Suppr超能文献

由SOX9和TCF7L2驱动的超级增强子重编程代表了治疗胆囊癌的转录靶向治疗弱点。

Super-Enhancer Reprograming Driven by SOX9 and TCF7L2 Represents Transcription-Targeted Therapeutic Vulnerability for Treating Gallbladder Cancer.

作者信息

Yan Siyuan, Liu Zhaonan, Wang Teng, Sui Yi, Wu Xiangsong, Shen Jiayi, Pu Peng, Yang Yang, Wu Sizhong, Qiu Shimei, Wang Ziyi, Jiang Xiaoqing, Feng Feiling, Li Guoqiang, Liu FaTao, Zhao Chaoxian, Liu Ke, Feng Jiayi, Li Maolan, Man Kwan, Wang Chaochen, Tang Yujie, Liu Yingbin

机构信息

Department of Biliary-Pancreatic Surgery, Renji Hospital Affiliated to Shanghai Jiao Tong University School of Medicine, Shanghai, 200120, P. R. China.

State Key Laboratory of Systems Medicine for Cancer,Shanghai Cancer Institute, Renji Hospital Affiliated to Shanghai Jiao Tong University School of Medicine, Shanghai, 200127, P. R. China.

出版信息

Adv Sci (Weinh). 2024 Dec;11(47):e2406448. doi: 10.1002/advs.202406448. Epub 2024 Nov 4.

Abstract

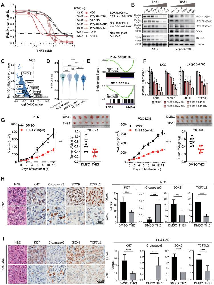
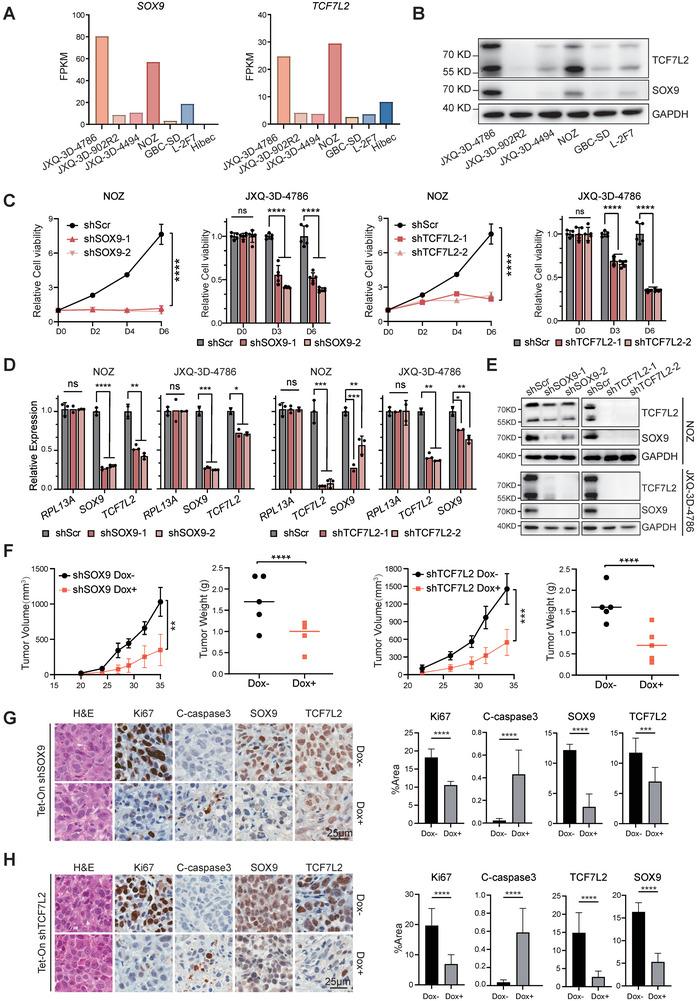
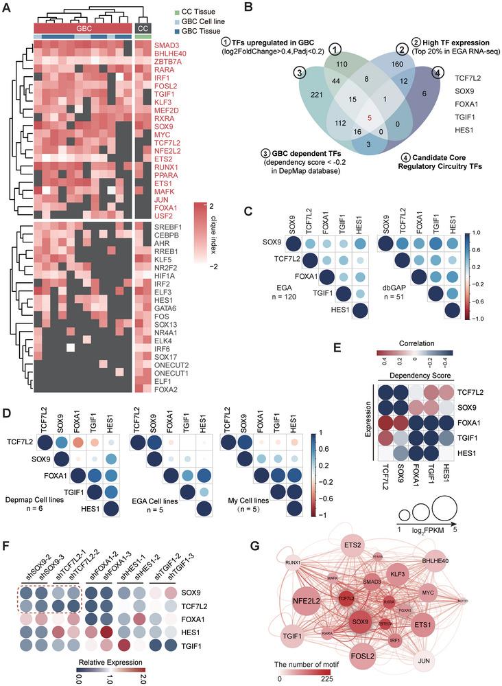
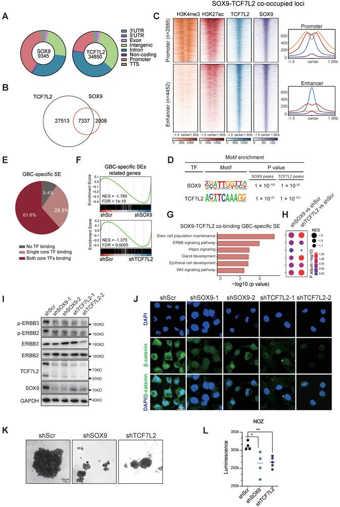
Gallbladder cancer (GBC) is a highly aggressive malignancy lacking clinically available targeted therapeutic agents. Super-enhancers (SEs) are crucial epigenetic cis-regulatory elements whose extensive reprogramming drives aberrant transcription in cancers. To study SE in GBC, the genomic distribution of H3K27ac is profiled in multiple GBC tissue and cell line samples to establish the SE landscape and its associated core regulatory circuitry (CRC). The biliary lineage factor SOX9 and Wnt pathway effector TCF7L2, two master transcription factor (TF) candidates identified by CRC analysis, are verified to co-occupy each other's SE region, forming a mutually autoregulatory loop to drive oncogenic SE reprogramming in a subset of GBC. The SOX9/TCF7L2 double-high GBC cells are highly dependent on the two TFs and enriched of SE-associated gene signatures related to stemness, ErbB and Wnt pathways. Patients with more such GBC cells exhibited significantly worse prognosis. Furthermore, SOX9/TCF7L2 double-high GBC preclinical models are found to be susceptible to SE-targeted CDK7 inhibition therapy in vitro and in vivo. Together, this study provides novel insights into the epigenetic mechanisms underlying the oncogenesis of a subset of GBCs with poorer prognosis and illustrates promising prognostic stratification and therapeutic strategies for treating those GBC patients in future clinical trials.

