Suppr超能文献

发酵石榴皮多酚对凡纳滨对虾生长性能、免疫反应、肝胰腺健康及抗病力的影响()。 (注:括号内原文似乎不完整)

Effects of Fermented Pomegranate Peel Polyphenols on the Growth Performance, Immune Response, Hepatopancreatic Health, and Disease Resistance in White Shrimp ().

作者信息

Yu Zhoulin, Liu Guangye, Li Sijie, Hong Yucong, Zhao Shuyan, Zhou Meng, Tan Xiaohong

机构信息

Innovative Institute of Animal Healthy Breeding, College of Animal Sciences and Technology, Zhongkai University of Agriculture and Engineering, Guangzhou, China.

Guangdong Provincial Key Laboratory of Aquatic Larvae Feed, Guangdong Yuequn Biotechnology Co. Ltd., Jieyang, China.

出版信息

Aquac Nutr. 2024 Nov 27;2024:9966772. doi: 10.1155/anu/9966772. eCollection 2024.

Abstract

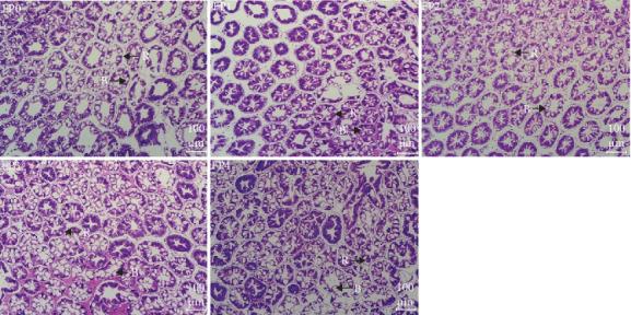
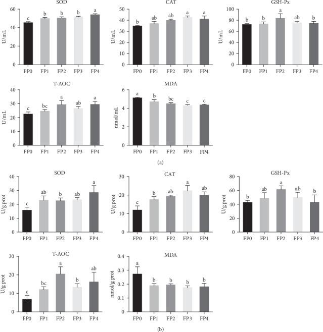
This study evaluated the growth performance, immune response, hepatopancreatic health, and disease resistance in fed diets supplemented with fermented pomegranate peel polyphenols (FPPP) for 45 days. Five diets were formulated to contain various levels of FPPP: FP0 (no FPPP), FPPP inclusion at 0.015% (FP1), 0.030% (FP2), 0.060% (FP3), and 0.120% (FP4). The results indicated there were no significant variations in weight gain rate (WGR), specific growth rate (SGR), and feed conversion rate (FCR) of shrimp in all treatment groups ( > 0.05), but the survival (SR) of shrimp was significantly higher in all groups with the addition of FPPP ( < 0.05). Compared with FP0 group, the contents of total protein (TP) and globulin (GLB) in serum biochemical indexes of FP3 and FP4 groups were significantly increased, and the content of blood urea nitrogen (BUN) was significantly decreased ( < 0.05). Compared with FP0 group, the activities of superoxide dismutase (SOD), catalase (CAT), alkaline phosphatase (AKP), acid phosphatase (ACP), and lysozyme (LZM) in the hepatopancreas and serum of FP3 and FP4 groups were significantly increased ( < 0.05). Similarly, the activities of glutathione peroxidase (GSH-Px), total antioxidant capacity (T-AOC), and phenoloxidase (PO) in the hepatopancreas and serum of FP2 group were significantly higher than those of FP0 group ( < 0.05). In addition, the content of malondialdehyde (MDA) in the hepatopancreas and serum of shrimp in FPPP-added groups was decreased ( < 0.05). Compared with FP0 group, the expression levels of SOD, CAT, glutathione S-transferase (GST), LZM, prophenoloxidase (ProPO), penaeidin-3 (Pen3), Crustin, immune deficiency (Imd), Toll, and Relish genes were significantly upregulated in the hepatopancreas of shrimp in FP3 and FP4 groups ( < 0.05). Additionally, increasing the addition level of FPPP resulted in a more compact hepatosomal arrangement of the shrimp's hepatopancreas, a more visible star-shaped lumen structure, and a significantly higher number of B cells. Finally, the cumulative SR of shrimp in FPPP groups was significantly higher than that in FP0 group after 7 days of infection with ( < 0.05). In summary, dietary supplementation of FPPP can improve SR, immunity, and hepatopancreatic health and resistance to of .

摘要

本研究评估了在饲料中添加发酵石榴皮多酚(FPPP)45天对虾的生长性能、免疫反应、肝胰腺健康和抗病能力的影响。配制了五种饲料,分别含有不同水平的FPPP:FP0(不添加FPPP)、FPPP添加量为0.015%(FP1)、0.030%(FP2)、0.060%(FP3)和0.120%(FP4)。结果表明,所有处理组虾的增重率(WGR)、特定生长率(SGR)和饲料转化率(FCR)均无显著差异(P>0.05),但添加FPPP的所有组虾的存活率(SR)显著更高(P<0.05)。与FP0组相比,FP3和FP4组血清生化指标中总蛋白(TP)和球蛋白(GLB)含量显著增加,血尿素氮(BUN)含量显著降低(P<0.05)。与FP0组相比,FP3和FP4组肝胰腺和血清中超氧化物歧化酶(SOD)、过氧化氢酶(CAT)、碱性磷酸酶(AKP)、酸性磷酸酶(ACP)和溶菌酶(LZM)的活性显著增加(P<0.05)。同样,FP2组肝胰腺和血清中谷胱甘肽过氧化物酶(GSH-Px)、总抗氧化能力(T-AOC)和酚氧化酶(PO)的活性显著高于FP0组(P<0.05)。此外,添加FPPP组虾的肝胰腺和血清中丙二醛(MDA)含量降低(P<0.05)。与FP0组相比,FP3和FP4组虾肝胰腺中SOD、CAT、谷胱甘肽S-转移酶(GST)、LZM、前酚氧化酶(ProPO)、对虾抗菌肽-3(Pen3)、甲壳素、免疫缺陷(Imd)、Toll和Relish基因的表达水平显著上调(P<0.05)。此外,增加FPPP的添加水平导致虾肝胰腺的肝小叶排列更紧密,星状管腔结构更明显,B细胞数量显著增加。最后,感染弧菌7天后,FPPP组虾的累积SR显著高于FP0组(P<0.05)。综上所述,在饲料中添加FPPP可提高凡纳滨对虾的存活率、免疫力、肝胰腺健康和对弧菌的抗性。

https://cdn.ncbi.nlm.nih.gov/pmc/blobs/0ffa/11617047/ddb04fdeb20b/ANU2024-9966772.001.jpg

文献AI研究员

20分钟写一篇综述,助力文献阅读效率提升50倍。

立即体验

用中文搜PubMed

大模型驱动的PubMed中文搜索引擎

马上搜索

文档翻译

学术文献翻译模型,支持多种主流文档格式。

立即体验