Suppr超能文献

一种源自人类干细胞的模型揭示了糖尿病足细胞损伤中病理性细胞外基质重塑。

A human stem cell-derived model reveals pathologic extracellular matrix remodeling in diabetic podocyte injury.

作者信息

Roye Yasmin, Miller Carmen, Kalejaiye Titilola D, Musah Samira

机构信息

Department of Biomedical Engineering, Pratt School of Engineering, Duke University, Durham, NC, USA.

Department of Biology, Trinity College of Arts and Sciences, Duke University, Durham NC, USA.

出版信息

Matrix Biol Plus. 2024 Nov 2;24:100164. doi: 10.1016/j.mbplus.2024.100164. eCollection 2024 Dec.

Abstract

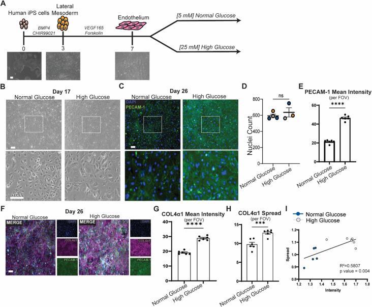
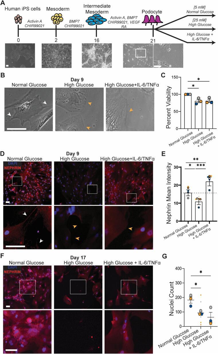
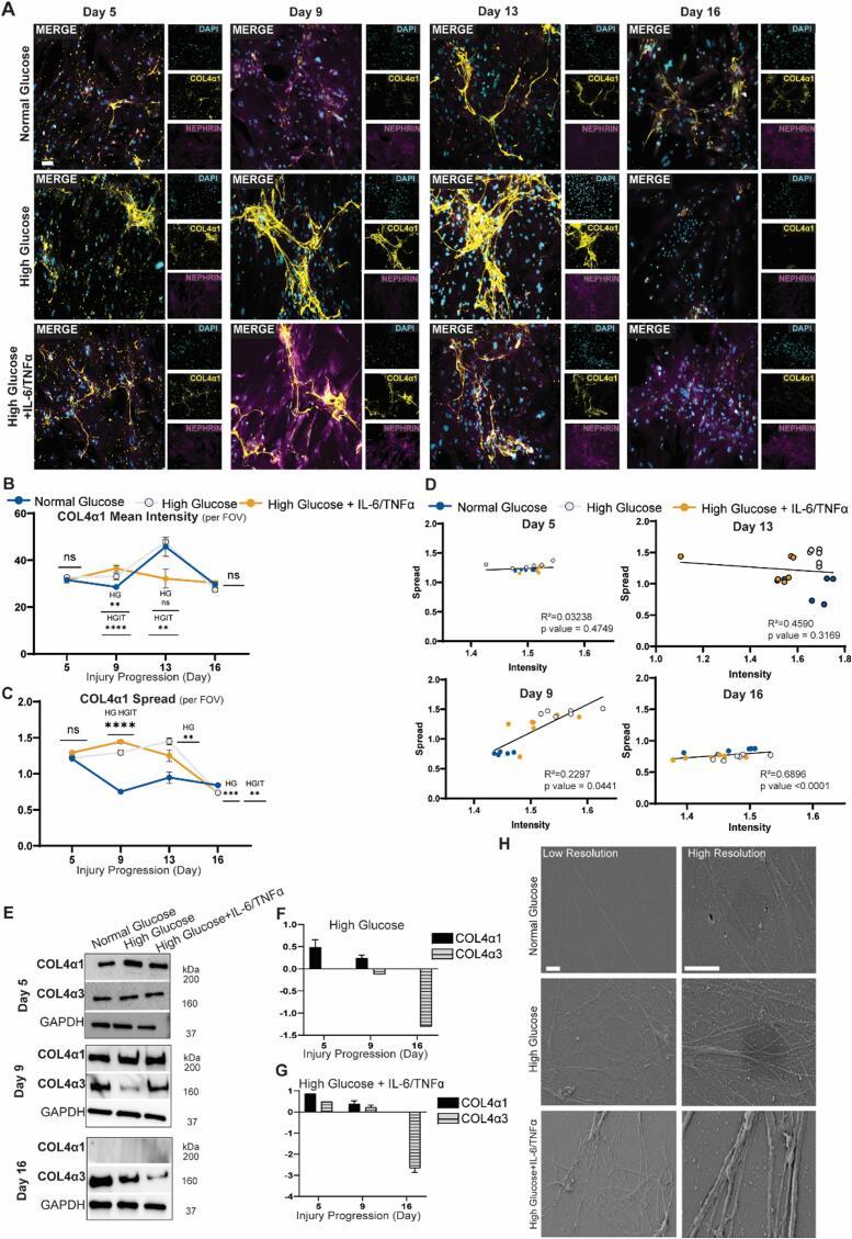
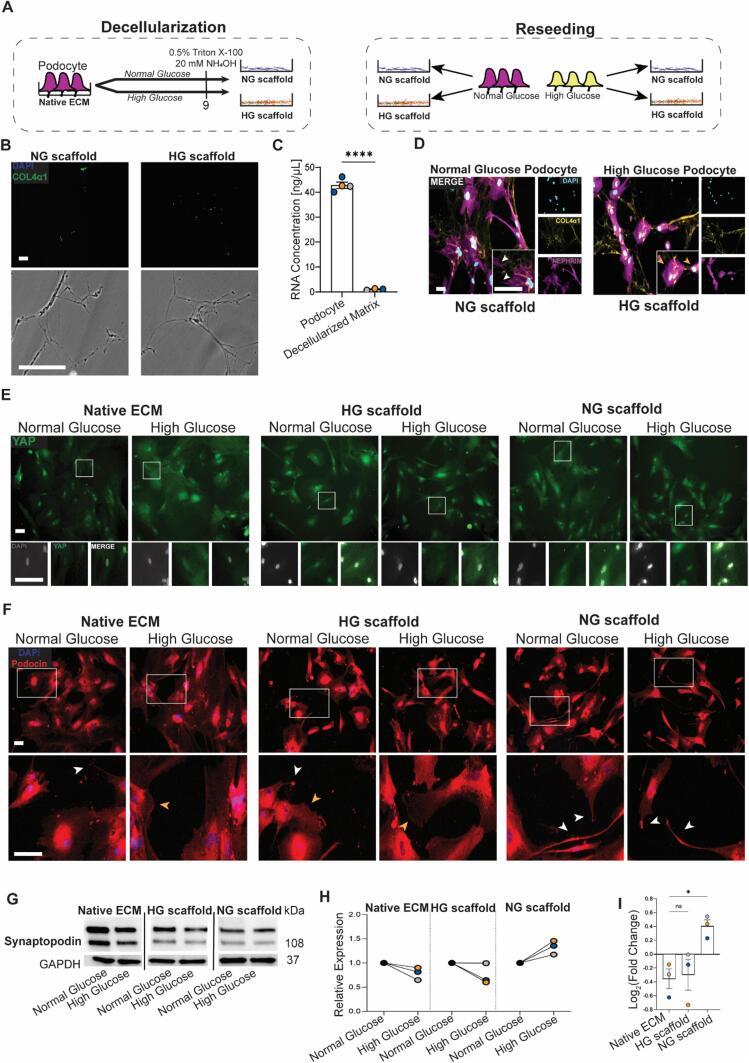
Diabetic nephropathy results from chronic (or uncontrolled) hyperglycemia and is the leading cause of kidney failure. The kidney's glomerular podocytes are highly susceptible to diabetic injury and subsequent non-reversible degeneration. We generated a human induced pluripotent stem (iPS) cell-derived model of diabetic podocytopathy to investigate disease pathogenesis and progression. The model recapitulated hallmarks of podocytopathy that precede proteinuria including retraction of foot processes and podocytopenia (detachment from the extracellular matrix (ECM)). Moreover, hyperglycemia-induced injury to podocytes exacerbated remodeling of the ECM. Specifically, mature podocytes aberrantly increased expression and excessively deposited collagen (IV)α1α1α2 that is normally abundant in the embryonic glomerulus. This collagen (IV) imbalance coincided with dysregulation of lineage-specific proteins, structural abnormalities of the ECM, and podocytopenia - a mechanism not shared with endothelium and is distinct from drug-induced injury. Intriguingly, repopulation of hyperglycemia-injured podocytes on decellularized ECM scaffolds isolated from healthy podocytes attenuated the loss of synaptopodin (a mechanosensitive protein associated with podocyte health). These results demonstrate that human iPS cell-derived podocytes can facilitate studies to uncover the mechanisms of chronic hyperglycemia and ECM remodeling and guide disease target identification.

