Suppr超能文献

新辅助治疗对三阴性乳腺癌中PD-L1表达的影响及其与临床病理因素的相关性

Impact of Neoadjuvant Therapy on PD-L1 Expression in Triple-Negative Breast Cancer and Correlation with Clinicopathological Factors.

作者信息

Ilieva Nevena, Pencheva Mina, Hadzhiev Hristo, Tashkova Desislava, Daskalova Elena, Georgiev Petar, Genova Sylvia

机构信息

Department of General and Clinical Pathology, Faculty of Medicine, Medical University of Plovdiv, Bul. Vasil Aprilov 15A, 4000 Plovdiv, Bulgaria.

Clinical Pathology Department, Complex Oncology Center Plovdiv, Bul. Vasil Aprilov 15A, 4000 Plovdiv, Bulgaria.

出版信息

Diagnostics (Basel). 2024 Nov 27;14(23):2672. doi: 10.3390/diagnostics14232672.

Abstract

BACKGROUND

This study aims to deliver more insights on the impact of neoadjuvant treatment on Pd-L1 expression and to evaluate its correlation with clinicopathological factors.

METHODS

We reviewed 88 TNBC cases for the period 2021-2023. Data on age, tumor size, stage, and treatment were collected. Histological slides were assessed for subtype, grade, and TILs. A total of 48 received neoadjuvant treatment. HER2 and Ki67 were evaluated via immunohistochemistry. PD-L1 expression was tested on primary and residual tumors. Statistical analysis was performed using IBM SPSS ( < 0.05).

RESULTS

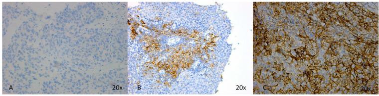
In this study, PD-L1 positive expression was found in 44.3% of primary tumors, with 52.9% of initially positive cases losing expression post-treatment. TILs were significantly higher in PD-L1-positive tumors (mean 41.79% vs. 27.55%, = 0.001). A notable correlation was found between PD-L1 expression and Ki-67 proliferation index, with PD-L1-positive tumors having a median Ki-67 of 64.49 compared to 52.86 in negative cases ( = 0.015). Neoadjuvant immunotherapy led to a lower mean residual cancer burden (0.95 vs. 2.55, = 0.002) compared to chemotherapy alone. Higher Ki-67 levels (≥50%) were associated with better treatment outcomes, showing a mean RCB score of 1.60 versus 3.16 for lower levels ( = 0.022). HER2-negative cases had a higher prevalence of favorable pathological response (54.5%) compared to HER2-low tumors (25%, = 0.048), because of the strong correlation to high proliferative index.

CONCLUSIONS

In conclusion, PD-L1 expression in TNBC shows significant discordance post-treatment, highlighting the need for routine testing and further research on predictive biomarkers.

摘要

背景

本研究旨在更深入了解新辅助治疗对程序性死亡受体配体1(Pd-L1)表达的影响,并评估其与临床病理因素的相关性。

方法

我们回顾了2021年至2023年期间的88例三阴性乳腺癌(TNBC)病例。收集了年龄、肿瘤大小、分期和治疗的数据。对组织学切片进行亚型、分级和肿瘤浸润淋巴细胞(TILs)评估。共有48例接受了新辅助治疗。通过免疫组织化学评估人表皮生长因子受体2(HER2)和Ki67。在原发性肿瘤和残留肿瘤上检测Pd-L1表达。使用IBM SPSS进行统计分析(<0.05)。

结果

在本研究中,44.3%的原发性肿瘤中发现Pd-L1阳性表达,52.9%的初始阳性病例在治疗后失去表达。Pd-L1阳性肿瘤中的TILs显著更高(平均41.79%对27.55%,=0.001)。发现Pd-L1表达与Ki-67增殖指数之间存在显著相关性,Pd-L1阳性肿瘤的Ki-67中位数为64.49,而阴性病例为52.86(=0.015)。与单纯化疗相比,新辅助免疫治疗导致较低的平均残留癌负担(0.95对2.55,=0.002)。较高的Ki-67水平(≥50%)与更好的治疗结果相关,较低水平时平均残留癌负担(RCB)评分为1.60,而较高水平时为3.16(=0.022)。由于与高增殖指数的强相关性,HER2阴性病例的良好病理反应患病率(54.5%)高于HER2低表达肿瘤(25%,=0.048)。

结论

总之,TNBC中的Pd-L1表达在治疗后显示出显著不一致,突出了对预测生物标志物进行常规检测和进一步研究的必要性。

https://cdn.ncbi.nlm.nih.gov/pmc/blobs/2581/11639797/738c3fde2611/diagnostics-14-02672-g001.jpg

文献AI研究员

20分钟写一篇综述,助力文献阅读效率提升50倍。

立即体验

用中文搜PubMed

大模型驱动的PubMed中文搜索引擎

马上搜索

文档翻译

学术文献翻译模型,支持多种主流文档格式。

立即体验