Suppr超能文献

表达与阿尔茨海默病相关的风险因素TREM2 R47H变体的雄性和雌性小鼠的性激素缺乏以性别和基因型依赖的方式影响肌肉骨骼系统。

Sex hormone deficiency in male and female mice expressing the Alzheimer's disease-associated risk-factor TREM2 R47H variant impacts the musculoskeletal system in a sex- and genotype-dependent manner.

作者信息

Pianeta Roquelina, Deosthale Padmini, Sanz Natasha, Kohler Rachel, Okpara Chiebuka, Arnett Matthew, Asad Iqra, Rogers Amber, Gerbig Madison, Essex Alyson, Liu Ziyue, Wallace Joseph M, Plotkin Lilian I

机构信息

Department of Anatomy, Cell Biology & Physiology, Indiana University School of Medicine, Indianapolis, IN 46202, United States.

Indiana Center for Musculoskeletal Health, Indiana University School of Medicine, Indianapolis, IN 46202, United States.

出版信息

JBMR Plus. 2024 Nov 13;9(1):ziae144. doi: 10.1093/jbmrpl/ziae144. eCollection 2025 Jan.

Abstract

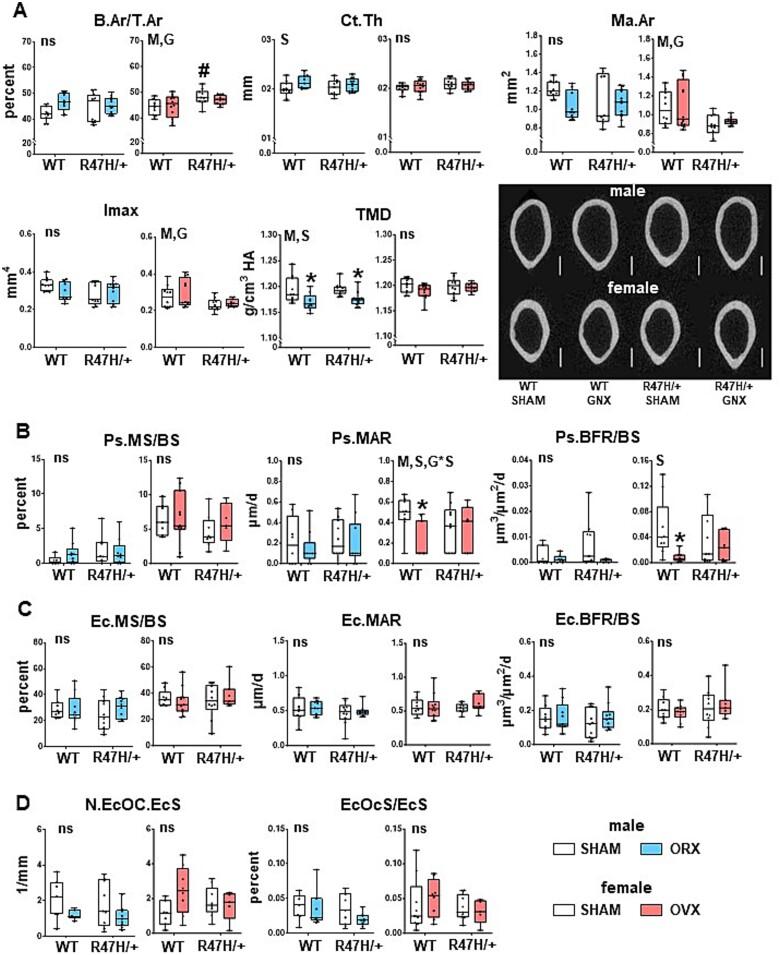
The R47H variant of the triggering receptor expressed on myeloid cells 2 (TREM2) is a risk factor for Alzheimer's disease in humans and leads to lower bone mass accrual in female but not male 12-mo-old mice. To determine whether, as with aging, gonadectomy results in sex-specific musculoskeletal effects, gonad removal or SHAM surgery was performed in 4-mo-old TREM2 mice and WT male and female littermates ( = 10-12/group), with sexes analyzed separately. Body weight was lower in males, but higher in females after gonadectomy, independently of their genotype. Gonadectomy also leads to decreased BMD in males at all sites and in the whole body (total) and spine in female mice for both genotypes. Total and femur BMD was lower in gonadectomized male mice 6-wk post-surgery, independently of the genotype. On the other hand, BMD was only lower in ovariectomized WT but not TREM2 mice in all sites measured at this time point. Bone formation and resorption marker levels were not affected by orchiectomy, whereas CTX was higher 3 wk after surgery and P1NP showed a tendency toward lower values at the 6-wk time point only in ovariectomized WT mice. Micro-CT analyses showed no differences resulting from gonadectomy in structural parameters in femoral cortical bone for either sex, but lower tissue mineral density in males of either genotype 6-wk post-surgery. Nevertheless, biomechanical properties were overall lower in gonadectomized males of either genotype, and only for WT ovariectomized mice. Distal femur cancellous bone structure was also affected by gonadectomy in a genotype- and sex-dependent manner, with genotype-independent changes in males, and only in WT female mice. Thus, expression of the TREM2 R47H variant minimally alters the impact of gonadectomy in the musculoskeletal system in males, whereas it partially ameliorates the consequences of ovariectomy in female mice.

摘要

髓系细胞触发受体2(TREM2)的R47H变体是人类阿尔茨海默病的一个风险因素,并且在12月龄雌性而非雄性小鼠中导致骨量积累降低。为了确定与衰老一样,性腺切除术是否会导致性别特异性的肌肉骨骼效应,对4月龄的TREM2小鼠以及野生型(WT)雄性和雌性同窝小鼠(每组10 - 12只)进行了性腺切除或假手术,并分别对性别进行分析。性腺切除术后,雄性体重降低,而雌性体重升高,这与它们的基因型无关。对于两种基因型,性腺切除术还导致雄性所有部位以及雌性小鼠全身(总体)和脊柱的骨密度降低。术后6周,去势雄性小鼠的总体和股骨骨密度降低,与基因型无关。另一方面,在该时间点测量的所有部位,仅野生型去卵巢小鼠的骨密度降低,而TREM2小鼠未降低。骨形成和骨吸收标志物水平不受睾丸切除术影响,而在去卵巢的野生型小鼠中,术后3周骨钙素(CTX)升高,仅在术后6周时I型前胶原N端前肽(P1NP)有降低趋势。显微CT分析显示,性腺切除术对两性股骨皮质骨的结构参数没有差异,但术后6周两种基因型雄性的组织矿物质密度较低。然而,两种基因型的去势雄性的生物力学性能总体较低,且仅野生型去卵巢小鼠如此。远端股骨松质骨结构也受到性腺切除术的基因型和性别依赖性影响,雄性有与基因型无关变化,且仅野生型雌性小鼠有此变化。因此,TREM2 R47H变体的表达对雄性肌肉骨骼系统中性腺切除术影响的改变最小,而在雌性小鼠中它部分改善了去卵巢的后果。

https://cdn.ncbi.nlm.nih.gov/pmc/blobs/40ad/11646090/ee4f3c6ef25a/ziae144f1.jpg

文献AI研究员

20分钟写一篇综述,助力文献阅读效率提升50倍。

立即体验

用中文搜PubMed

大模型驱动的PubMed中文搜索引擎

马上搜索

文档翻译

学术文献翻译模型,支持多种主流文档格式。

立即体验