Suppr超能文献

焦亡细胞尸体被富含丝状肌动蛋白的丝状伪足所覆盖,这些丝状伪足可激活进入的树突状细胞中的CLEC9A信号通路。

Pyroptotic cell corpses are crowned with F-actin-rich filopodia that engage CLEC9A signaling in incoming dendritic cells.

作者信息

Holley Caroline L, Monteleone Mercedes, Fisch Daniel, Libert Alexandre E S, Ju Robert J, Choi Joon H, Condon Nicholas D, Emming Stefan, Crawford Joanna, Lawrence Grace M E P, Coombs Jared R, Lefevre James G, Bajracharya Rinie, Lahoud Mireille H, Yap Alpha S, Hamilton Nicholas, Stehbens Samantha J, Kagan Jonathan C, Ariotti Nicholas, Burgener Sabrina S, Schroder Kate

机构信息

Institute for Molecular Bioscience, University of Queensland, Brisbane, Queensland, Australia.

Max Planck Institute for Infection Biology, Berlin, Germany.

出版信息

Nat Immunol. 2025 Jan;26(1):42-52. doi: 10.1038/s41590-024-02024-3. Epub 2024 Dec 4.

Abstract

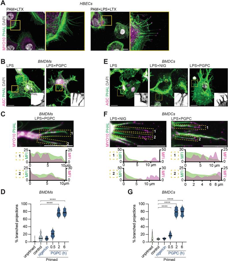
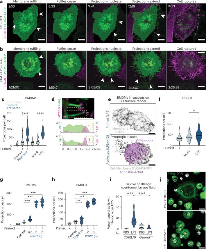
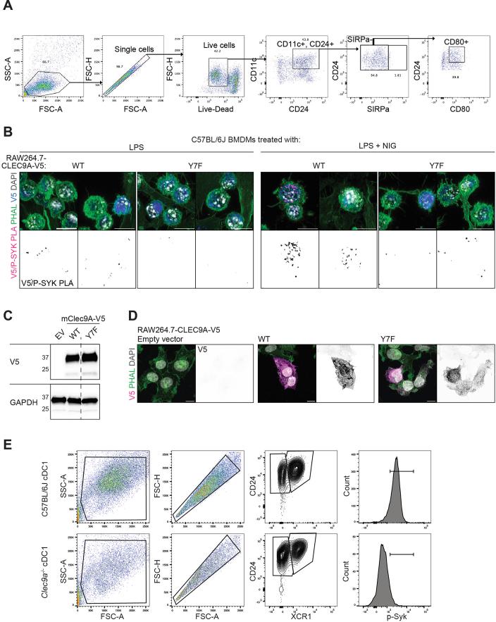
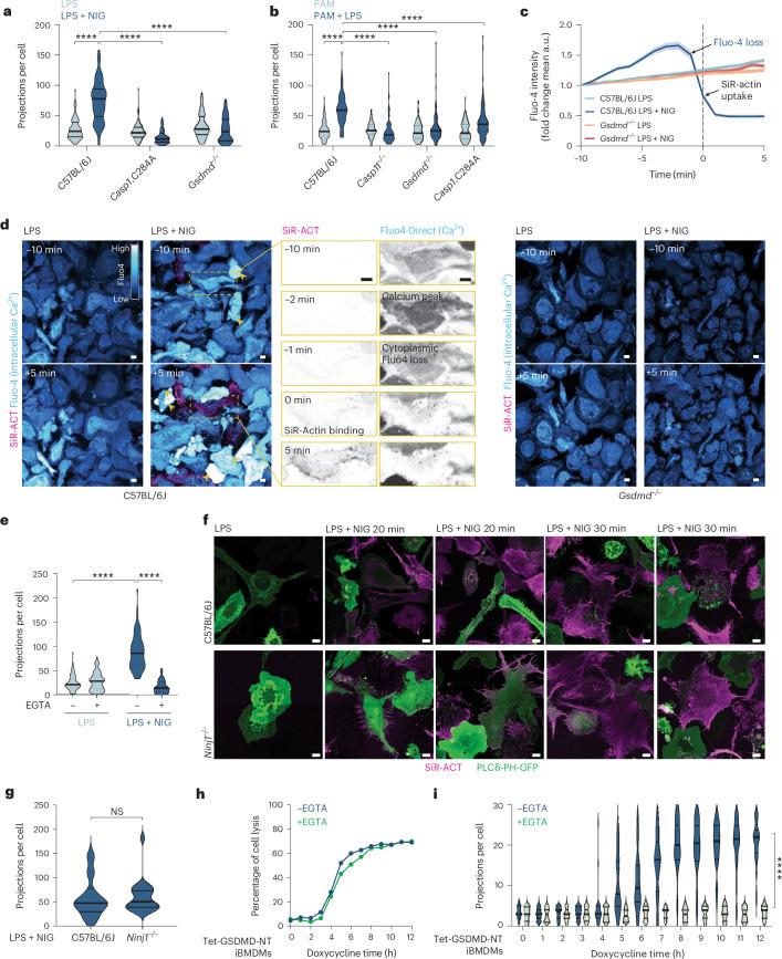
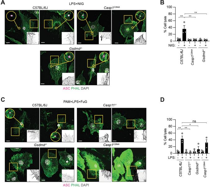
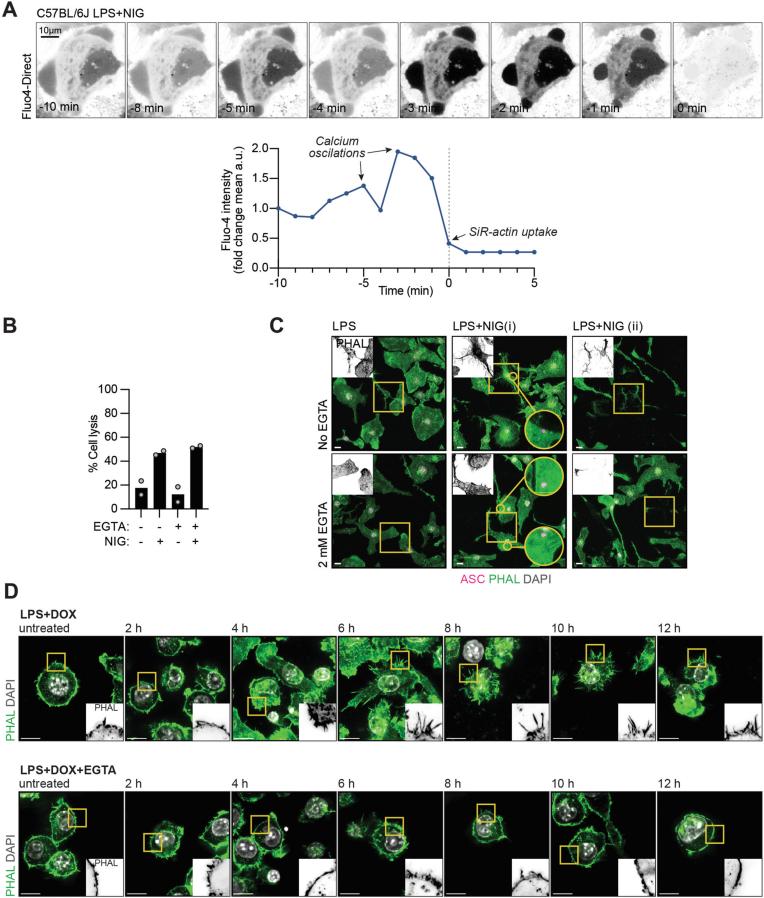
While apoptosis dismantles the cell to enforce immunological silence, pyroptotic cell death provokes inflammation. Little is known of the structural architecture of cells undergoing pyroptosis, and whether pyroptotic corpses are immunogenic. Here we report that inflammasomes trigger the Gasdermin-D- and calcium-dependent eruption of filopodia from the plasma membrane minutes before pyroptotic cell rupture, to crown the resultant corpse with filopodia. As a rich store of F-actin, pyroptotic filopodia are recognized by dendritic cells through the F-actin receptor, CLEC9A (DNGR1). We propose that cells assemble filopodia before cell rupture to serve as a posthumous mark for a cell that has died by gasdermin-induced pyroptosis, or MLKL-induced necroptosis, for recognition by dendritic cells. This study reveals the spectacular morphology of pyroptosis and identifies a mechanism by which inflammasomes induce pyroptotic cells to construct a de novo alarmin that activates dendritic cells via CLEC9A, which coordinates the transition from innate to adaptive immunity.

