Suppr超能文献

爱泼斯坦-巴尔病毒驱动的T细胞淋巴瘤伴噬血细胞性淋巴组织细胞增生症:一种危及生命的疾病,不仅局限于儿童期。

Epstein-Barr Virus-Driven T-Cell Lymphoma with Haemophagocytic Lymphohistiocytosis: A Life-Threatening Disorder Extending Beyond Childhood.

作者信息

Wannaphut Chalothorn, Kozai Landon, Takahashi Toshiaki, Macapagal Sharina, Nishimura Yoshito

机构信息

Department of Medicine, John A. Burns School of Medicine, University of Hawaii, Honolulu, USA.

Division of Hematology and Oncology, Mayo Clinic, Rochester, USA.

出版信息

Eur J Case Rep Intern Med. 2024 Oct 17;11(11):004931. doi: 10.12890/2024_004931. eCollection 2024.

Abstract

UNLABELLED

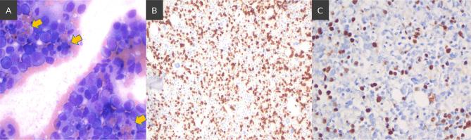
An 18-year-old previously healthy Filipino male presented with abdominal pain, vomiting, dyspnoea and fever. Initial investigations revealed severe hepatosplenomegaly, pancytopaenia, elevated liver enzymes, coagulopathy and extremely high ferritin levels. Bone marrow biopsy confirmed an abnormal CD8+ T-cell population with haemophagocytosis. Extensive workup was performed, and he was ultimately diagnosed with haemophagocytic lymphohistiocytosis (HLH) secondary to Epstein-Barr virus-positive T-cell lymphoma of childhood (EBV-TCL), a rare and aggressive malignancy. Despite the initiation of modified dexamethasone, methotrexate, ifosfamide, L-asparaginase and etoposide (SMILE) chemotherapy along with high-dose glucocorticoids, the patient did not respond to the treatment and expired. This case underscores the critical importance of early recognition and prompt intervention in EBV-TCL-associated HLH which is a unique condition and a rare entity. The diagnosis of this entity can be particularly challenging, given its rapid progression and high mortality rate. Therefore, timely diagnosis and the initiation of appropriate therapy are essential for improving patient outcomes. General medicine providers play a key role in identifying warning signs to avoid delays in treatment initiation.

LEARNING POINTS

EBV-associated T-cell lymphoma with haemophagocytic lymphohistiocytosis can affect not only children but also adolescents and young adults, highlighting the need for awareness of the high fatality risk.Early recognition of EBV-associated haemophagocytic lymphohistiocytosis (EBV-HLH) is crucial; when a patient presents with fever, pancytopaenia and hepatosplenomegaly.Future prospective studies are warranted to determine the treatment strategy and the optimal patient population that requires early bone marrow transplantation when initial treatment is inadequate.

摘要

未标注

一名18岁、此前身体健康的菲律宾男性出现腹痛、呕吐、呼吸困难和发热症状。初步检查发现严重肝脾肿大、全血细胞减少、肝酶升高、凝血功能障碍以及铁蛋白水平极高。骨髓活检证实存在异常的噬血细胞性CD8 + T细胞群。进行了全面检查,最终他被诊断为继发于儿童期爱泼斯坦 - 巴尔病毒阳性T细胞淋巴瘤(EBV - TCL)的噬血细胞性淋巴组织细胞增生症(HLH),这是一种罕见且侵袭性强的恶性肿瘤。尽管开始使用改良地塞米松、甲氨蝶呤、异环磷酰胺、L - 天冬酰胺酶和依托泊苷(SMILE)化疗以及大剂量糖皮质激素,但患者对治疗无反应并死亡。该病例强调了早期识别和及时干预EBV - TCL相关HLH的至关重要性,这是一种独特且罕见的病症。鉴于其快速进展和高死亡率,该病症的诊断可能特别具有挑战性。因此,及时诊断和启动适当治疗对于改善患者预后至关重要。普通内科医生在识别警示信号以避免治疗启动延迟方面起着关键作用。

学习要点

EBV相关的伴有噬血细胞性淋巴组织细胞增生症的T细胞淋巴瘤不仅可影响儿童,还可影响青少年和年轻成年人,凸显了认识到高致死风险的必要性。早期识别EBV相关的噬血细胞性淋巴组织细胞增生症(EBV - HLH)至关重要;当患者出现发热、全血细胞减少和肝脾肿大时。未来有必要进行前瞻性研究,以确定治疗策略以及当初始治疗不足时需要早期进行骨髓移植的最佳患者群体。

https://cdn.ncbi.nlm.nih.gov/pmc/blobs/36f4/11542956/a60bee30e2a9/4931_Fig1.jpg

文献AI研究员

20分钟写一篇综述,助力文献阅读效率提升50倍。

立即体验

用中文搜PubMed

大模型驱动的PubMed中文搜索引擎

马上搜索

文档翻译

学术文献翻译模型,支持多种主流文档格式。

立即体验