Medical Sciences, Kerman, Iran.

Endocrinology and Metabolism Research Center, Institute of Basic and Clinical Physiology Sciences, Kerman University of Medical Sciences, Kerman, Iran.

出版信息

Sci Rep. 2024 Oct 4;14(1):23074. doi: 10.1038/s41598-024-73075-7.

Abstract

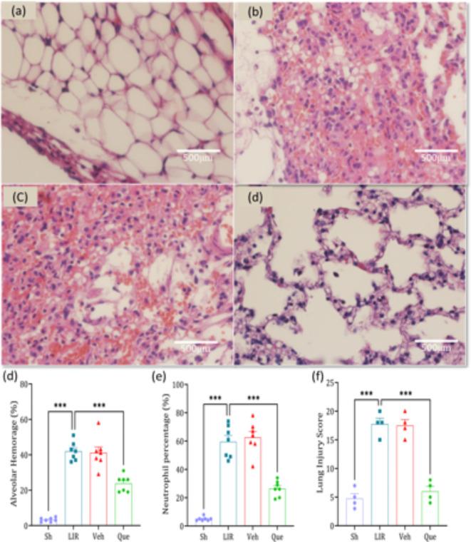
Lung ischemia-reperfusion injury (LIRI) causes oxidative stress, inflammation, and immune system activation. The Nrf2/Keap1/HO-1 pathway is important in cellular defense against these effects. Quercetin, a flavonoid with antioxidant, anti-inflammatory, and anti-cancer properties, has been investigated. Our aim in this study was to investigate the effect of quercetin on preventing lung ischemia-reperfusion injury and the role of the Nrf2/Keap1/HO-1 pathway. Sixty-four male Wistar rats were divided into four distinct groups(n = 16). Sham, lung ischemia-reperfusion (LIR), Saline + LIR, Quercetin + LIR (30 mg/kg i.p for a week before LIR). LIR groups were subjected to 60 min of ischemia (left pulmonary artery, vein, and bronchus) and 120 min of reperfusion. Our assessment encompassed a comprehensive analysis of various factors, including the evaluation of expression Nrf2, Keap1, and Heme Oxygenase-1 (HO-1) levels and NF-κB protein. Furthermore, we examined markers related to inflammation (interleukin-1β and tumor necrosis factor alpha), oxidative stress (malondialdehyde, total oxidant status, superoxide dismutase, glutathione peroxidase, total antioxidant capacity), lung edema (Wet/dry lung weight ratio and total protein concentration), apoptosis (Bax and Bcl2 protein), and histopathological alterations (intra-alveolar edema, alveolar hemorrhage, and neutrophil infiltration). Our results show that ischemia-reperfusion results in heightened inflammation, oxidative stress, apoptosis, lung edema, and histopathological damage. Quercetin showed preventive effects by reducing these markers, acting through modulation of the Nrf2/Keap1 pathway and inhibiting the NF-κB pathway. This anti-inflammatory effect, complementary to the antioxidant effects of quercetin, provides a multifaceted approach to cell protection that is important for developing therapeutic strategies against ischemia-reperfusion injury and could be helpful in preventive strategies against ischemia-reperfusion.

摘要

肺缺血再灌注损伤(LIRI)导致氧化应激、炎症和免疫系统激活。Nrf2/Keap1/HO-1 通路在细胞防御这些作用中很重要。槲皮素是一种具有抗氧化、抗炎和抗癌特性的类黄酮,已被研究过。我们在这项研究中的目的是研究槲皮素预防肺缺血再灌注损伤的作用以及 Nrf2/Keap1/HO-1 通路的作用。64 只雄性 Wistar 大鼠分为四组(每组 16 只)。假手术、肺缺血再灌注(LIR)、盐水+LIR、槲皮素+LIR(LIR 前一周腹腔注射 30mg/kg)。LIR 组进行 60 分钟的缺血(左肺动脉、静脉和支气管)和 120 分钟的再灌注。我们的评估包括对各种因素的综合分析,包括评估 Nrf2、Keap1 和血红素加氧酶-1(HO-1)水平以及 NF-κB 蛋白的表达。此外,我们还检查了与炎症(白细胞介素-1β和肿瘤坏死因子-α)、氧化应激(丙二醛、总氧化剂状态、超氧化物歧化酶、谷胱甘肽过氧化物酶、总抗氧化能力)、肺水肿(湿/干肺重量比和总蛋白浓度)、细胞凋亡(Bax 和 Bcl2 蛋白)和组织病理学改变(肺泡水肿、肺泡出血和中性粒细胞浸润)相关的标志物。我们的结果表明,缺血再灌注导致炎症、氧化应激、细胞凋亡、肺水肿和组织病理学损伤加剧。槲皮素通过减少这些标志物发挥预防作用,作用机制是调节 Nrf2/Keap1 通路并抑制 NF-κB 通路。这种抗炎作用与槲皮素的抗氧化作用相辅相成,为细胞保护提供了一种多方面的方法,对开发缺血再灌注损伤的治疗策略很重要,并且可能有助于缺血再灌注的预防策略。

https://cdn.ncbi.nlm.nih.gov/pmc/blobs/d1ef/11452703/7f071caece8e/41598_2024_73075_Fig1_HTML.jpg

文献AI研究员

20分钟写一篇综述,助力文献阅读效率提升50倍。

立即体验

用中文搜PubMed

大模型驱动的PubMed中文搜索引擎

马上搜索

文档翻译

学术文献翻译模型,支持多种主流文档格式。

立即体验