Suppr超能文献

休眠导致乳腺癌晚期复发:一例激素受体阳性锁骨上转移病例,初始治疗10年后出现转移

Dormancy Leading to Late Recurrence in Breast Cancer: A Case of Hormone Receptor-Positive Supraclavicular Metastasis 10 Years After the Initial Treatment.

作者信息

Louis Mena, Tapia Rafael, Grabill Nathaniel, Strom Priscilla

机构信息

General Surgery, Northeast Georgia Medical Center Gainesville, Gainesville, USA.

Surgery, Northeast Georgia Medical Center Gainesville, Gainesville, USA.

出版信息

Cureus. 2024 Oct 16;16(10):e71586. doi: 10.7759/cureus.71586. eCollection 2024 Oct.

Abstract

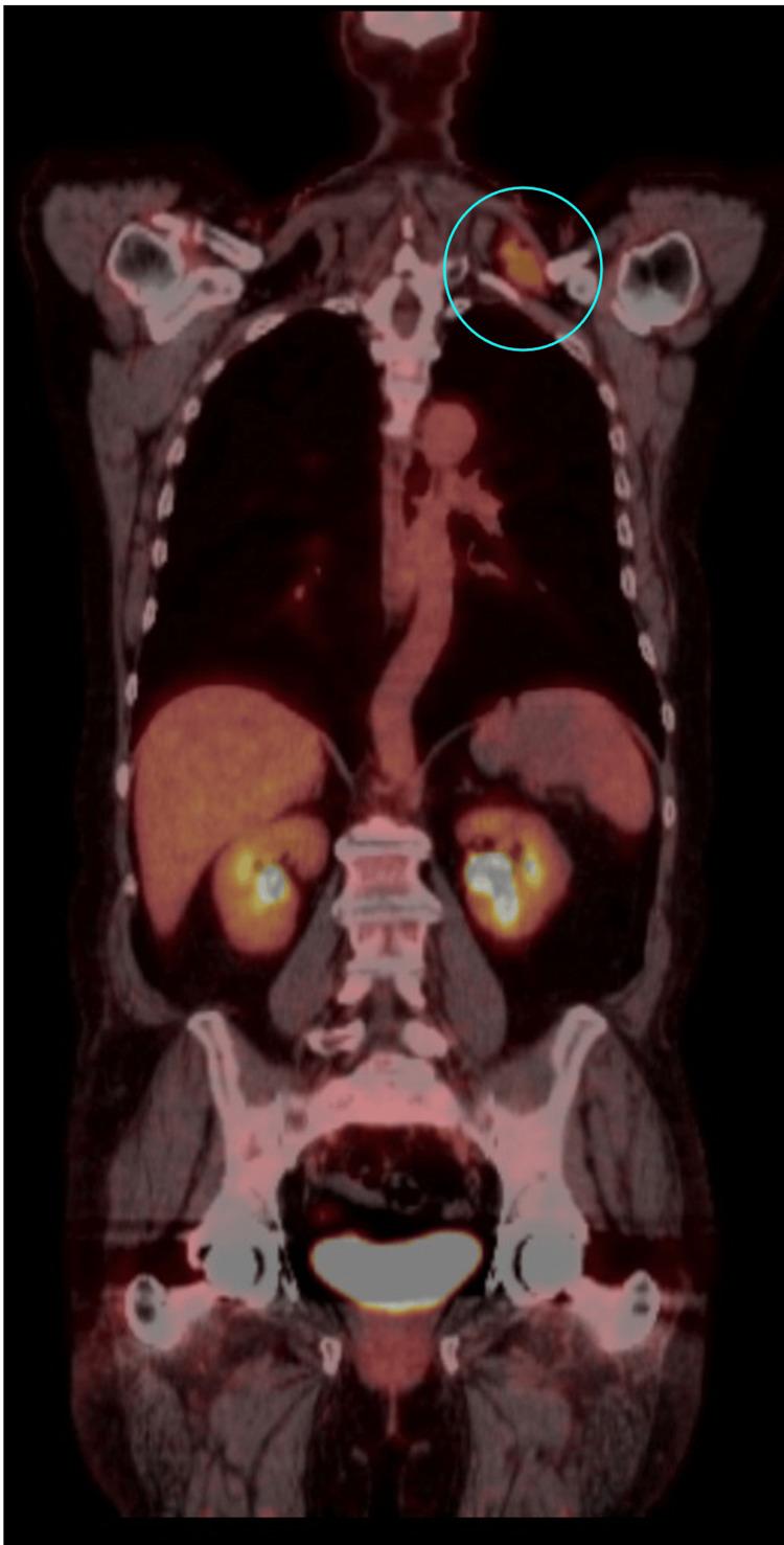
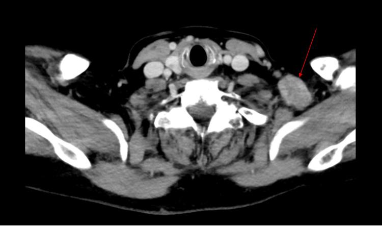
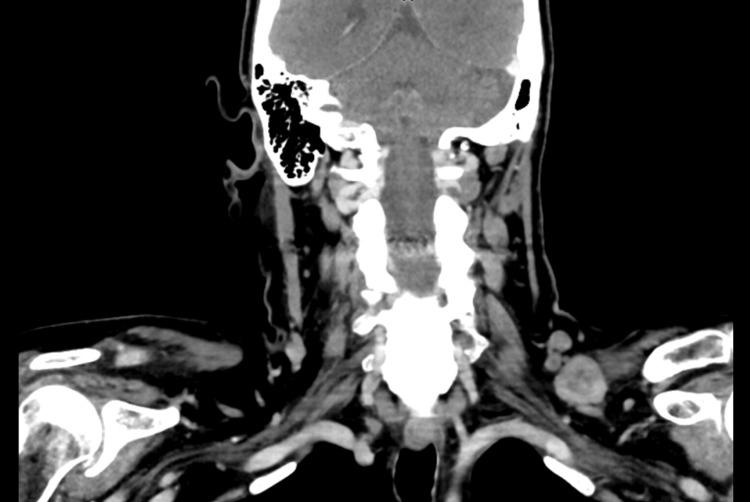
Breast cancer recurrence can occur many years after the initial treatment, particularly in hormone receptor-positive (HR+) cases, where the risk of late recurrence remains significant. Late recurrences are well documented, with research showing that they can happen even decades after the primary diagnosis, necessitating extended monitoring and personalized therapeutic approaches. A 65-year-old woman with a history of stage IIIC invasive ductal carcinoma, initially treated with neoadjuvant chemotherapy, bilateral mastectomies, adjuvant chemoradiation, and prolonged hormonal therapy, presented 10 years later with metastasis to the left supraclavicular lymph nodes. A biopsy confirmed recurrent ER+/PR+/HER2- (estrogen receptor-positive/progesterone receptor-positive/human epidermal growth factor receptor 2-negative) breast cancer. Her treatment was adjusted to include Faslodex (fulvestrant) and Verzenio (abemaciclib), followed by the surgical resection of the metastatic lymph node. Managing HR+ breast cancer involves significant challenges, mainly due to the potential for late recurrence. Even after aggressive treatment and years of remission, dormant tumor cells may become active again, leading to metastasis in less common sites, like the supraclavicular lymph nodes. This situation demands a tailored therapeutic approach, adjusting treatment strategies to address the specific characteristics of the recurrent tumor. In conclusion, late recurrence in HR+ breast cancer requires vigilant long-term follow-up and personalized treatments to effectively manage recurrence risk. Understanding dormancy and reactivation mechanisms is essential for guiding clinical decisions. Prioritizing individualized follow-up strategies and refining treatment protocols will be key to improving patient outcomes and maintaining quality of life.

