Suppr超能文献

伴颌骨骨髓炎及皮肤穿孔的低分化鳞状细胞癌:1例罕见临床病例报告

Poorly Differentiated Squamous Cell Carcinoma With Jaw Bone Osteomyelitis and Skin Perforation: A Report of a Rare Clinical Case.

作者信息

S Dharini, Ramalingam Karthikeyan, Ramani Pratibha, John Rubin S, J Jayaindhraeswaran

机构信息

Oral Pathology and Microbiology, Saveetha Dental College and Hospitals, Saveetha Institute of Medical and Technical Sciences, Saveetha University, Chennai, IND.

Oral and Maxillofacial Surgery, Saveetha Dental College and Hospitals, Saveetha Institute of Medical and Technical Sciences, Saveetha University, Chennai, IND.

出版信息

Cureus. 2024 Oct 2;16(10):e70738. doi: 10.7759/cureus.70738. eCollection 2024 Oct.

Abstract

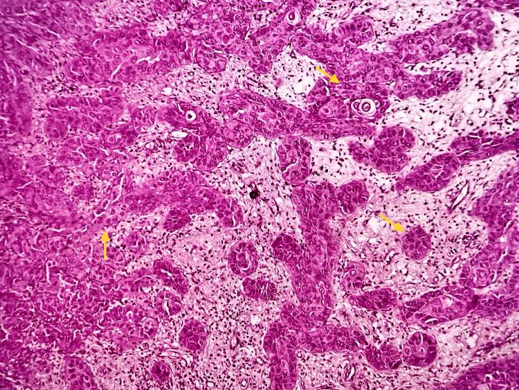
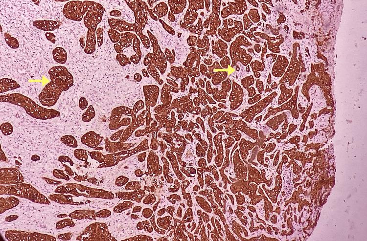
Oral squamous cell carcinoma is a perpetual challenge for current clinicians and oral pathologists. In this case report, we present an unusual case of oral squamous cell carcinoma involving the left buccal mucosa with extensive bone exposure and skin perforation. It showed features of ulceration, necrosis, and maggot infestation. On histological examination, the malignant epithelial cells in the dense fibrous connective tissue stroma were keratinized, highly pleomorphic, had a high nucleo-cytoplasmic ratio, and were organized in sheets, cords, and nests. Decalcified tissue sections revealed the presence of necrotic bone. Immunohistochemistry indicated diffuse PanCK (cytokeratin) positivity confirming the epithelial origin of the malignant tumor cells. A final diagnosis of poorly differentiated squamous cell carcinoma (Bryne score 13/16) with chronic osteomyelitis and skin involvement was confirmed. Palliative care with supportive therapy was recommended. Hence, this case report emphasizes how critical it is to receive an early diagnosis and treatment to stop the disease progression, prevent the host's immune suppression, and improve the overall quality of life of the patient.

摘要

口腔鳞状细胞癌对当前的临床医生和口腔病理学家来说始终是一项挑战。在本病例报告中,我们呈现了一例罕见的口腔鳞状细胞癌病例,该病例累及左侧颊黏膜,伴有广泛的骨质暴露和皮肤穿孔。它表现出溃疡、坏死和蛆虫感染的特征。组织学检查显示,致密纤维结缔组织基质中的恶性上皮细胞角化、高度多形性、核质比高,并呈片状、条索状和巢状排列。脱钙组织切片显示存在坏死骨。免疫组织化学表明弥漫性泛细胞角蛋白(PanCK)阳性,证实了恶性肿瘤细胞的上皮起源。最终确诊为低分化鳞状细胞癌(拜恩评分13/16),伴有慢性骨髓炎和皮肤受累。建议采用支持性治疗的姑息治疗。因此,本病例报告强调了早期诊断和治疗对于阻止疾病进展、防止宿主免疫抑制以及提高患者整体生活质量的关键意义。

https://cdn.ncbi.nlm.nih.gov/pmc/blobs/bf3f/11530710/9c0a26f39d78/cureus-0016-00000070738-i01.jpg

文献AI研究员

20分钟写一篇综述,助力文献阅读效率提升50倍。

立即体验

用中文搜PubMed

大模型驱动的PubMed中文搜索引擎

马上搜索

文档翻译

学术文献翻译模型,支持多种主流文档格式。

立即体验