摘要

胆囊癌(GBC)是一种侵袭性很强的恶性肿瘤,目前缺乏临床可用的靶向治疗药物。超级增强子(SEs)是关键的表观遗传顺式调控元件,其广泛的重编程驱动癌症中的异常转录。为了研究GBC中的SE,对多个GBC组织和细胞系样本进行了H3K27ac的基因组分布分析,以建立SE图谱及其相关的核心调控回路(CRC)。通过CRC分析确定的两个主要转录因子(TF)候选物——胆管谱系因子SOX9和Wnt信号通路效应物TCF7L2,被证实共同占据彼此的SE区域,形成一个相互自调控环,以驱动一部分GBC中的致癌SE重编程。SOX9/TCF7L2双高的GBC细胞高度依赖于这两个TF,并富集了与干性、ErbB和Wnt信号通路相关的SE相关基因特征。具有更多此类GBC细胞的患者预后明显更差。此外,发现SOX9/TCF7L2双高的GBC临床前模型在体外和体内对SE靶向的CDK7抑制疗法敏感。总之,本研究为预后较差的一部分GBC的肿瘤发生的表观遗传机制提供了新的见解,并为未来临床试验中治疗那些GBC患者阐明了有前景的预后分层和治疗策略。

https://cdn.ncbi.nlm.nih.gov/pmc/blobs/f1d7/11653766/b57656b81bb6/ADVS-11-2406448-g003.jpg

文献AI研究员

20分钟写一篇综述,助力文献阅读效率提升50倍。

立即体验

用中文搜PubMed

大模型驱动的PubMed中文搜索引擎

马上搜索

文档翻译

学术文献翻译模型,支持多种主流文档格式。

立即体验