Suppr超能文献

不同碳水化合物水平对幼龄梭鲈生长性能、肝脏和肠道健康以及肠道微生物区系的影响()。

Effects of Different Levels of Carbohydrates on Growth Performance, Hepatic and Intestinal Health, and Intestinal Microflora of Juvenile Pikeperch ().

作者信息

Zhao Jie, Liu Yang, Sun Zhipeng, Wang Liansheng, Fan Ze, Pan Yadan, Gao Jiamin, Lu Cuiyun, Zheng Xianhu

机构信息

National and Local Joint Engineering Laboratory for Freshwater Fish Breeding Heilongjiang River Fisheries Research Institute Chinese Academy of Fishery Sciences, Harbin 150070, China.

College of Fish and Life Science Shanghai Ocean University, Shanghai 201306, China.

出版信息

Aquac Nutr. 2024 Aug 9;2024:8450154. doi: 10.1155/2024/8450154. eCollection 2024.

Abstract

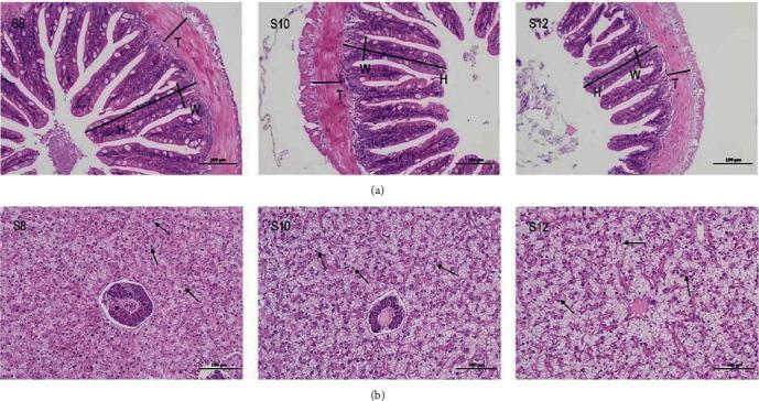
Pikeperch () is a species with great potential for aquaculture in Eurasian countries, while feed costs limit the scale of pikeperch farming. Adding carbohydrates to the feed as an energy source is a viable approach to reduce costs and to improve the culture status of pikeperch. In this study, in order to determine the optimal carbohydrate requirement of pikeperch, three tapioca starch (8%, 10%, and 12%) added feeds were produced with isonitrogenous (51%) and isolipidic (11%). For 8 weeks, body weight was 1.20 ± 0.01 g, pikeperch were manually fed the trio of experimental diets until they seemed fully satisfied. The finding revealed that pikeperch can utilize dietary carbohydrate, but excessive dietary carbohydrate will adversely affect the growth performance. The growth and survival rate were decreased in pikeperch in S12 ( < 0.05). The -amylase activity of S12 reduced in the intestine and lipid deposition was observed in the liver compared with the S8. In addition, proinflammatory cytokines, interleukin 1 beta (), interleukin 8 (), and tumor necrosis factor beta (), in the liver and intestine elevate and anti-inflammatory cytokines, interleukin 10 () and transforming growth factor beta (), decrease with increasing dietary carbohydrate levels. Hepatic and intestinal antioxidant capacity were also adversely affected, with S12 significantly increasing malondialdehyde (MDA) contents and decreasing glutathione (GSH) and total antioxidant capacity (T-AOC) ( < 0.05). The intestinal barrier function is also damaged, the height and width of intestinal villi decreased, and the expression of , , and zonula occludens-2 () genes was decreased. Elevated levels of starch intake led to harm to gut microflora, reducing bacterial populations, simultaneously boosting the presence of detrimental bacteria (Proteobacteria, Actinobacteriota, Achromobacter, and Rhodococcus) and diminishing the beneficial bacteria (Firmicutes). In conclusion, moderate addition of starch as an energy source can reduce feed costs; however, over addition can bring about organism damage and is recommended to be added at less than 10%.

摘要

梭鲈是欧亚国家极具水产养殖潜力的物种,然而饲料成本限制了梭鲈养殖规模。在饲料中添加碳水化合物作为能量来源是降低成本并改善梭鲈养殖状况的可行方法。在本研究中,为确定梭鲈的最佳碳水化合物需求量,生产了三种添加木薯淀粉(8%、10%和12%)的等氮(51%)和等脂(11%)饲料。为期8周,梭鲈体重为1.20±0.01克,人工投喂这三种实验饲料直至它们似乎完全饱腹。研究结果表明,梭鲈能够利用饲料中的碳水化合物,但过量的饲料碳水化合物会对生长性能产生不利影响。S12组梭鲈的生长和存活率降低(P<0.05)。与S8组相比,S12组肠道中淀粉酶活性降低,肝脏中出现脂质沉积。此外随着饲料碳水化合物水平升高,肝脏和肠道中的促炎细胞因子白细胞介素1β(IL-1β)、白细胞介素8(IL-8)和肿瘤坏死因子β(TNF-β)升高,而抗炎细胞因子白细胞介素10(IL-10)和转化生长因子β(TGF-β)降低。肝脏和肠道的抗氧化能力也受到不利影响,S

https://cdn.ncbi.nlm.nih.gov/pmc/blobs/0736/11329307/1c4fa0ece5cd/ANU2024-8450154.001.jpg

文献AI研究员

20分钟写一篇综述,助力文献阅读效率提升50倍。

立即体验

用中文搜PubMed

大模型驱动的PubMed中文搜索引擎

马上搜索

文档翻译

学术文献翻译模型,支持多种主流文档格式。

立即体验