Suppr超能文献

基于[18F]FDG PET/CT 的 CA9 表达对非小细胞肺癌淋巴结转移诊断的影响。

Impact of CA9 expression in the diagnosis of lymph-node metastases in non-small cell lung cancer based on [18F]FDG PET/CT.

机构信息

Department of Thoracic Surgery, Osaka Metropolitan University Graduate School of Medicine, Osaka, Japan.

Molecular Oncology and Therapeutics, Osaka Metropolitan University Graduate School of Medicine, Osaka, Japan.

出版信息

PLoS One. 2024 Oct 29;19(10):e0312846. doi: 10.1371/journal.pone.0312846. eCollection 2024.

Abstract

BACKGROUND

Lung cancer is the leading cause of the global cancer incidence and mortality. It is important to obtain an accurate diagnosis of lymph-node metastasis before surgery to select the therapeutic strategy for non-small cell lung cancer (NSCLC) patients. Carbonic anhydrase 9 (CA9) is considered a marker of hypoxia and it has reported that CA9 is associated with tumor invasion and metastasis. In this study, the correlation between the CA9 expression for lymph-node metastases in NSCLC and [18F]FDG PET/CT results was investigated in order to clarify the efficacy of [18F]FDG PET/CT for detecting lymph-node metastases of NSCLC patients.

METHODS

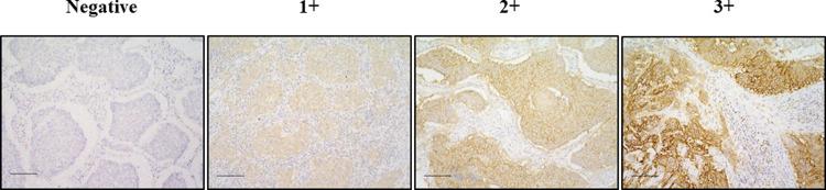
Among the 564 patients who underwent surgical treatment for NSCLC between 2010 and 2016 at our hospital, a total of 338 patients who underwent preoperative [18F]FDG PET/CT were included in this study. CA9 expression was evaluated by immunochemistry. A lymph node with maximum standardized uptake value (SUVmax) ≥2.5 on [18F]FDG PET/CT was preoperatively defined as a metastatic lymph node.

RESULT

CA9 positivity was detected in 122 patients; the other 216 patients were CA9-negative. The CA9-positive NSCLC cases significantly associated with pleural invasion (p = 0.0063), pT-factor (p = 0.0080), pN-factor (p = 0.036) and pStage (p = 0.043). CA9-positive patients presented significantly poorer survival rate for OS than that of the CA9-negative patients (p = 0.0024). In the multivariable analysis, histological SCC and CA9 positivity were independent poor-prognosis factors for OS. For the total patient population, the sensitivity and specificity of [18F]FDG PET/CT for lymph-node metastases were 54% and 89%, respectively. In contrast, the sensitivity and specificity were particularly low in the CA9-positive SCC cases (36% and 69%, respectively).

CONCLUSION

[18F]FDG PET/CT might not be useful for diagnosing lymph-node metastases of CA9-positive SCC cases of NSCLC.

摘要

背景

肺癌是全球癌症发病率和死亡率的主要原因。在手术前准确诊断淋巴结转移对于选择非小细胞肺癌(NSCLC)患者的治疗策略非常重要。碳酸酐酶 9(CA9)被认为是缺氧的标志物,据报道 CA9 与肿瘤侵袭和转移有关。在这项研究中,研究了 NSCLC 中 CA9 表达与 [18F]FDG PET/CT 结果之间的相关性,以阐明 [18F]FDG PET/CT 检测 NSCLC 患者淋巴结转移的疗效。

方法

在 2010 年至 2016 年期间在我院接受 NSCLC 手术治疗的 564 名患者中,共有 338 名患者接受了术前 [18F]FDG PET/CT 检查,纳入本研究。通过免疫化学评估 CA9 表达。术前 [18F]FDG PET/CT 上最大标准化摄取值(SUVmax)≥2.5 的淋巴结被定义为转移性淋巴结。

结果

122 例患者 CA9 阳性;其余 216 例患者 CA9 阴性。CA9 阳性 NSCLC 病例与胸膜侵犯(p = 0.0063)、pT 因素(p = 0.0080)、pN 因素(p = 0.036)和 p 期(p = 0.043)显著相关。CA9 阳性患者的 OS 生存率明显低于 CA9 阴性患者(p = 0.0024)。在多变量分析中,组织学 SCC 和 CA9 阳性是 OS 的独立预后不良因素。对于总患者人群,[18F]FDG PET/CT 对淋巴结转移的敏感性和特异性分别为 54%和 89%。相比之下,CA9 阳性 SCC 病例的敏感性和特异性特别低(分别为 36%和 69%)。

结论

[18F]FDG PET/CT 可能对诊断 CA9 阳性 SCC 型 NSCLC 患者的淋巴结转移没有帮助。

https://cdn.ncbi.nlm.nih.gov/pmc/blobs/3c30/11521239/15d4fb83d065/pone.0312846.g001.jpg

文献AI研究员

20分钟写一篇综述,助力文献阅读效率提升50倍。

立即体验

用中文搜PubMed

大模型驱动的PubMed中文搜索引擎

马上搜索

文档翻译

学术文献翻译模型,支持多种主流文档格式。

立即体验