Suppr超能文献

右心嗜酸性粒细胞浸润一例:诊断与管理考量

A Case of Eosinophilic Infiltration of the Right Heart: Diagnostic and Management Considerations.

作者信息

Lodge Jeorghino, Brodison Adrian, Abushahba Galal

机构信息

Department of Cardiology, Royal Lancaster Infirmary, Lancaster, United Kingdom.

出版信息

Heart Views. 2024 Apr-Jun;25(2):98-102. doi: 10.4103/heartviews.heartviews_96_23. Epub 2024 Oct 10.

Abstract

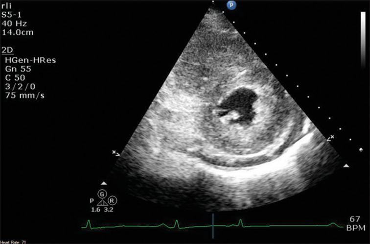
Loeffler first described "fibroplastic parietal endocarditis with blood eosinophilia" in 1936. This we now know refers to the most common cardiac manifestation of an uncommon condition, the so-called hypereosinophilic syndromes. This condition typically results in a restrictive cardiomyopathy affecting the left heart, but here, we present an unusual case of a 65-year-old woman with chronic hypereosinophilia of at least 2 years, who presented with right heart failure as a result of eosinophilic endomyocardial infiltration of her right ventricle. We explore the diagnostic pathway and look at the literature on management.

摘要

勒夫勒于1936年首次描述了“伴有血液嗜酸性粒细胞增多的纤维增生性心内膜炎”。我们现在知道,这指的是一种罕见病症(即所谓的嗜酸性粒细胞增多综合征)最常见的心脏表现。这种病症通常会导致影响左心的限制性心肌病,但在此,我们报告一例不寻常的病例,一名65岁女性,患有至少2年的慢性嗜酸性粒细胞增多症,因右心室嗜酸性粒细胞性心肌内膜浸润而出现右心衰竭。我们探讨了诊断途径并查阅了有关治疗的文献。

https://cdn.ncbi.nlm.nih.gov/pmc/blobs/d09c/11604205/a8a74f2ec778/HV-25-98-g001.jpg

文献AI研究员

20分钟写一篇综述,助力文献阅读效率提升50倍。

立即体验

用中文搜PubMed

大模型驱动的PubMed中文搜索引擎

马上搜索

文档翻译

学术文献翻译模型,支持多种主流文档格式。

立即体验