Suppr超能文献

转移性早发性结肠癌中的罕见基因融合:一例报告。

Rare gene fusions in metastatic early-onset colon cancer: A case report.

作者信息

Zhao Tingting, Yang Junting, Wang Meirong, Liu Jie

机构信息

Department of Clinical Laboratory, Yantai Yuhuangding Hospital, Yantai, China.

出版信息

Heliyon. 2024 Nov 28;10(23):e40753. doi: 10.1016/j.heliyon.2024.e40753. eCollection 2024 Dec 15.

Abstract

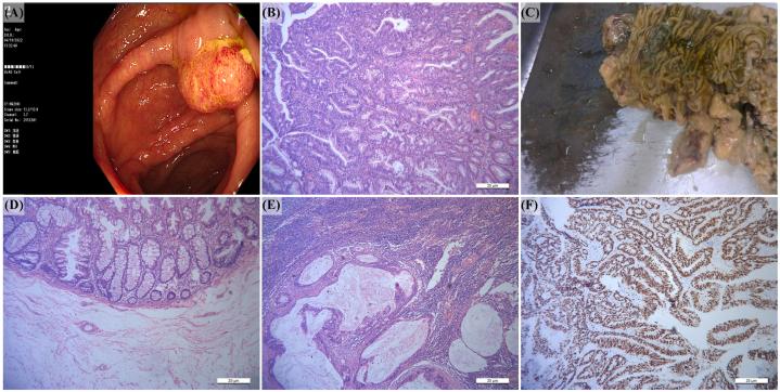
Gene fusions offer new therapeutic options for patients with metastatic colon cancer (CC). gene fusions are infrequent somatic mutations found in CC with prognostic and promising targeted therapies. CC diagnosed before the age of 50 was regarded as early-onset CC (EOCC). The incidence of EOCC is increasing, yet there is a clear unmet need to improve the management of EOCC. Herein, we selectively reported a case of metastatic EOCC with rare gene fusions. The right-sided tumors were radically resected. Next-generation sequencing (NGS) was performed on formalin-fixed paraffin-embedded tissues to eliminate gene variations. Histologically, the colonic hepatic flexure showed focal mucinous adenocarcinoma changes along with high-grade intraepithelial neoplasia. The results of histopathological examination belonged to pT1bN1bM0 ⅢA stage. Targeted DNA sequencing revealed (A10;B9) fusion and (B8;A11) fusion were simultaneously detected in this case. Microsatellite instability-high (MSI-H) and mutations were not detected. During a limited 1.5-year follow-up period, neither a confirmed local recurrence nor a distant organ metastasis occurred in this case. We propose that fusion variations can occur in metastatic EOCC.

摘要

基因融合为转移性结肠癌(CC)患者提供了新的治疗选择。基因融合是在CC中发现的罕见体细胞突变,具有预后价值且是有前景的靶向治疗靶点。50岁之前诊断出的CC被视为早发性CC(EOCC)。EOCC的发病率正在上升,但在改善EOCC的管理方面显然仍有未满足的需求。在此,我们选择性地报告了一例伴有罕见基因融合的转移性EOCC病例。右侧肿瘤被根治性切除。对福尔马林固定石蜡包埋组织进行了二代测序(NGS)以排除基因变异。组织学上,结肠肝曲显示局灶性黏液腺癌改变以及高级别上皮内瘤变。组织病理学检查结果属于pT1bN1bM0 ⅢA期。靶向DNA测序显示该病例同时检测到(A10;B9)融合和(B8;A11)融合。未检测到微卫星高度不稳定(MSI-H)和 突变。在为期1.5年的有限随访期内,该病例未出现确诊的局部复发或远处器官转移。我们提出融合变异可发生在转移性EOCC中。

https://cdn.ncbi.nlm.nih.gov/pmc/blobs/4e86/11648153/dfb1198d658e/gr1.jpg

文献AI研究员

20分钟写一篇综述,助力文献阅读效率提升50倍。

立即体验

用中文搜PubMed

大模型驱动的PubMed中文搜索引擎

马上搜索

文档翻译

学术文献翻译模型,支持多种主流文档格式。

立即体验