Suppr超能文献

鞘内或静脉注射最小有效剂量的腺相关病毒9型-艾杜糖醛酸酶/ RGX - 111可预防小鼠黏多糖贮积症I型的心脏、骨骼和神经表现。

Intrathecal or intravenous AAV9-IDUA/RGX-111 at minimal effective dose prevents cardiac, skeletal and neurologic manifestations of murine MPS I.

作者信息

Belur Lalitha R, Huber Avery K, Mantone Hillary, Robertson Mason, Smith Miles C, Karlen Andrea D, Kitto Kelley F, Ou Li, Whitley Chester B, Braunlin Elizabeth, Furcich Justin, Lund Troy C, Seelig Davis, Fairbanks Carolyn A, Buss Nicholas, Kim Kwi Hye, McIvor R Scott

机构信息

Center for Genome Engineering, Department of Genetics, Cell Biology and Development, University of Minnesota, Minneapolis, MN, USA.

Department of Pharmaceutics, University of Minnesota, Minneapolis MN, USA.

出版信息

Mol Ther Methods Clin Dev. 2024 Nov 4;32(4):101369. doi: 10.1016/j.omtm.2024.101369. eCollection 2024 Dec 12.

Abstract

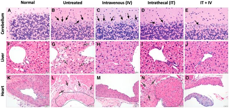
Mucopolysaccharidosis type I (MPS I) is a rare metabolic disorder caused by deficiency of α-L-iduronidase (IDUA), resulting in glycosaminoglycan (GAG) accumulation and multisystemic disease. Current treatments include hematopoietic stem cell transplantation and enzyme replacement therapy, but these do not address all manifestations of the disease. We infused MPS I mice with an adeno-associated virus 9 (AAV9)-IDUA vector (RGX-111) at doses from 10 to 10 vector genomes (vg) via intrathecal (IT), intravenous (IV), and intrathecal+intravenous (IT+IV) routes of administration. In mice administered doses ≤10 vg IT or ≤10 vg IV, there was no therapeutic benefit, while in mice administered 10 vg IV, there was a variable increase in IDUA activity with inconclusive neurocognitive and cardiac assessments. However, at the 10 vg dose, we observed substantial metabolic correction, with restored IDUA levels and normalized tissue GAGs for all treatment groups. Aortic insufficiency was mostly normalized, neurologic deficit was prevented, and microcomputed tomography (micro-CT) analysis showed normalization of skeletal parameters. Histologic analysis showed minimal GAG storage and lysosomal pathology. We thus report a minimal effective dose of 10 vg (5 × 10 per kg) RGX-111 for IV and IT routes of administration in MPS I mice, which prevented neurocognitive deficit, cardiac insufficiency, and skeletal manifestations, as a model for genetic therapy of human MPS I.

摘要

I型黏多糖贮积症(MPS I)是一种罕见的代谢紊乱疾病,由α-L-艾杜糖醛酸酶(IDUA)缺乏引起,导致糖胺聚糖(GAG)蓄积和多系统疾病。目前的治疗方法包括造血干细胞移植和酶替代疗法,但这些方法并不能解决该疾病的所有表现。我们通过鞘内(IT)、静脉内(IV)和鞘内+静脉内(IT+IV)给药途径,以10至10个载体基因组(vg)的剂量给MPS I小鼠注射腺相关病毒9(AAV9)-IDUA载体(RGX-111)。在接受≤10 vg IT或≤10 vg IV剂量的小鼠中,没有治疗益处,而在接受10 vg IV的小鼠中,IDUA活性有不同程度的增加,但神经认知和心脏评估结果不明确。然而,在10 vg剂量时,我们观察到所有治疗组都有显著的代谢纠正,IDUA水平恢复,组织GAGs正常化。主动脉瓣关闭不全大多得到正常化,神经功能缺损得到预防,微计算机断层扫描(micro-CT)分析显示骨骼参数正常化。组织学分析显示GAG储存和溶酶体病理改变最小。因此,我们报告了RGX-111在MPS I小鼠中的静脉内和鞘内给药的最小有效剂量为10 vg(每千克5×10),这预防了神经认知缺陷、心脏功能不全和骨骼表现,作为人类MPS I基因治疗的模型。

https://cdn.ncbi.nlm.nih.gov/pmc/blobs/90f3/11646787/6df5cf175092/fx1.jpg

文献AI研究员

20分钟写一篇综述,助力文献阅读效率提升50倍。

立即体验

用中文搜PubMed

大模型驱动的PubMed中文搜索引擎

马上搜索

文档翻译

学术文献翻译模型,支持多种主流文档格式。

立即体验