Suppr超能文献

间充质干细胞移植在动物模型中作为肝硬化治疗方法的应用。

Use of Mesenchymal Stem Cell Transplantation as a Treatment for Liver Cirrhosis in Animal Models.

作者信息

Skuratov Alexander G, Osipov Boris B, Lyzikov Anatoly N, Zinovkin Dmitry A, Adam Imran M, Kaplan Mark L, Prisentsov Anton A, Voropaev Evgeny V, Angage Madusha M P

机构信息

Department of Surgical Diseases No1 with the Course of Cardiovascular Surgery, Gomel State Medical University, Gomel, BLR.

Department of Pathology, Gomel State Medical University, Gomel, BLR.

出版信息

Cureus. 2024 Oct 17;16(10):e71720. doi: 10.7759/cureus.71720. eCollection 2024 Oct.

Abstract

INTRODUCTION

Liver cirrhosis is one of the top 10 causes of death worldwide, and liver disease is in the top five in many developing countries. The treatment of liver cirrhosis at various stages necessitates the development of new organ transplantation techniques. One of these options is cell therapy, which has lately been used to treat a wide range of illnesses.

METHODS

The study used a rabbit model of liver cirrhosis to examine the efficiency of mesenchymal stem cell (MSC) transplantation. Subcutaneous injections of carbon tetrachloride (CCL4) were used to cause liver cirrhosis. When liver cirrhosis developed, autologous mesenchymal stem cells were infused into the portal vein.

RESULTS

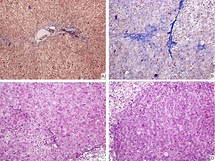
The histological image of the cirrhotic liver improved one month after MSC transplantation.

CONCLUSION

This demonstrates that the intraportal delivery of autologous MSC to rabbits with experimental liver cirrhosis has good therapeutic outcomes.

摘要

引言

肝硬化是全球十大死因之一,在许多发展中国家,肝脏疾病位列前五。不同阶段肝硬化的治疗需要开发新的器官移植技术。其中一种选择是细胞疗法,该疗法最近已被用于治疗多种疾病。

方法

本研究使用肝硬化兔模型来检测间充质干细胞(MSC)移植的效果。通过皮下注射四氯化碳(CCL4)诱导肝硬化。当肝硬化形成后,将自体间充质干细胞注入门静脉。

结果

MSC移植后一个月,肝硬化肝脏的组织学图像有所改善。

结论

这表明将自体MSC经门静脉注入实验性肝硬化兔体内具有良好的治疗效果。

https://cdn.ncbi.nlm.nih.gov/pmc/blobs/1f8d/11568846/a42f9a581bc4/cureus-0016-00000071720-i01.jpg

文献AI研究员

20分钟写一篇综述,助力文献阅读效率提升50倍。

立即体验

用中文搜PubMed

大模型驱动的PubMed中文搜索引擎

马上搜索

文档翻译

学术文献翻译模型,支持多种主流文档格式。

立即体验