Suppr超能文献

过氧化物酶体增殖物激活受体-γ的神经保护机制:在缺氧缺血性脑白质损伤新生鼠模型中介导小胶质细胞介导的神经炎症和氧化应激的抑制作用。

The Neuroprotective Mechanisms of PPAR-γ: Inhibition of Microglia-Mediated Neuroinflammation and Oxidative Stress in a Neonatal Mouse Model of Hypoxic-Ischemic White Matter Injury.

机构信息

Department of Neonatology, The Second Affiliated Hospital and Yuying Children's Hospital of Wenzhou Medical University, Wenzhou, Zhejiang, China.

The Second School of Medicine, Wenzhou Medical University, Wenzhou, Zhejiang, China.

出版信息

CNS Neurosci Ther. 2024 Nov;30(11):e70081. doi: 10.1111/cns.70081.

Abstract

BACKGROUND

Neuroinflammation and oxidative stress, mediated by microglial activation, hinder the development of oligodendrocytes (OLs) and delay myelination in preterm infants, leading to white matter injury (WMI) and long-term neurodevelopmental sequelae. Peroxisome proliferator-activated receptor gamma (PPAR-γ) has been reported to inhibit inflammation and oxidative stress via modulating microglial polarization in various central nervous system diseases. However, the relationship between PPAR-γ and microglial polarization in neonatal WMI is not well understood. Therefore, this study aimed to elucidate the role and mechanisms of PPAR-γ in preterm infants affected by WMI.

