Suppr超能文献

厚朴酚通过破坏细胞膜抑制椭圆孢拟盘多毛孢。

Magnolol from Magnolia officinalis inhibits Neopestalotiopsis ellipsospora by damaging the cell membrane.

机构信息

College of Tea Science, Guizhou University, Guiyang, 550025, Guizhou Province, China.

Guizhou Tea Research Institute, Guizhou Academy of Agricultural Sciences, Guiyang, 550006, China.

出版信息

Sci Rep. 2024 Oct 22;14(1):24934. doi: 10.1038/s41598-024-75310-7.

Abstract

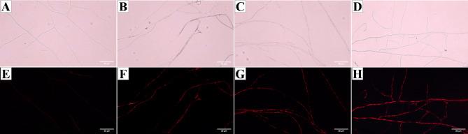
Tea gray blight disease is a significant threat to the tea industry. In this study, a biological activity approach was utilized to investigate the efficacy of green fungicides from Magnolia officinalis stem bark against Neopestalotiopsis ellipsospora. The active compounds were isolated and purified, and their structures were elucidated. In vitro and in vivo activity screenings revealed that the n-hexane extract, which contained magnolol and honokiol, exhibited strong activity against N. ellipsospora, showing complete inhibition at 100 mg/L. The EC values of magnolol and honokiol were 5.11 and 6.09 mg/L, respectively. Mechanistically, magnolol was found to disrupt N. ellipsospora invasion by damaging the cell membrane, increasing permeability, and causing leakage of intracellular substances. Transcriptome analysis revealed that magnolol treatment downregulates membrane-related genes and leads to the enrichment of lipid metabolism pathway genes. This study revealed that magnolol inhibits N. ellipsospora growth by affecting lipid metabolism and compromising cell membrane integrity.

摘要

茶灰斑病是茶叶产业的重大威胁。在这项研究中,采用生物活性方法研究了厚朴茎皮中的绿色杀菌剂对椭圆拟盘多毛孢的功效。分离并纯化了活性化合物,并阐明了它们的结构。体外和体内活性筛选表明,含有厚朴酚和和厚朴酚的正己烷提取物对 N. ellipsospora 表现出很强的活性,在 100mg/L 时完全抑制。厚朴酚和和厚朴酚的 EC 值分别为 5.11 和 6.09mg/L。在机制上,发现厚朴酚通过破坏细胞膜、增加通透性和导致细胞内物质泄漏来破坏 N. ellipsospora 的入侵。转录组分析表明,厚朴酚处理下调与膜相关的基因,并导致脂质代谢途径基因的富集。这项研究表明,厚朴酚通过影响脂质代谢和破坏细胞膜完整性来抑制 N. ellipsospora 的生长。

https://cdn.ncbi.nlm.nih.gov/pmc/blobs/1f2b/11496689/afecacac501d/41598_2024_75310_Fig1_HTML.jpg

文献AI研究员

20分钟写一篇综述,助力文献阅读效率提升50倍。

立即体验

用中文搜PubMed

大模型驱动的PubMed中文搜索引擎

马上搜索

文档翻译

学术文献翻译模型,支持多种主流文档格式。

立即体验