Suppr超能文献

抗原在炎症性肠病中的免疫治疗和预防潜力。

Immuno-therapeutic and prophylactic potential of antigens for inflammatory bowel diseases.

作者信息

Wakid Majed H, El Kholy Walaa A, Alsulami Muslimah N, El-Wakil Eman S

机构信息

Department of Medical Laboratory Sciences, Faculty of Applied Medical Sciences, King Abdulaziz University, Jeddah, Saudi Arabia.

Special Infectious Agents Unit, King Fahd Medical Research Center, King Abdulaziz University, Jeddah, Saudi Arabia.

出版信息

Food Waterborne Parasitol. 2024 Oct 6;37:e00248. doi: 10.1016/j.fawpar.2024.e00248. eCollection 2024 Dec.

Abstract

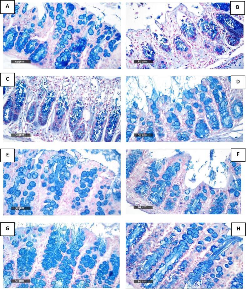
Ulcerative colitis (UC), a severe chronic inflammatory disorder of the colon, is one of the inflammatory bowel diseases (IBD) that affects humans and several domestic animal species, including cats and dogs. Helminth infections and autoimmune diseases are inversely correlated, as explained by the hygiene hypothesis, which suggests that IBD is infrequent in countries where helminth infections are common but more prevalent in developed nations. This study investigated the therapeutic and prophylactic potential of () antigens in an experimental colitis model for IBD. Mice were divided into eight groups: normal model, colitis model, larval antigen prophylaxis, adult antigen prophylaxis, larval antigen therapeutic, adult antigen therapeutic, larval antigen prophylaxis and therapeutic, and adult antigen prophylaxis and therapeutic. Colitis was induced intrarectally by administering a single dose of 0.2 ml of acetic acid, except in the healthy group, which received PBS (0.2 ml). The mice were euthanized 12 days after colitis induction. The therapeutic and prophylactic potential of antigens were assessed through colitis severity and histopathological, immunological, and immunohistochemical examinations. The results showed a significant reduction in Disease Activity Index (DAI), an increase in goblet cells' acidic mucin levels, reduced iNOS and TNF-α expression, and decreased serum levels of IFN-γ and IL-10 cytokines in Groups IV-VIII compared to the colitis model, particularly in the group that received adult worm antigen both prophylactically and therapeutically. This study demonstrated that antigens, especially from adult worms, had protective and therapeutic effects on experimental colitis, with a superior effect when administered both before and after colitis induction by reducing inflammation and modulating the immune response. Thus, antigens may improve disease outcomes and provide a novel treatment approach for ulcerative colitis.

摘要

溃疡性结肠炎(UC)是结肠的一种严重慢性炎症性疾病,是影响人类以及包括猫和狗在内的几种家畜物种的炎症性肠病(IBD)之一。正如卫生假说所解释的那样,蠕虫感染与自身免疫性疾病呈负相关,该假说表明,在蠕虫感染常见的国家,IBD并不常见,但在发达国家更为普遍。本研究在IBD实验性结肠炎模型中研究了()抗原的治疗和预防潜力。将小鼠分为八组:正常模型组、结肠炎模型组、幼虫抗原预防组、成虫抗原预防组、幼虫抗原治疗组、成虫抗原治疗组、幼虫抗原预防和治疗组、成虫抗原预防和治疗组。除接受PBS(0.2 ml)的健康组外,通过直肠内给予单剂量0.2 ml乙酸诱导结肠炎。在诱导结肠炎12天后对小鼠实施安乐死。通过结肠炎严重程度以及组织病理学、免疫学和免疫组织化学检查评估抗原的治疗和预防潜力。结果显示,与结肠炎模型组相比,IV-VIII组的疾病活动指数(DAI)显著降低,杯状细胞酸性粘蛋白水平增加,诱导型一氧化氮合酶(iNOS)和肿瘤坏死因子-α(TNF-α)表达降低,血清干扰素-γ(IFN-γ)和白细胞介素-10(IL-10)细胞因子水平降低,特别是在预防性和治疗性接受成虫抗原的组中。本研究表明,抗原,尤其是来自成虫的抗原,对实验性结肠炎具有保护和治疗作用,在结肠炎诱导前后均给药时,通过减轻炎症和调节免疫反应具有更好的效果。因此,抗原可能改善疾病结局,并为溃疡性结肠炎提供一种新的治疗方法。

https://cdn.ncbi.nlm.nih.gov/pmc/blobs/b8ac/11497370/20177feaabcc/gr1.jpg

文献AI研究员

20分钟写一篇综述,助力文献阅读效率提升50倍。

立即体验

用中文搜PubMed

大模型驱动的PubMed中文搜索引擎

马上搜索

文档翻译

学术文献翻译模型,支持多种主流文档格式。

立即体验