Suppr超能文献

黄芩苷通过以GLP-1R依赖的方式激活肝脏和骨骼肌的PI3K/AKT信号通路改善高脂饮食/链脲佐菌素诱导的小鼠胰岛素抵抗。

Baicalein Ameliorates Insulin Resistance of HFD/STZ Mice Through Activating PI3K/AKT Signal Pathway of Liver and Skeletal Muscle in a GLP-1R-Dependent Manner.

作者信息

Liu Na, Cui Xin, Guo Tingli, Wei Xiaotong, Sun Yuzhuo, Liu Jieyun, Zhang Yangyang, Ma Weina, Yan Wenhui, Chen Lina

机构信息

Department of Pharmacology, School of Basic Medical Sciences, Xi'an Jiaotong University, Xi'an 710061, China.

School of Pharmacy, Xi'an Jiaotong University, Xi'an 710049, China.

出版信息

Antioxidants (Basel). 2024 Oct 16;13(10):1246. doi: 10.3390/antiox13101246.

Abstract

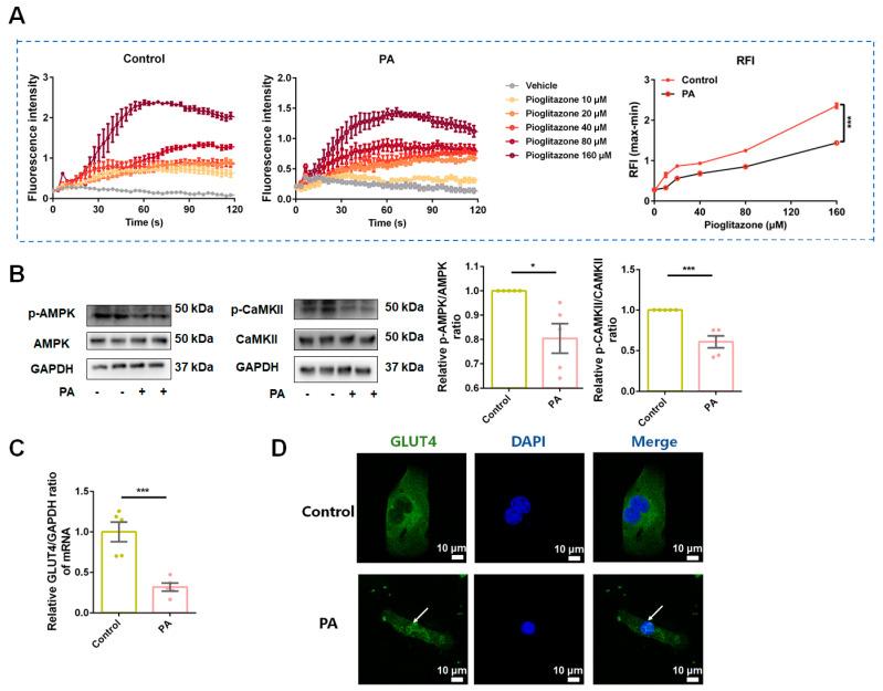
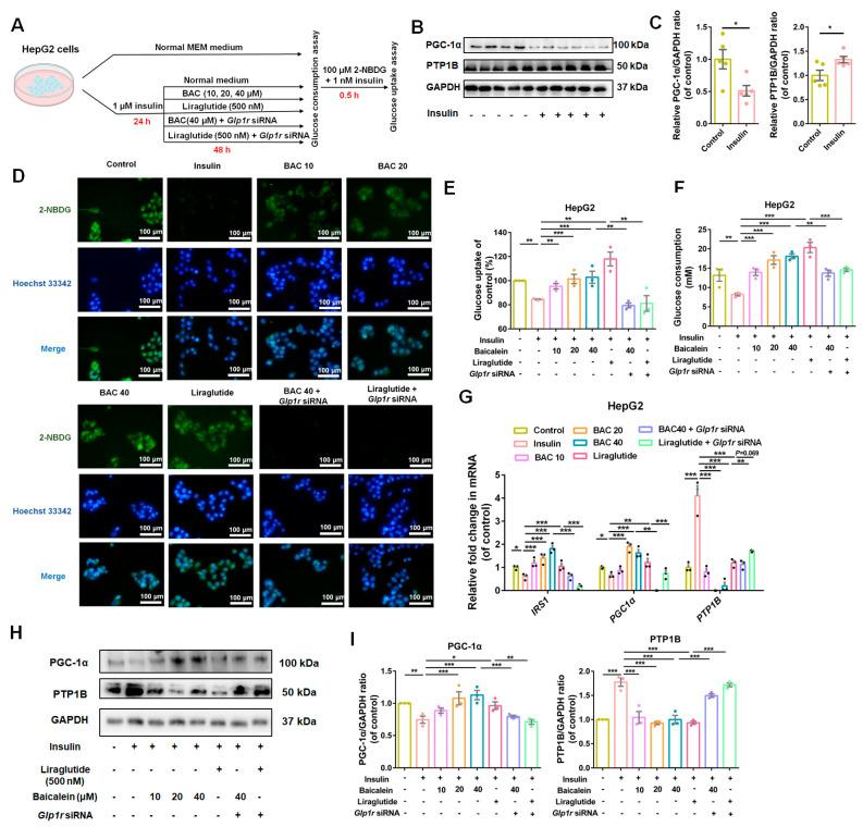
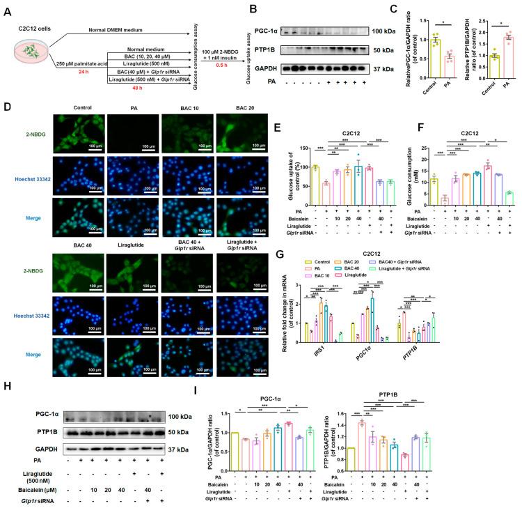
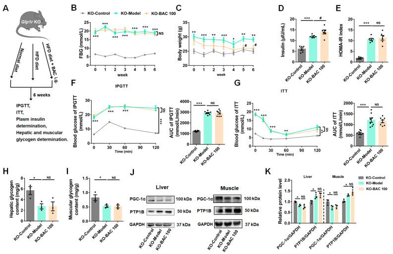
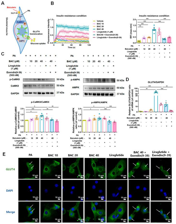
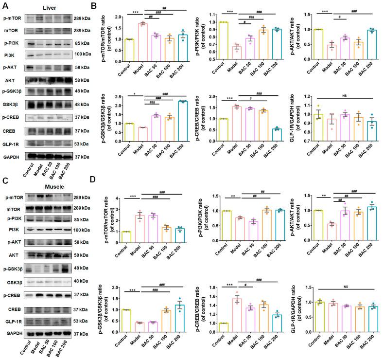
Insulin resistance (IR) is the principal pathophysiological change occurring in diabetes mellitus (DM). Baicalein, a bioactive flavonoid primarily extracted from the medicinal plant , has been shown in our previous research to be a potential natural glucagon-like peptide-1 receptor (GLP-1R) agonist. However, the exact therapeutic effect of baicalein on DM and its underlying mechanisms remain elusive. In this study, we investigated the therapeutic effects of baicalein on diabetes and sought to clarify its underlying molecular mechanisms. Our results demonstrated that baicalein improves hyperglycemic, hyperinsulinemic, and glucometabolic disorders in mice with induced diabetes via GLP-1R. This was confirmed by the finding that baicalein's effects on improving IR were largely diminished in mice with whole-body ablation. Complementarily, network pharmacology analysis highlighted the pivotal involvement of the phosphatidylinositol-3-kinase (PI3K)/protein kinase B (AKT) insulin signaling pathway in the therapeutic actions of baicalein on IR. Our mechanism research significantly confirmed that baicalein mitigates hepatic and muscular IR through the PI3K/AKT signal pathway, both in vitro and in vivo. Furthermore, we demonstrated that baicalein enhances glucose uptake in skeletal muscle cells under IR conditions through the Ca/calmodulin-dependent protein kinase II (CaMKII)-adenosine 5'-monophosphate-activated protein kinase (AMPK)-glucose transporter 4 (GLUT4) signaling pathway in a GLP-1R-dependent manner. In conclusion, our findings confirm the therapeutic effects of baicalein on IR and reveal that it improves IR in liver and muscle tissues through the PI3K/AKT insulin signaling pathway in a GLP-1R dependent manner. Moreover, we clarified that baicalein enhances the glucose uptake in skeletal muscle tissue through the Ca/CaMKII-AMPK-GLUT4 signal pathway.

