Suppr超能文献

用于银屑病局部治疗的巴瑞替尼脂质体制剂。

Lipid-Based Formulation of Baricitinib for the Topical Treatment of Psoriasis.

作者信息

Mohammadi-Meyabadi Roya, Mallandrich Mireia, Beirampour Negar, Garrós Núria, Espinoza Lupe Carolina, Sosa Lilian, Suñer-Carbó Joaquim, Rodríguez-Lagunas María José, Garduño-Ramírez María Luisa, Calpena-Campmany Ana C

机构信息

Departament de Farmàcia i Tecnologia Farmacèutica, i Fisicoquímica, Facultat de Farmàcia i Ciències de l'Alimentació, Universitat de Barcelona (UB), Av. Joan XXIII, 27-31, 08028 Barcelona, Spain.

Institut de Nanociència i Nanotecnologia, Universitat de Barcelona (UB), Av. Diagonal 645, 08028 Barcelona, Spain.

出版信息

Pharmaceutics. 2024 Sep 30;16(10):1287. doi: 10.3390/pharmaceutics16101287.

Abstract

BACKGROUND

Baricitinib, commonly used for autoimmune diseases, is typically administered orally, which can lead to systemic adverse effects. A topical formulation could potentially offer localized therapeutic effects while minimizing these side effects.

OBJECTIVES

This study focuses on developing a lipid-based topical formulation of baricitinib (BCT-OS) for treating psoriasis.

METHODS

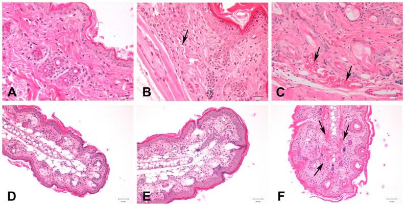
The optimized formulation was then assessed for physical, chemical, and biopharmaceutical characterization. Furthermore, the anti-inflammatory efficacy of the formulation was tested in a model of psoriasis induced by imiquimod in mice, and its tolerance was determined by the evaluation of biomechanical skin properties and an inflammation test model induced by xylol in mice.

RESULTS

BCT-OS presented appropriate characteristics for skin administration in terms of pH, rheology, extensibility, and stability. The formulation also demonstrated a notable reduction in skin inflammation in the mouse model, and high tolerability without affecting the skin integrity.

CONCLUSIONS

BCT-OS shows promise as an alternative treatment for psoriasis, offering localized therapeutic benefits with a potentially improved safety profile compared to systemic administration.

摘要

背景

巴瑞替尼常用于治疗自身免疫性疾病,通常采用口服给药,这可能会导致全身不良反应。局部用制剂可能会在使这些副作用最小化的同时提供局部治疗效果。

目的

本研究着重于开发一种用于治疗银屑病的基于脂质的巴瑞替尼局部用制剂(BCT-OS)。

方法

随后对优化后的制剂进行了物理、化学和生物药剂学特性评估。此外,在咪喹莫特诱导的小鼠银屑病模型中测试了该制剂的抗炎疗效,并通过评估小鼠皮肤生物力学特性和二甲苯诱导的炎症测试模型来确定其耐受性。

结果

BCT-OS在pH值、流变学、延展性和稳定性方面表现出适合皮肤给药的特性。该制剂在小鼠模型中还显示出皮肤炎症显著减轻,且具有高耐受性,不影响皮肤完整性。

结论

BCT-OS有望成为银屑病的替代治疗方法,与全身给药相比,它能提供局部治疗益处,且安全性可能有所改善。

https://cdn.ncbi.nlm.nih.gov/pmc/blobs/458b/11510483/b2eae43f2121/pharmaceutics-16-01287-g001.jpg

文献AI研究员

20分钟写一篇综述,助力文献阅读效率提升50倍。

立即体验

用中文搜PubMed

大模型驱动的PubMed中文搜索引擎

马上搜索

文档翻译

学术文献翻译模型,支持多种主流文档格式。

立即体验