Suppr超能文献

转移性肾细胞癌患者经免疫治疗获得持久部分缓解后发生巨细胞颞动脉炎并继发严重脑病:一例报告

Giant Cell Temporal Arteritis Followed by Severe Encephalopathy Induced by Immunotherapy in a Patient with Metastatic Renal Cell Carcinoma Achieving Durable Partial Response: A Case Report.

作者信息

Fiala Ondřej, Tkadlecová Michaela, Pivovarčíková Kristýna, Baxa Jan, Stránský Petr, Šiková Dominika, Hora Milan, Fínek Jindřich

机构信息

Department of Oncology and Radiotherapeutics, Faculty of Medicine and University Hospital in Pilsen, Charles University, Pilsen, Czech Republic.

Biomedical Center, Faculty of Medicine in Pilsen, Charles University, Pilsen, Czech Republic.

出版信息

Case Rep Oncol. 2024 Aug 26;17(1):921-927. doi: 10.1159/000540660. eCollection 2024 Jan-Dec.

Abstract

INTRODUCTION

Combined immuno-oncology (IO) regimens are the cornerstone of the current front-line systemic therapy for metastatic renal cell carcinoma (mRCC). Despite the fact that combined IO regimens show high efficacy, they are often accompanied by a wide spectrum of immune-related adverse effects (irAEs).

CASE PRESENTATION

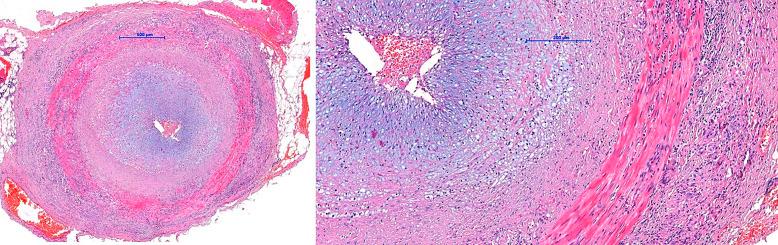
We describe a case of rare irAEs manifested as giant cell temporal arteritis (GCA) followed by severe encephalopathy occurring after continuing immunotherapy in a 66-year-old man with mRCC receiving a combination of ipilimumab and nivolumab in the first line of systemic therapy. GCA occurred 4 months after the initiation of IO and responded promptly to the low-dose prednisone therapy. Four months after the continuation of nivolumab maintenance, the patient was hospitalized due to severe irAE encephalopathy which presented as psycho-behavioral abnormalities and progressive cognitive decline. He was treated with high-dose methylprednisolone which led to complete resolution of the symptoms and IO was permanently discontinued. The patient achieved a durable partial response.

CONCLUSION

Both GCA and the subsequent encephalopathy in our patient responded well to the corticosteroid therapy, leading to the complete resolution of the symptoms and the patient achieved a durable partial response. Although the risk of severe neurologic irAEs affecting the central nervous system induced by IO re-administration, following previous discontinuation due to irAE, is not well-defined because of their rarity, this case highlights the need for caution, particularly in cases with a history of previous irAE-associated GCA.

摘要

引言

联合免疫肿瘤学(IO)方案是目前转移性肾细胞癌(mRCC)一线全身治疗的基石。尽管联合IO方案显示出高疗效,但它们常常伴随着广泛的免疫相关不良反应(irAE)。

病例报告

我们描述了一例罕见的irAE病例,表现为巨细胞颞动脉炎(GCA),随后在一名66岁的mRCC男性患者中,在一线全身治疗中接受伊匹木单抗和纳武单抗联合治疗后继续免疫治疗时发生了严重脑病。GCA在IO治疗开始后4个月出现,对低剂量泼尼松治疗迅速产生反应。在继续使用纳武单抗维持治疗4个月后,患者因严重的irAE脑病住院,表现为心理行为异常和进行性认知下降。他接受了大剂量甲泼尼龙治疗,症状完全缓解,IO治疗永久停药。患者获得了持久的部分缓解。

结论

我们患者的GCA和随后的脑病对皮质类固醇治疗反应良好,症状完全缓解,患者获得了持久的部分缓解。尽管由于其罕见性,在先前因irAE停药后重新使用IO诱导的影响中枢神经系统的严重神经学irAE的风险尚未明确界定,但该病例强调了谨慎的必要性,特别是在有先前irAE相关GCA病史的病例中。

https://cdn.ncbi.nlm.nih.gov/pmc/blobs/3f16/11521455/d11bcc6545b2/cro-2024-0017-0001-540660_F01.jpg

文献AI研究员

20分钟写一篇综述,助力文献阅读效率提升50倍。

立即体验

用中文搜PubMed

大模型驱动的PubMed中文搜索引擎

马上搜索

文档翻译

学术文献翻译模型,支持多种主流文档格式。

立即体验