Suppr超能文献

优替德隆联合抗血管生成疗法治疗经蒽环类/紫杉烷类治疗且内分泌抵抗的HRHER2难治性脑转移乳腺癌:一例报告

Utidelone combined with anti‑angiogenic therapy for the treatment of anthracycline/taxane‑treated and endocrine‑resistant HRHER2 refractory breast cancer with brain metastases: A case report.

作者信息

Bai Xue, Liu Meidi, Chen Xuelian, Song Lin, Zhang Jiaxian, Song Qing, Xie Xiaofeng, Lan Xiaofeng, Chen Liping, Huang Jiayi, Du Caiwen

机构信息

Department of Medical Oncology, National Cancer Center/National Clinical Research Center for Cancer/Cancer Hospital and Shenzhen Hospital, Chinese Academy of Medical Sciences and Peking Union Medical College, Shenzhen, Guangdong 518116, P.R. China.

出版信息

Oncol Lett. 2024 Oct 23;29(1):25. doi: 10.3892/ol.2024.14771. eCollection 2025 Jan.

Abstract

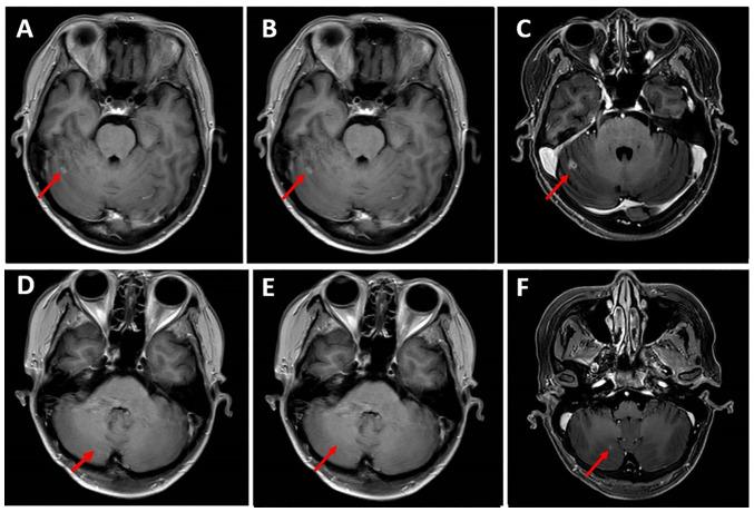
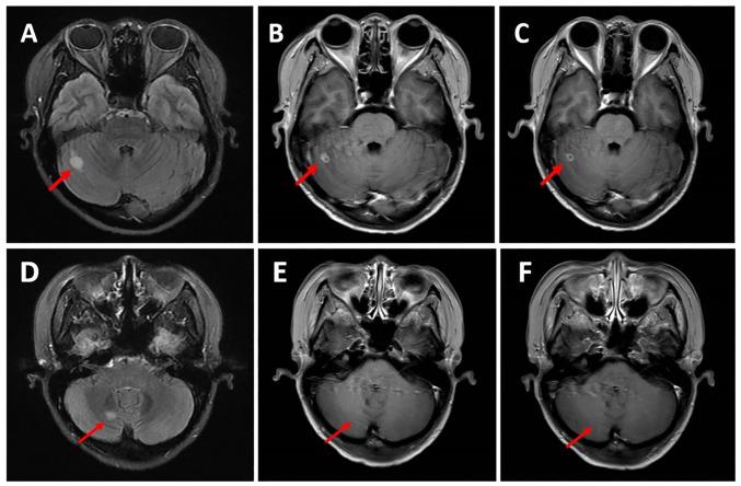
For patients with hormone receptor-positive (HR) and human epidermal growth factor receptor 2-negative (HER2) metastatic breast cancer (mBC), the treatment choices become more complex after progression on first-line CDK4/6 inhibitors combined with endocrine therapy. Currently, there are no guidelines that provide a unified standard protocol for this situation. Almost half of patients with mBC develop brain metastases (BMs), and once BMs occur, the survival of the patient is often significantly reduced. An anti-angiogenic drug and chemotherapy combination of has demonstrated synergistic effects in an mBC cell line. Anti-angiogenic drugs have shown therapeutic efficacy in the treatment of mBC, and utidelone has shown the ability to cross the blood-brain barrier and achieve a high concentration in brain tissue in preclinical studies. The present case report describes a patient with HR/HER2 mBC and BMs that developed resistance to two CDK4/6 inhibitors and treatments with anthracyclines/taxanes. The patient received a fourth-line treatment regimen combining utidelone with a small-molecule anti-angiogenic drug, namely apatinib or anlotinib. The patient achieved a partial response with this combined regimen, and a progression-free survival (PFS) of 7.6 months, which was the best therapeutic outcome in the entire course of the illness. This result was superior to the second-line treatment with nab-paclitaxel, which resulted in a PFS of 8 months and best overall response of stable disease with slight shrinkage. The present case indicates that a combination of utidelone with apatinib/anlotinib exhibited antitumor activity in a patient with HR/HER2 mBC with BMs. Therefore, this combination offers a promising therapeutic option for the clinical treatment of patients with breast cancer and BMs.

摘要

对于激素受体阳性(HR)且人表皮生长因子受体2阴性(HER2)的转移性乳腺癌(mBC)患者,在一线CDK4/6抑制剂联合内分泌治疗进展后,治疗选择变得更加复杂。目前,尚无指南针对这种情况提供统一的标准方案。几乎一半的mBC患者会发生脑转移(BMs),一旦发生BMs,患者的生存期通常会显著缩短。抗血管生成药物与化疗联合在一种mBC细胞系中已显示出协同作用。抗血管生成药物在mBC治疗中已显示出治疗效果,在临床前研究中,优替德隆已显示出能够穿过血脑屏障并在脑组织中达到高浓度。本病例报告描述了一名患有HR/HER2 mBC和BMs的患者,该患者对两种CDK4/6抑制剂以及蒽环类/紫杉类治疗产生了耐药性。该患者接受了优替德隆与小分子抗血管生成药物(即阿帕替尼或安罗替尼)联合的四线治疗方案。该联合方案使患者获得了部分缓解,无进展生存期(PFS)为7.6个月,这是整个病程中的最佳治疗结果。该结果优于二线白蛋白结合型紫杉醇治疗,后者的PFS为8个月,最佳总体反应为疾病稳定且有轻微缩小。本病例表明,优替德隆与阿帕替尼/安罗替尼联合在一名患有HR/HER2 mBC和BMs的患者中表现出抗肿瘤活性。因此,这种联合为乳腺癌和BMs患者的临床治疗提供了一种有前景的治疗选择。

https://cdn.ncbi.nlm.nih.gov/pmc/blobs/8655/11542160/c4d54971af30/ol-29-01-14771-g00.jpg

文献AI研究员

20分钟写一篇综述,助力文献阅读效率提升50倍。

立即体验

用中文搜PubMed

大模型驱动的PubMed中文搜索引擎

马上搜索

文档翻译

学术文献翻译模型,支持多种主流文档格式。

立即体验