摘要

糖尿病肾病由慢性(或未得到控制的)高血糖症引发,是肾衰竭的主要原因。肾脏的肾小球足细胞对糖尿病损伤及随后的不可逆性退变高度敏感。我们构建了一种源自人诱导多能干细胞(iPS细胞)的糖尿病性足细胞病模型,以研究疾病的发病机制和进展。该模型重现了蛋白尿出现之前足细胞病的特征,包括足突回缩和足细胞减少(从细胞外基质(ECM)脱离)。此外,高血糖诱导的足细胞损伤加剧了ECM的重塑。具体而言,成熟足细胞异常增加了通常在胚胎肾小球中大量存在的胶原蛋白(IV)α1α1α2的表达并过度沉积。这种胶原蛋白(IV)失衡与谱系特异性蛋白的失调、ECM的结构异常以及足细胞减少同时出现——这是一种内皮细胞不具备的机制,且有别于药物诱导的损伤。有趣的是,将高血糖损伤的足细胞接种在从健康足细胞分离的脱细胞ECM支架上,可减轻突触素(一种与足细胞健康相关的机械敏感蛋白)的丢失。这些结果表明,源自人iPS细胞的足细胞有助于开展研究,以揭示慢性高血糖和ECM重塑的机制,并指导疾病靶点的识别。

https://cdn.ncbi.nlm.nih.gov/pmc/blobs/70c7/11585791/fd6ac4bf4bbe/gr1.jpg

文献AI研究员

20分钟写一篇综述,助力文献阅读效率提升50倍。

立即体验

用中文搜PubMed

大模型驱动的PubMed中文搜索引擎

马上搜索

文档翻译

学术文献翻译模型,支持多种主流文档格式。

立即体验