Suppr超能文献

木犀草素通过降解 Uroc1 蛋白在小鼠体内解毒 DEHP 并预防肝损伤。

Luteolin detoxifies DEHP and prevents liver injury by degrading Uroc1 protein in mice.

机构信息

State Key Laboratory of Natural Medicines and School of Life Science and Technology, China Pharmaceutical University, Nanjing, 211198, China.

Jiangsu Provincial University Key Laboratory of Drug Discovery for Metabolic Inflammatory Diseases, China Pharmaceutical University, Nanjing, 211198, China.

出版信息

EMBO Mol Med. 2024 Nov;16(11):2699-2724. doi: 10.1038/s44321-024-00160-9. Epub 2024 Oct 29.

Abstract

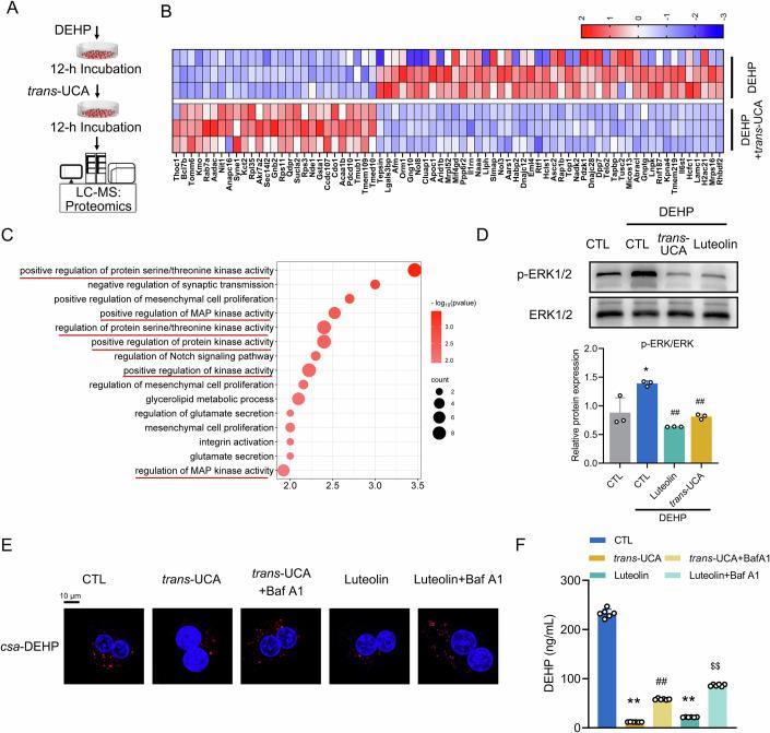
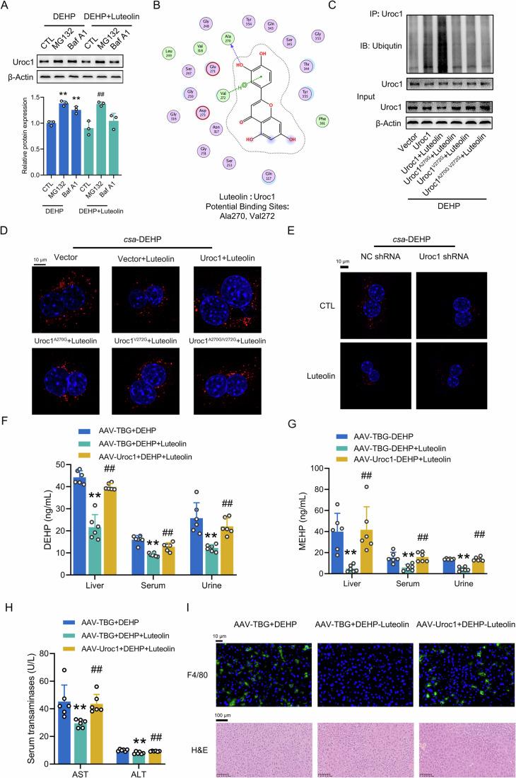
Di-(2-ethylhexyl) phthalate (DEHP), an environmental pollutant, has been widely detected in both environmental and clinical samples, representing a serious threat to the homeostasis of the endocrine system. The accumulation of DEHP is notably pronounced in the liver and can lead to liver damage. The lack of effective high-throughput screening system retards the discovery of such drugs that can specifically target and eliminate the detrimental impact of DEHP. Here, by developing a Cy5-modified single-strand DNA-aptamer-based approach targeting DEHP, we have identified luteolin as a potential drug, which showcasing robust efficacy in detoxifying the DEHP by facilitating the expulsion of DEHP in both mouse primary hepatocytes and livers. Mechanistically, luteolin enhances the protein degradation of hepatic urocanate hydratase 1 (Uroc1) by targeting its Ala270 and Val272 sites. More importantly, trans-urocanic acid (trans-UCA), as the substrate of Uroc1, possesses properties similar to luteolin by regulating the lysosomal exocytosis through the inhibition of the ERK1/2 signal cascade. In summary, luteolin serves as a potent therapeutic agent in efficiently detoxifying DEHP in the liver by regulating the UCA/Uroc1 axis.

摘要

邻苯二甲酸二(2-乙基己基)酯(DEHP)是一种环境污染物,已在环境和临床样本中广泛检测到,对内分泌系统的内稳态构成严重威胁。DEHP 在肝脏中的积累尤为明显,可导致肝损伤。缺乏有效的高通量筛选系统阻碍了发现专门针对 DEHP 并消除其有害影响的药物。在这里,我们通过开发针对 DEHP 的基于 Cy5 修饰的单链 DNA 适体的方法,鉴定出木犀草素是一种潜在的药物,它在促进 DEHP 在小鼠原代肝细胞和肝脏中的排出方面表现出强大的解毒功效。在机制上,木犀草素通过靶向其 Ala270 和 Val272 位点增强了肝尿刊酸水解酶 1(Uroc1)的蛋白质降解。更重要的是,尿刊酸(trans-UCA)作为 Uroc1 的底物,通过抑制 ERK1/2 信号级联来调节溶酶体胞吐作用,具有类似于木犀草素的性质。总之,木犀草素通过调节 UCA/Uroc1 轴,作为一种有效的治疗剂,在肝脏中有效解毒 DEHP。

https://cdn.ncbi.nlm.nih.gov/pmc/blobs/7ed9/11555401/eec078a53348/44321_2024_160_Fig1_HTML.jpg

文献AI研究员

20分钟写一篇综述,助力文献阅读效率提升50倍。

立即体验

用中文搜PubMed

大模型驱动的PubMed中文搜索引擎

马上搜索

文档翻译

学术文献翻译模型,支持多种主流文档格式。

立即体验