摘要

乳腺癌复发可能在初始治疗多年后发生,尤其是在激素受体阳性(HR+)的病例中,晚期复发风险仍然很高。晚期复发有充分的文献记载,研究表明,它们甚至可能在初次诊断数十年后发生,因此需要延长监测时间并采取个性化治疗方法。一名65岁女性,有IIIC期浸润性导管癌病史,最初接受了新辅助化疗、双侧乳房切除术、辅助放化疗和长期激素治疗,10年后出现左锁骨上淋巴结转移。活检证实为复发性ER+/PR+/HER2-(雌激素受体阳性/孕激素受体阳性/人表皮生长因子受体2阴性)乳腺癌。她的治疗方案调整为包括芙仕得(氟维司群)和唯择(阿贝西利),随后对转移性淋巴结进行手术切除。管理HR+乳腺癌面临重大挑战,主要是因为存在晚期复发的可能性。即使经过积极治疗和多年缓解,休眠的肿瘤细胞可能会再次活跃,导致在不太常见的部位发生转移,如锁骨上淋巴结。这种情况需要量身定制的治疗方法,调整治疗策略以应对复发性肿瘤的特定特征。总之,HR+乳腺癌的晚期复发需要长期密切随访和个性化治疗,以有效管理复发风险。了解休眠和重新激活机制对于指导临床决策至关重要。优先考虑个体化随访策略并完善治疗方案将是改善患者预后和维持生活质量的关键。

https://cdn.ncbi.nlm.nih.gov/pmc/blobs/1b29/11566324/87ca62165ae7/cureus-0016-00000071586-i01.jpg

文献AI研究员

20分钟写一篇综述,助力文献阅读效率提升50倍。

立即体验

用中文搜PubMed

大模型驱动的PubMed中文搜索引擎

马上搜索

文档翻译

学术文献翻译模型,支持多种主流文档格式。

立即体验