Suppr超能文献

探索生咖啡提取物的营养和生物学特性:水提取法与酶提取法的比较研究。

Exploring the nutritional and biological properties of green coffee extracts: A comparative study of aqueous and enzymatic extraction processes.

作者信息

Almeida Flávia Souza, Dias Fernanda Furlan Goncalves, Ford Matthew William, Bogusz Junior Stanislau, Sato Ana Carla Kawazoe, de Moura Bell Juliana Maria Leite Nobrega

机构信息

Department of Food Science and Technology, University of California, Davis, One Shields Avenue, Davis, CA, 95616, United States.

Department of Food Engineering and Technology, School of Food Engineering, University of Campinas (UNICAMP), 13083-862, Campinas, SP, Brazil.

出版信息

Curr Res Food Sci. 2024 Oct 29;9:100890. doi: 10.1016/j.crfs.2024.100890. eCollection 2024.

Abstract

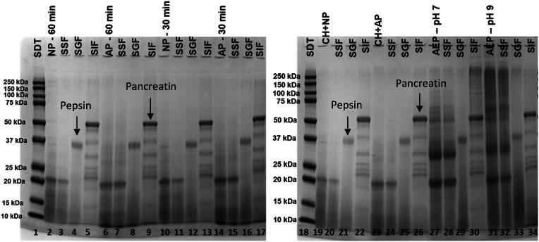
The effects of aqueous (AEP) and enzyme-assisted aqueous extraction processes (EAEP) on the biological and nutritional properties of green coffee extracts (protein and antioxidant-rich fraction) were investigated. All extracts exhibited high protein digestibility (>98%), regardless of the pH and use of enzymes during extraction, probably due to the low molecular weight of coffee proteins. Raising extraction pH from 7.0 to 9.0 resulted in extracts with lower concentrations of caffeine and some phenolic compounds such as chlorogenic and cinnamic acids, as well as catechin and epicatechin. This led to a reduction in the antioxidant activity of the extracts obtained at alkaline pH (AEP - pH 9.0). Overall, higher phenolic and caffeine extractability was achieved at neutral pH (AEP - pH 7.0), with no observed improvement in extraction yields when carbohydrases and/or proteases were employed. Coffee extracts generated by AEP at pH 7.0 exhibited the highest lipase inhibitory activity (66%), primarily attributed to their higher chlorogenic acid concentration. Conversely, EAEP extracts exhibited higher angiotensin-converting enzyme inhibition (up to 85%) compared to AEP extracts (68.5-74.3%). This strong inhibitory activity is likely related to the presence of both phenolic compounds (mainly chlorogenic acid) and smaller peptides. Nevertheless, all extracts exhibited low effectiveness for α-glucosidase inhibition (≤14%) and antimicrobial activity against and . The current research underscores the feasibility of modulating the composition of green coffee extracts using sustainable and scalable AEP and EAEP, paving the way for developing tailored extracts with specific biological properties.

摘要

研究了水相萃取(AEP)和酶辅助水相萃取工艺(EAEP)对绿咖啡提取物(富含蛋白质和抗氧化剂的部分)生物学和营养特性的影响。所有提取物均表现出高蛋白消化率(>98%),无论萃取过程中的pH值以及是否使用酶,这可能是由于咖啡蛋白分子量较低。将萃取pH值从7.0提高到9.0会导致提取物中咖啡因和一些酚类化合物(如绿原酸和肉桂酸以及儿茶素和表儿茶素)的浓度降低。这导致在碱性pH值(AEP - pH 9.0)下获得的提取物的抗氧化活性降低。总体而言,在中性pH值(AEP - pH 7.0)下酚类和咖啡因的萃取率更高,使用碳水化合物酶和/或蛋白酶时未观察到萃取产率的提高。AEP在pH 7.0时生成的咖啡提取物表现出最高的脂肪酶抑制活性(66%),这主要归因于其较高的绿原酸浓度。相反,与AEP提取物(68.5 - 74.3%)相比,EAEP提取物表现出更高的血管紧张素转换酶抑制率(高达85%)。这种强大的抑制活性可能与酚类化合物(主要是绿原酸)和较小肽段的存在有关。然而,所有提取物对α-葡萄糖苷酶的抑制效果均较低(≤14%),并且对[具体微生物]和[具体微生物]没有抗菌活性。当前的研究强调了使用可持续且可扩展的AEP和EAEP调节绿咖啡提取物成分的可行性,为开发具有特定生物学特性的定制提取物铺平了道路。

https://cdn.ncbi.nlm.nih.gov/pmc/blobs/c0ce/11615923/8ead5becd24d/ga1.jpg

文献AI研究员

20分钟写一篇综述,助力文献阅读效率提升50倍。

立即体验

用中文搜PubMed

大模型驱动的PubMed中文搜索引擎

马上搜索

文档翻译

学术文献翻译模型,支持多种主流文档格式。

立即体验