Suppr超能文献

甲状腺乳头状癌亚型的细胞学特征及鉴别诊断

Cytologic hallmarks and differential diagnosis of papillary thyroid carcinoma subtypes.

作者信息

Harahap Agnes Stephanie, Jung Chan Kwon

机构信息

Department of Anatomical Pathology, Faculty of Medicine Universitas Indonesia - Dr. Cipto Mangunkusumo Hospital, Jakarta, Indonesia.

Human Cancer Research Center-Indonesian Medical Education and Research Institute, Faculty of Medicine, Universitas Indonesia, Jakarta, Indonesia.

出版信息

J Pathol Transl Med. 2024 Nov;58(6):265-282. doi: 10.4132/jptm.2024.10.11. Epub 2024 Nov 7.

Abstract

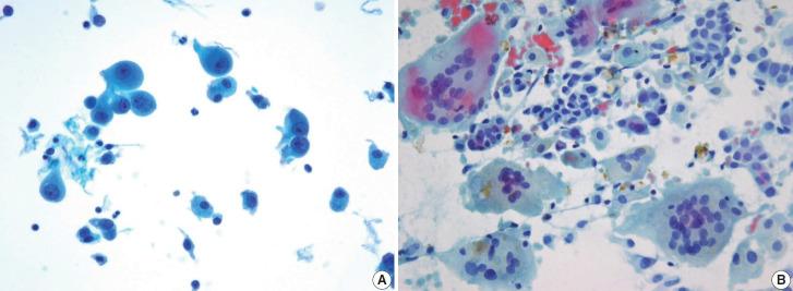
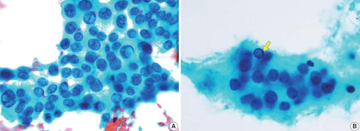
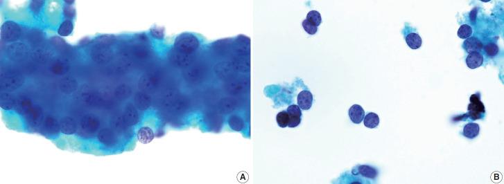
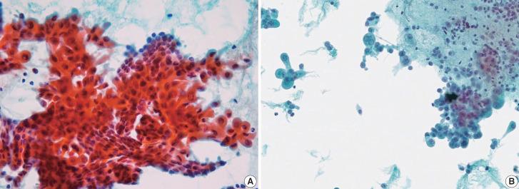
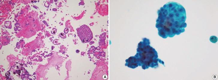
Papillary thyroid carcinoma (PTC) is the most common thyroid malignancy, characterized by a range of subtypes that differ in their cytologic features, clinical behavior, and prognosis. Accurate cytologic evaluation of PTC using fine-needle aspiration is essential but can be challenging due to the morphologic diversity among subtypes. This review focuses on the distinct cytologic characteristics of various PTC subtypes, including the classic type, follicular variant, tall cell, columnar cell, hobnail, diffuse sclerosing, Warthin-like, solid/trabecular, and oncocytic PTCs. Each subtype demonstrates unique nuclear features, architectural patterns, and background elements essential for diagnosis and differentiation from other thyroid lesions. Recognizing these distinct cytologic patterns is essential for identifying aggressive subtypes like tall cell, hobnail, and columnar cell PTCs, which have a higher risk of recurrence, metastasis, and poorer clinical outcomes. Additionally, rare subtypes such as diffuse sclerosing and Warthin-like PTCs present unique cytologic profiles that must be carefully interpreted to avoid diagnostic errors. The review also highlights the cytologic indicators of lymph node metastasis and high-grade features, such as differentiated high-grade thyroid carcinoma. The integration of molecular testing can further refine subtype diagnosis by identifying specific genetic mutations. A thorough understanding of these subtype-specific cytologic features and molecular profiles is vital for accurate diagnosis, risk stratification, and personalized management of PTC patients. Future improvements in diagnostic techniques and standardization are needed to enhance cytologic evaluation and clinical decision-making in thyroid cancer.

摘要

乳头状甲状腺癌(PTC)是最常见的甲状腺恶性肿瘤,其特征是一系列在细胞学特征、临床行为和预后方面存在差异的亚型。使用细针穿刺对PTC进行准确的细胞学评估至关重要,但由于各亚型之间形态学的多样性,这可能具有挑战性。本综述聚焦于各种PTC亚型独特的细胞学特征,包括经典型、滤泡状变体、高细胞型、柱状细胞型、鞋钉样型、弥漫硬化型、沃辛样型、实性/小梁状型和嗜酸细胞性PTC。每种亚型都具有独特的核特征、结构模式和背景成分,这些对于诊断以及与其他甲状腺病变的鉴别至关重要。识别这些独特的细胞学模式对于识别高细胞型、鞋钉样型和柱状细胞型PTC等侵袭性亚型至关重要,这些亚型具有更高的复发、转移风险以及更差的临床结局。此外,弥漫硬化型和沃辛样型PTC等罕见亚型具有独特的细胞学特征,必须仔细解读以避免诊断错误。该综述还强调了淋巴结转移和高级别特征(如分化型高级别甲状腺癌)的细胞学指标。分子检测的整合可通过识别特定基因突变进一步优化亚型诊断。全面了解这些亚型特异性的细胞学特征和分子谱对于PTC患者的准确诊断、风险分层和个性化管理至关重要。未来需要改进诊断技术并实现标准化,以加强甲状腺癌的细胞学评估和临床决策。

https://cdn.ncbi.nlm.nih.gov/pmc/blobs/c87f/11573474/c5c559604a56/jptm-2024-10-11f1.jpg

文献AI研究员

20分钟写一篇综述,助力文献阅读效率提升50倍。

立即体验

用中文搜PubMed

大模型驱动的PubMed中文搜索引擎

马上搜索

文档翻译

学术文献翻译模型,支持多种主流文档格式。

立即体验