Suppr超能文献

STATs先天性缺陷中的感染

Infections in Inborn Errors of STATs.

作者信息

Wang Chen, Freeman Alexandra F

机构信息

Laboratory of Clinical Immunology and Microbiology, National Institute of Allergy and Infectious Diseases, National Institutes of Health, Bethesda, MD 20892, USA.

出版信息

Pathogens. 2024 Nov 1;13(11):955. doi: 10.3390/pathogens13110955.

Abstract

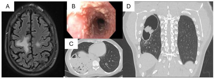
The Janus kinase (JAK)-signal transducer and activator of transcription (STAT) pathway is highly conserved and essential for numerous biological functions triggered by extracellular signals, including cell proliferation, metabolism, immune response, and inflammation. Defects in STATs, either loss-of-function or gain-of-function defects, lead to a broad spectrum of clinical phenotypes in humans, including a wide range of infectious complications. The susceptibility to pathogens can stem from defects in immune cells within the hematopoietic compartment, impaired barrier functions of non-hematopoietic compartment, or a combination of both, depending on the specific STAT defect as well as the pathogen exposure history. Effective management involves antimicrobial prophylaxis tailored to the patient's infection risk and improving disease control with targeted therapies and/or hematopoietic cell transplantation.

摘要

Janus激酶(JAK)-信号转导子和转录激活子(STAT)通路高度保守,对于细胞外信号触发的多种生物学功能至关重要,包括细胞增殖、代谢、免疫反应和炎症。STATs的缺陷,无论是功能丧失还是功能获得性缺陷,都会导致人类出现广泛的临床表型,包括多种感染并发症。对病原体的易感性可能源于造血系统内免疫细胞的缺陷、非造血系统屏障功能受损,或两者兼而有之,这取决于特定的STAT缺陷以及病原体暴露史。有效的管理包括根据患者的感染风险进行抗菌预防,并通过靶向治疗和/或造血细胞移植改善疾病控制。

https://cdn.ncbi.nlm.nih.gov/pmc/blobs/e25e/11597637/bfc4f0a83c3d/pathogens-13-00955-g001.jpg

文献AI研究员

20分钟写一篇综述,助力文献阅读效率提升50倍。

立即体验

用中文搜PubMed

大模型驱动的PubMed中文搜索引擎

马上搜索

文档翻译

学术文献翻译模型,支持多种主流文档格式。

立即体验