Suppr超能文献

与TBK1相关的衔接蛋白TANK和AZI2可保护小鼠免受TNF诱导的细胞死亡和严重的自身炎症性疾病。

TBK1-associated adapters TANK and AZI2 protect mice against TNF-induced cell death and severe autoinflammatory diseases.

作者信息

Ujevic Andrea, Knizkova Daniela, Synackova Alzbeta, Pribikova Michaela, Trivic Tijana, Dalinskaya Anna, Drobek Ales, Niederlova Veronika, Paprckova Darina, De Guia Roldan, Kasparek Petr, Prochazka Jan, Labaj Juraj, Fedosieieva Olha, Roeck Bernhard Florian, Mihola Ondrej, Trachtulec Zdenek, Sedlacek Radislav, Stepanek Ondrej, Draber Peter

机构信息

Laboratory of Immunity & Cell Communication, Division BIOCEV, First Faculty of Medicine, Charles University, Vestec, Czech Republic.

Laboratory of Adaptive Immunity, Institute of Molecular Genetics of the Czech Academy of Sciences, Prague, Czech Republic.

出版信息

Nat Commun. 2024 Nov 19;15(1):10013. doi: 10.1038/s41467-024-54399-4.

Abstract

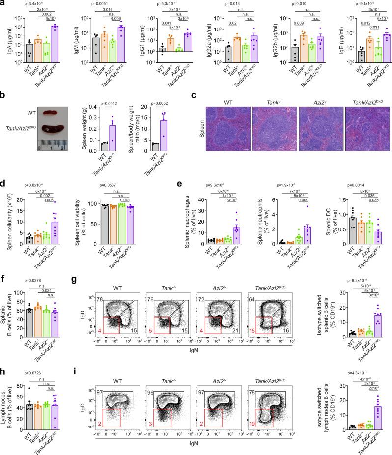
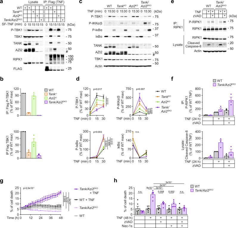
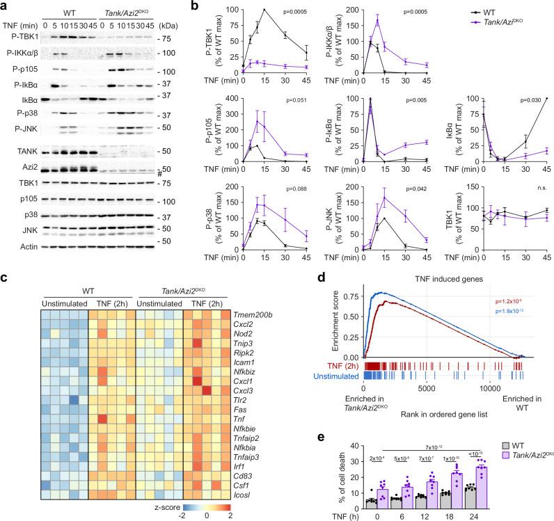
The cytokine TNF can trigger highly proinflammatory RIPK1-dependent cell death. Here, we show that the two adapter proteins, TANK and AZI2, suppress TNF-induced cell death by regulating the activation of TBK1 kinase. Mice lacking either TANK or AZI2 do not show an overt phenotype. Conversely, animals deficient in both adapters are born in a sub-Mendelian ratio and suffer from severe multi-organ inflammation, excessive antibody production, male sterility, and early mortality, which can be rescued by TNFR1 deficiency and significantly improved by expressing a kinase-dead form of RIPK1. Mechanistically, TANK and AZI2 both recruit TBK1 to the TNF receptor signaling complex, but with distinct kinetics due to interaction with different complex components. While TANK binds directly to the adapter NEMO, AZI2 is recruited later via deubiquitinase A20. In summary, our data show that TANK and AZI2 cooperatively sustain TBK1 activity during different stages of TNF receptor assembly to protect against autoinflammation.

摘要

细胞因子肿瘤坏死因子(TNF)可引发高度促炎的依赖受体相互作用蛋白激酶1(RIPK1)的细胞死亡。在此,我们表明,两种衔接蛋白TANK和AZI2通过调节TANK结合激酶1(TBK1)的激活来抑制TNF诱导的细胞死亡。缺乏TANK或AZI2的小鼠未表现出明显的表型。相反,两种衔接蛋白均缺陷的动物出生比例低于孟德尔遗传比例,且患有严重的多器官炎症、抗体产生过多、雄性不育和早期死亡,这些症状可通过肿瘤坏死因子受体1(TNFR1)缺陷得到挽救,并通过表达RIPK1的激酶失活形式得到显著改善。从机制上讲,TANK和AZI2均将TBK1招募至TNF受体信号复合物,但由于与不同复合物成分相互作用,动力学不同。TANK直接结合衔接蛋白NEMO,而AZI2随后通过去泛素化酶A20被招募。总之,我们的数据表明,TANK和AZI2在TNF受体组装的不同阶段协同维持TBK1活性,以防止自身炎症。

https://cdn.ncbi.nlm.nih.gov/pmc/blobs/2cb1/11576971/bbfd6b34849b/41467_2024_54399_Fig1_HTML.jpg

文献AI研究员

20分钟写一篇综述,助力文献阅读效率提升50倍。

立即体验

用中文搜PubMed

大模型驱动的PubMed中文搜索引擎

马上搜索

文档翻译

学术文献翻译模型,支持多种主流文档格式。

立即体验