Suppr超能文献

脱细胞羊膜对肩袖修复中肌腱-骨整合的影响:一项对比性大鼠模型研究。

Effect of Decellularized Amniotic Membrane on the Tendon-Bone Integration in Rotator Cuff Repair: A Comparative Rat Model Study.

作者信息

Wang Jiangtao, Li Chunbao, Zhang Jiating, An Mingyang, Zhao Gang, Stark Samuel D, Liu Yujie

机构信息

Department of Orthopedics, The Fourth Medical Center of Chinese PLA General Hospital, Beijing, China.

Chinese PLA Medical School, Beijing, China.

出版信息

Orthop Surg. 2025 Feb;17(2):575-582. doi: 10.1111/os.14316. Epub 2024 Dec 11.

Abstract

OBJECTIVE

Rotator cuff retear after arthroscopy repair is a difficult complication that is often due to poor tendon-bone healing. Decellularized amniotic membrane (DAM) has a variety of bioactive substances which have great potential to enhance tendon-bone healing. However, DAM has three layers, of which the middle basement layer is dense and thick. Whether DAM will hinder tendon-bone healing of rotator cuff after surgical repair is unclear. Our study aims to investigate the effect of DAM on tendon-bone healing of the rotator cuff after surgical repair.

METHODS

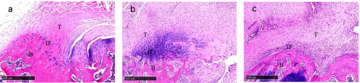
Thirty-three Sprague-Dawley (SD) rats were selected to establish unilateral supraspinatus (ST) tear models and were randomly treated with only suturing repair (OSR group, n = 11), and suturing repair with DAM placed between the ST and bone (DAM group, n = 11). In the normal control group (NCT group, n = 11), the supraspinatus was only exposed but not detached or repaired. After 4 weeks the rats were sacrificed. The assessment of specimens was conducted by micro-CT analysis, histopathological evaluation, and biomechanical testing.

RESULTS

The DAM group had a significantly higher ultimate load to failure, new bone volume, and histological evaluation at 4 weeks after surgery than the OSR group. When comparing the DAM group to the NCT group, the DAM group performed slightly worse in biomechanical testing, micro-CT analysis, and histological evaluation.

CONCLUSION

When placed between tendon and bone at the rotator cuff footprint, DAM, despite its dense and thick basement layer, does not impede tendon-bone healing after surgical repair for rotator cuff injury, but rather promotes increased healing quality and biomechanical properties. However, the healing quality and biomechanical properties are still lower than that of the normal rotator cuff, and further improvement should be made to the application strategy of a DAM.

摘要

目的

关节镜修复术后肩袖再撕裂是一种棘手的并发症,通常归因于肌腱-骨愈合不良。脱细胞羊膜(DAM)含有多种生物活性物质,在促进肌腱-骨愈合方面具有巨大潜力。然而,DAM有三层结构,其中中间的基底膜致密且厚实。DAM在手术修复后是否会阻碍肩袖的肌腱-骨愈合尚不清楚。本研究旨在探讨DAM对肩袖手术修复后肌腱-骨愈合的影响。

方法

选取33只Sprague-Dawley(SD)大鼠建立单侧冈上肌(ST)撕裂模型,随机分为单纯缝合修复组(OSR组,n = 11)和在ST与骨之间放置DAM的缝合修复组(DAM组,n = 11)。正常对照组(NCT组,n = 11)仅暴露冈上肌,不进行分离或修复。4周后处死大鼠。通过显微CT分析、组织病理学评估和生物力学测试对标本进行评估。

结果

DAM组术后4周的最大破坏载荷、新骨体积和组织学评估均显著高于OSR组。将DAM组与NCT组比较,DAM组在生物力学测试、显微CT分析和组织学评估方面表现稍差。

结论

当DAM置于肩袖附着点的肌腱与骨之间时,尽管其基底膜致密且厚实,但在肩袖损伤手术修复后不会阻碍肌腱-骨愈合,反而能提高愈合质量和生物力学性能。然而,其愈合质量和生物力学性能仍低于正常肩袖,DAM的应用策略应进一步改进。

https://cdn.ncbi.nlm.nih.gov/pmc/blobs/c13f/11787985/c86a690b7bd3/OS-17-575-g006.jpg

文献AI研究员

20分钟写一篇综述,助力文献阅读效率提升50倍。

立即体验

用中文搜PubMed

大模型驱动的PubMed中文搜索引擎

马上搜索

文档翻译

学术文献翻译模型,支持多种主流文档格式。

立即体验