METHODS

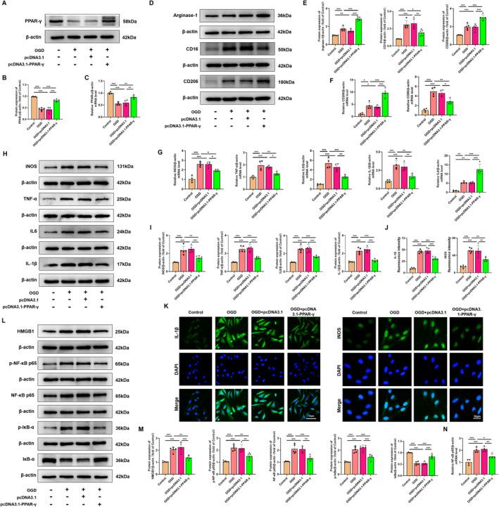
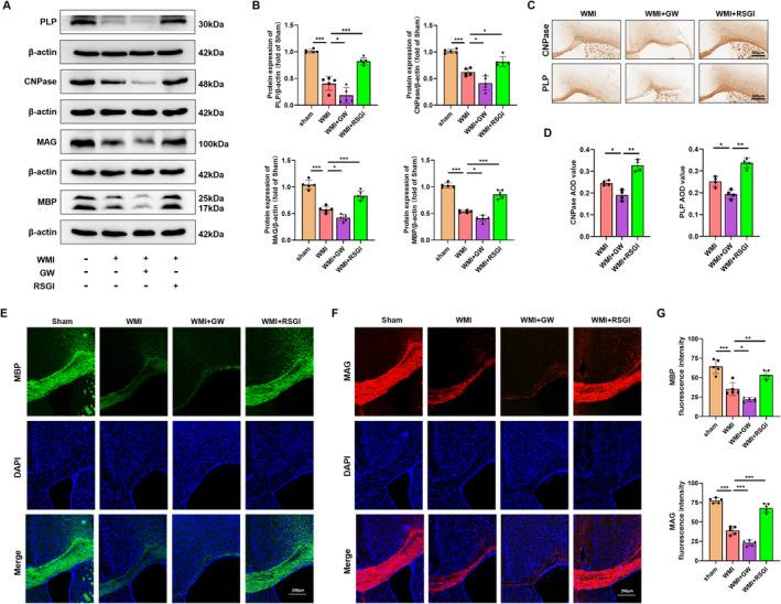
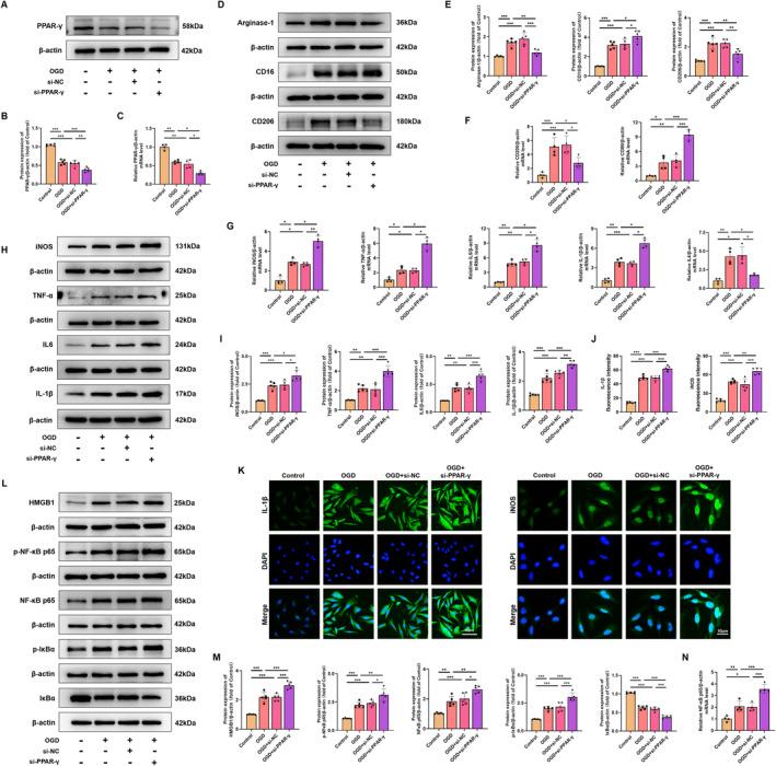
In this study, an in vivo hypoxia-ischemia (HI) induced brain WMI neonatal mouse model was established. The mice were administered intraperitoneally with either RSGI or GW9662 to activate or inhibit PPAR-γ, respectively. Additionally, an in vitro oxygen-glucose deprivation (OGD) cell model was established and pretreated with pcDNA 3.1-PPAR-γ or si-PPAR-γ to overexpress or silence PPAR-γ, respectively. The neuroprotective effects of PPAR-γ were investigated in vivo. Firstly, open field test, novel object recognization test, and beam-walking test were employed to assess the effects of PPAR-γ on neurobehavioral recovery. Furthermore, assessment of OLs loss and OL-maturation disorder, the number of myelinated axons, myelin thickness, synaptic deficit, activation of microglia and astrocyte, and blood-brain barrier (BBB) were used to evaluate the effects of PPAR-γ on pathological repair. The mechanisms of PPAR-γ were explored both in vivo and in vitro. Assessment of microglia polarization, inflammatory mediators, reactive oxygen species (ROS), MDA, and antioxidant enzymes was used to evaluate the anti-inflammatory and antioxidative effects of PPAR-γ activation. An assessment of HMGB1/NF-κB and NRF2/KEAP1 signaling pathway was conducted to clarify the mechanisms by which PPAR-γ influences HI-induced WMI in neonatal mice.

RESULTS

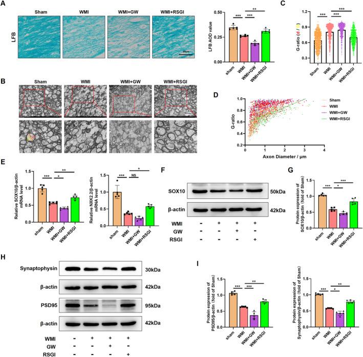
Activation of PPAR-γ using RSGI significantly mitigated BBB disruption, promoted M2 polarization of microglia, inhibited activation of microglia and astrocytes, promoted OLs development, and enhanced myelination in HI-induced WMI. Conversely, inhibition of PPAR-γ using GW9662 further exacerbated the pathologic hallmark of WMI. Neurobehavioral tests revealed that neurological deficits were ameliorated by RSGI, while further aggravated by GW91662. In addition, activation of PPAR-γ significantly alleviated neuroinflammation and oxidative stress by suppressing HMGB1/NF-κB signaling pathway and activating NRF2 signaling pathway both in vivo and in vitro. Conversely, inhibition of PPAR-γ further exacerbated HI or OGD-induced neuroinflammation, oxidative stress via modulation of the same signaling pathway.

