Suppr超能文献

花生壳提取物通过调节肠道菌群失调和抑制炎症免疫反应改善糖尿病小鼠的血糖稳态指标

Peanut Shell Extract Improves Markers of Glucose Homeostasis in Diabetic Mice by Modulating Gut Dysbiosis and Suppressing Inflammatory Immune Response.

作者信息

Bender Matthew, Santos Julianna M, Dufour Jannette M, Deshmukh Hemalata, Trasti Scott, Elmassry Moamen M, Shen Chwan-Li

机构信息

Department of Medical Education, Texas Tech University Health Sciences Center, Lubbock, TX 79430, USA.

Department of Pathology, Texas Tech University Health Sciences Center, Lubbock, TX 79430, USA.

出版信息

Nutrients. 2024 Nov 30;16(23):4158. doi: 10.3390/nu16234158.

Abstract

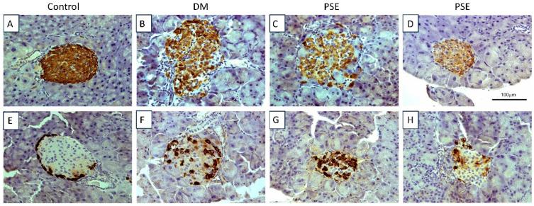
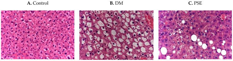
BACKGROUND/OBJECTIVE: There is strong evidence that the tripartite interaction between glucose homeostasis, gut microbiota, and the host immune system plays a critical role in the pathophysiology of type 2 diabetes mellitus (T2DM). We reported previously that peanut shell extract (PSE) improves mitochondrial function in db/db mice by suppressing oxidative stress and inflammation in the liver, brain, and white adipose tissue. This study evaluated the impacts of PSE supplementation on glucose homeostasis, liver histology, intestinal microbiome composition, and the innate immune response in diabetic mice.

METHODS

Fourteen db/db mice were randomly assigned to a diabetic group (DM, AIN-93G diet) and a PSE group (1% wt/wt PSE in the AIN-93G diet) for 5 weeks. Six C57BL/6J mice received the AIN-93G diet for 5 weeks (control group). Parameters of glucose homeostasis included serum insulin, HOMA-IR, HOMA-B, and the analysis of pancreatic tissues for insulin and glucagon. We assessed the innate immune response in the colon and liver using a microarray. Gut microbiome composition of cecal contents was analyzed using 16S rRNA gene amplicon sequencing.

RESULTS

PSE supplementation improved glucose homeostasis (decreased serum insulin concentration, HOMA-IR, and HOMA-B) and reduced hepatic lipidosis in diabetic mice. PSE supplementation reversed DM-induced shifts in the relative abundance of amplicon sequence variants of , , , and . Relative to the DM mice, the PSE group had suppressed gene expression levels of Cd8α, Csf2, and Irf23 and increased expression levels of Tyk2, Myd88, and Gusb in the liver.

CONCLUSIONS

This study demonstrates that PSE supplementation improves T2DM-associated disorders of diabetic mice, in part due to the suppression of innate immune inflammation.

摘要

背景/目的:有强有力的证据表明,葡萄糖稳态、肠道微生物群和宿主免疫系统之间的三方相互作用在2型糖尿病(T2DM)的病理生理学中起关键作用。我们之前报道过,花生壳提取物(PSE)通过抑制肝脏、大脑和白色脂肪组织中的氧化应激和炎症来改善db/db小鼠的线粒体功能。本研究评估了补充PSE对糖尿病小鼠葡萄糖稳态、肝脏组织学、肠道微生物群组成和先天免疫反应的影响。

方法

将14只db/db小鼠随机分为糖尿病组(DM,AIN-93G饮食)和PSE组(AIN-93G饮食中含1%重量/重量的PSE),持续5周。6只C57BL/6J小鼠接受AIN-93G饮食5周(对照组)。葡萄糖稳态参数包括血清胰岛素、HOMA-IR、HOMA-B,以及对胰腺组织进行胰岛素和胰高血糖素分析。我们使用微阵列评估结肠和肝脏中的先天免疫反应。使用16S rRNA基因扩增子测序分析盲肠内容物的肠道微生物群组成。

结果

补充PSE改善了糖尿病小鼠的葡萄糖稳态(降低血清胰岛素浓度、HOMA-IR和HOMA-B)并减少了肝脏脂质osis。补充PSE逆转了DM诱导的 、 、 和 扩增子序列变体相对丰度的变化。相对于DM小鼠,PSE组在肝脏中抑制了Cd8α、Csf2和Irf23的基因表达水平,并增加了Tyk2、Myd88和Gusb的表达水平。

结论

本研究表明,补充PSE可改善糖尿病小鼠与T2DM相关的病症,部分原因是抑制了先天免疫炎症。

https://cdn.ncbi.nlm.nih.gov/pmc/blobs/b0d8/11644521/f230a976d051/nutrients-16-04158-g001.jpg

文献AI研究员

20分钟写一篇综述,助力文献阅读效率提升50倍。

立即体验

用中文搜PubMed

大模型驱动的PubMed中文搜索引擎

马上搜索

文档翻译

学术文献翻译模型,支持多种主流文档格式。

立即体验