Suppr超能文献

网络药理学结合实验验证研究 提取物抗高尿酸血症作用的机制。

Network Pharmacology Combined with Experimental Validation to Investigate the Mechanism of the Anti-Hyperuricemia Action of Extract.

机构信息

School of Life Sciences, Jilin University, Changchun 130012, China.

Key Laboratory for Molecular Enzymology and Engineering, Jilin University, Ministry of Education, Changchun 130012, China.

出版信息

Nutrients. 2024 Oct 19;16(20):3549. doi: 10.3390/nu16203549.

Abstract

BACKGROUND/OBJECTIVES: Hyperuricemia (HUA) is a common metabolic disease caused by purine metabolic disorders in the body. L. (PO) is an edible wild vegetable.

METHODS

In this study, the regulatory effect of PO on HUA and its potential mechanism were initially elucidated through network pharmacology and experimental validation.

RESULTS

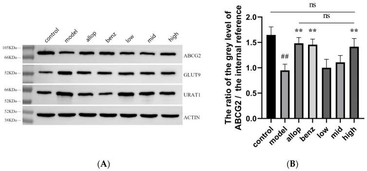
The results showed that PO from Sichuan province was superior to the plant collected from other habitats in inhibiting xanthine oxidase (XOD) activity. Berberine and stachydrine were isolated and identified from PO for the first time by UPLC-Q-Exactive Orbitrap MS. The potential molecular targets and related signaling pathways were predicted by network pharmacology and molecular docking techniques. Molecular docking showed that berberine had strong docking activity with XOD, and the results of in vitro experiments verified this prediction. Through experimental analysis of HUA mice, we found that PO can reduce the production of uric acid (UA) in the organism by inhibiting XOD activity. On the other hand, PO can reduce the body 's reabsorption of urate and aid in its excretion out of the body by inhibiting the urate transporter proteins (GLUT9, URAT1) and promoting the high expression of urate excretory protein (ABCG2). The results of H/E staining showed that, compared with the positive drug (allopurinol and benzbromarone) group, there was no obvious renal injury in the middle- and high-dose groups of PO extract.

CONCLUSIONS

In summary, our findings reveal the potential of wild plant PO as a functional food for the treatment of hyperuricemia.

摘要

背景/目的:高尿酸血症(HUA)是一种由体内嘌呤代谢紊乱引起的常见代谢性疾病。(PO)是一种可食用的野生蔬菜。

方法

本研究通过网络药理学和实验验证,初步阐明了 PO 对 HUA 的调节作用及其潜在机制。

结果

结果表明,来自四川的 PO 比其他生境采集的植物具有更强的黄嘌呤氧化酶(XOD)抑制活性。首次通过 UPLC-Q-Exactive Orbitrap MS 从 PO 中分离并鉴定出小檗碱和斯达丁。通过网络药理学和分子对接技术预测了潜在的分子靶点和相关信号通路。分子对接表明,小檗碱与 XOD 具有很强的结合活性,体外实验结果验证了这一预测。通过 HUA 小鼠的实验分析,我们发现 PO 可以通过抑制 XOD 活性来减少机体尿酸(UA)的产生。另一方面,PO 可以通过抑制尿酸转运蛋白(GLUT9、URAT1)和促进尿酸排泄蛋白(ABCG2)的高表达来减少体内尿酸的重吸收和促进其排泄。H/E 染色结果表明,与阳性药物(别嘌醇和苯溴马隆)组相比,PO 提取物中、高剂量组肾脏无明显损伤。

结论

综上所述,我们的研究结果揭示了野生植物 PO 作为治疗高尿酸血症的功能性食品的潜力。

https://cdn.ncbi.nlm.nih.gov/pmc/blobs/8c8b/11510147/2b72ce45d98a/nutrients-16-03549-g001.jpg

文献AI研究员

20分钟写一篇综述,助力文献阅读效率提升50倍。

立即体验

用中文搜PubMed

大模型驱动的PubMed中文搜索引擎

马上搜索

文档翻译

学术文献翻译模型,支持多种主流文档格式。

立即体验