Suppr超能文献

JTH 在临床:低危肺栓塞的管理。

JTH in Clinic: management of low-risk pulmonary embolism.

机构信息

Frankel Cardiovascular Center, University of Michigan, Ann Arbor, Michigan, USA.

Department of Emergency Medicine and Department of Pharmacology, University of Michigan, Ann Arbor, Michigan, USA.

出版信息

J Thromb Haemost. 2024 Dec;22(12):3406-3414. doi: 10.1016/j.jtha.2024.09.019. Epub 2024 Oct 10.

Abstract

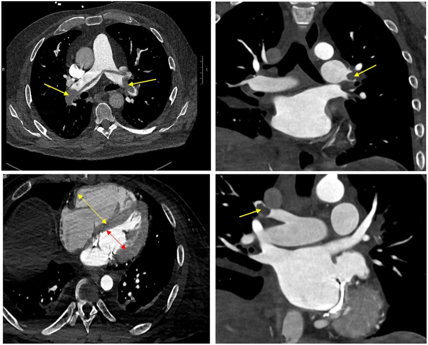
Pulmonary embolism (PE) is a common cardiovascular disease diagnosis in emergency departments that can be associated with significant morbidity and mortality. One of the first steps after diagnosing PE is to risk stratify for adverse outcomes using risk scores such as PE Severity Index and European Society of Cardiology risk scheme. While intermediate- and high-risk PE patients should be admitted to the hospital, there is increasing evidence to support early discharge and home-based anticoagulation therapy for low-risk patients. The Hestia criteria encompass many of the clinicians' considerations for who may be suitable for early discharge, considering both medical and social factors. Additionally, professional guidelines have provided algorithms on determining which low-risk patients may be suitable. Despite this, low-risk acute PE patients are still often admitted for inpatient treatment. In this review, we present a case-based approach on how to risk stratify and evaluate patients who may be good candidates for early discharge and home therapy.

摘要

肺栓塞(PE)是急诊科常见的心血管疾病诊断,可导致严重的发病率和死亡率。PE 诊断后的第一步是使用风险评分(如 PE 严重程度指数和欧洲心脏病学会风险方案)对不良结局进行风险分层。虽然中高危 PE 患者应住院治疗,但越来越多的证据支持对低危患者进行早期出院和家庭为基础的抗凝治疗。Hestia 标准考虑了许多医生认为适合早期出院的因素,包括医疗和社会因素。此外,专业指南还提供了确定哪些低危患者可能适合的算法。尽管如此,低危急性 PE 患者仍经常住院接受治疗。在这篇综述中,我们提出了一种基于病例的方法,用于对可能适合早期出院和家庭治疗的患者进行风险分层和评估。

https://cdn.ncbi.nlm.nih.gov/pmc/blobs/dbf5/11647568/87d6120f3b38/nihms-2039569-f0001.jpg

文献AI研究员

20分钟写一篇综述,助力文献阅读效率提升50倍。

立即体验

用中文搜PubMed

大模型驱动的PubMed中文搜索引擎

马上搜索

文档翻译

学术文献翻译模型,支持多种主流文档格式。

立即体验