摘要

细胞凋亡会拆解细胞以实现免疫沉默,而细胞焦亡则会引发炎症。对于经历细胞焦亡的细胞的结构架构,以及细胞焦亡尸体是否具有免疫原性,人们所知甚少。在此我们报告,炎性小体在细胞焦亡破裂前几分钟触发Gasdermin-D和钙依赖性的丝状伪足从质膜喷发,使产生的尸体被丝状伪足覆盖。作为丰富的F-肌动蛋白储存库,细胞焦亡丝状伪足被树突状细胞通过F-肌动蛋白受体CLEC9A(DNGR1)识别。我们提出,细胞在破裂前组装丝状伪足,作为因Gasdermin诱导的细胞焦亡或MLKL诱导的坏死性凋亡而死亡的细胞的死后标记,以供树突状细胞识别。这项研究揭示了细胞焦亡的惊人形态,并确定了一种机制,炎性小体通过该机制诱导细胞焦亡细胞构建一种全新的警报素,该警报素通过CLEC9A激活树突状细胞,从而协调从先天免疫到适应性免疫的转变。

https://cdn.ncbi.nlm.nih.gov/pmc/blobs/2e6b/11695261/b61f4a0fba14/41590_2024_2024_Fig1_HTML.jpg

文献AI研究员

20分钟写一篇综述,助力文献阅读效率提升50倍。

立即体验

用中文搜PubMed

大模型驱动的PubMed中文搜索引擎

马上搜索

文档翻译

学术文献翻译模型,支持多种主流文档格式。

立即体验