摘要

胰岛素抵抗(IR)是糖尿病(DM)发生的主要病理生理变化。黄芩素是一种主要从药用植物中提取的生物活性黄酮类化合物,我们之前的研究表明它是一种潜在的天然胰高血糖素样肽-1受体(GLP-1R)激动剂。然而,黄芩素对糖尿病的确切治疗效果及其潜在机制仍不清楚。在本研究中,我们研究了黄芩素对糖尿病的治疗作用,并试图阐明其潜在的分子机制。我们的结果表明,黄芩素通过GLP-1R改善诱导型糖尿病小鼠的高血糖、高胰岛素血症和糖代谢紊乱。全身消融的小鼠中,黄芩素改善IR的作用大大减弱这一发现证实了这一点。作为补充,网络药理学分析强调了磷脂酰肌醇-3-激酶(PI3K)/蛋白激酶B(AKT)胰岛素信号通路在黄芩素对IR的治疗作用中的关键作用。我们的机制研究显著证实,黄芩素在体外和体内均通过PI3K/AKT信号通路减轻肝脏和肌肉IR。此外,我们证明,在IR条件下,黄芩素通过Ca/钙调蛋白依赖性蛋白激酶II(CaMKII)-5'-单磷酸腺苷激活蛋白激酶(AMPK)-葡萄糖转运蛋白4(GLUT4)信号通路以GLP-1R依赖性方式增强骨骼肌细胞对葡萄糖的摄取。总之,我们的研究结果证实了黄芩素对IR的治疗作用,并揭示它通过PI3K/AKT胰岛素信号通路以GLP-1R依赖性方式改善肝脏和肌肉组织中的IR。此外,我们阐明了黄芩素通过Ca/CaMKII-AMPK-GLUT4信号通路增强骨骼肌组织对葡萄糖的摄取。

https://cdn.ncbi.nlm.nih.gov/pmc/blobs/3424/11505556/6384e7008112/antioxidants-13-01246-g001.jpg

文献AI研究员

20分钟写一篇综述,助力文献阅读效率提升50倍。

立即体验

用中文搜PubMed

大模型驱动的PubMed中文搜索引擎

马上搜索

文档翻译

学术文献翻译模型,支持多种主流文档格式。

立即体验