CONCLUSIONS

Our findings suggest that PPAR-γ regulates microglial activation/polarization as well as subsequent neuroinflammation/oxidative stress via the HMGB1/NF-κB and NRF2/KEAP1 signaling pathway, thereby contributing to neuroprotection and amelioration of HI-induced WMI in neonatal mice.

摘要

背景

神经炎症和氧化应激通过小胶质细胞的激活介导,阻碍早产儿少突胶质细胞(OLs)的发育,并延迟髓鞘形成,导致白质损伤(WMI)和长期神经发育后遗症。过氧化物酶体增殖物激活受体 γ(PPAR-γ)已被报道通过调节小胶质细胞极化在各种中枢神经系统疾病中抑制炎症和氧化应激。然而,PPAR-γ与新生儿 WMI 中小胶质细胞极化之间的关系尚不清楚。因此,本研究旨在阐明 PPAR-γ 在受 WMI 影响的早产儿中的作用和机制。

方法

本研究建立了一种体内缺氧缺血(HI)诱导的新生鼠脑 WMI 模型。通过腹腔内给予 RSGI 或 GW9662 分别激活或抑制 PPAR-γ。此外,建立了体外氧葡萄糖剥夺(OGD)细胞模型,并通过 pcDNA 3.1-PPAR-γ 或 si-PPAR-γ 预处理分别过表达或沉默 PPAR-γ。在体内研究了 PPAR-γ 的神经保护作用。首先,采用旷场试验、新物体识别试验和走棒试验评估 PPAR-γ 对神经行为恢复的影响。此外,评估 OL 丢失和 OL 成熟障碍、髓鞘化轴突数量、髓鞘厚度、突触缺失、小胶质细胞和星形胶质细胞激活以及血脑屏障(BBB)损伤,以评估 PPAR-γ 对病理性修复的影响。在体内和体外均探讨了 PPAR-γ 的作用机制。通过评估小胶质细胞极化、炎症介质、活性氧(ROS)、MDA 和抗氧化酶来评估 PPAR-γ 激活的抗炎和抗氧化作用。通过评估 HMGB1/NF-κB 和 NRF2/KEAP1 信号通路,阐明了 PPAR-γ 影响新生鼠 HI 诱导的 WMI 的机制。

结果

使用 RSGI 激活 PPAR-γ 可显著减轻 BBB 破坏,促进小胶质细胞 M2 极化,抑制小胶质细胞和星形胶质细胞激活,促进 OLs 发育,并增强 HI 诱导的 WMI 中的髓鞘形成。相反,使用 GW9662 抑制 PPAR-γ 进一步加重了 WMI 的病理特征。神经行为测试表明,RSGI 改善了神经功能缺损,而 GW91662 进一步加重了神经功能缺损。此外,激活 PPAR-γ 通过抑制 HMGB1/NF-κB 信号通路和激活 NRF2 信号通路,在体内和体外均显著减轻了神经炎症和氧化应激。相反,抑制 PPAR-γ 通过调节相同的信号通路进一步加重了 HI 或 OGD 诱导的神经炎症和氧化应激。

结论

我们的研究结果表明,PPAR-γ 通过 HMGB1/NF-κB 和 NRF2/KEAP1 信号通路调节小胶质细胞的激活/极化以及随后的神经炎症/氧化应激,从而有助于保护神经和改善新生鼠 HI 诱导的 WMI。

https://cdn.ncbi.nlm.nih.gov/pmc/blobs/4193/11534457/623cac43d4d9/CNS-30-e70081-g001.jpg

文献AI研究员

20分钟写一篇综述,助力文献阅读效率提升50倍。

立即体验

用中文搜PubMed

大模型驱动的PubMed中文搜索引擎

马上搜索

文档翻译

学术文献翻译模型,支持多种主流文档格式。

立即体验