Suppr超能文献

Foxo3介导的生理性细胞竞争确保了整个脊椎动物发育过程中稳健的组织模式形成。

Foxo3-mediated physiological cell competition ensures robust tissue patterning throughout vertebrate development.

作者信息

Matsumoto Kanako, Akieda Yuki, Haraoka Yukinari, Hirono Naoki, Sasaki Hiroshi, Ishitani Tohru

机构信息

Department of Homeostatic Regulation, Research Institute for Microbial Diseases, Osaka University, Suita, Osaka, Japan.

Department of Biological Sciences, Graduate School of Science, Osaka University, Suita, Osaka, Japan.

出版信息

Nat Commun. 2024 Dec 17;15(1):10662. doi: 10.1038/s41467-024-55108-x.

Abstract

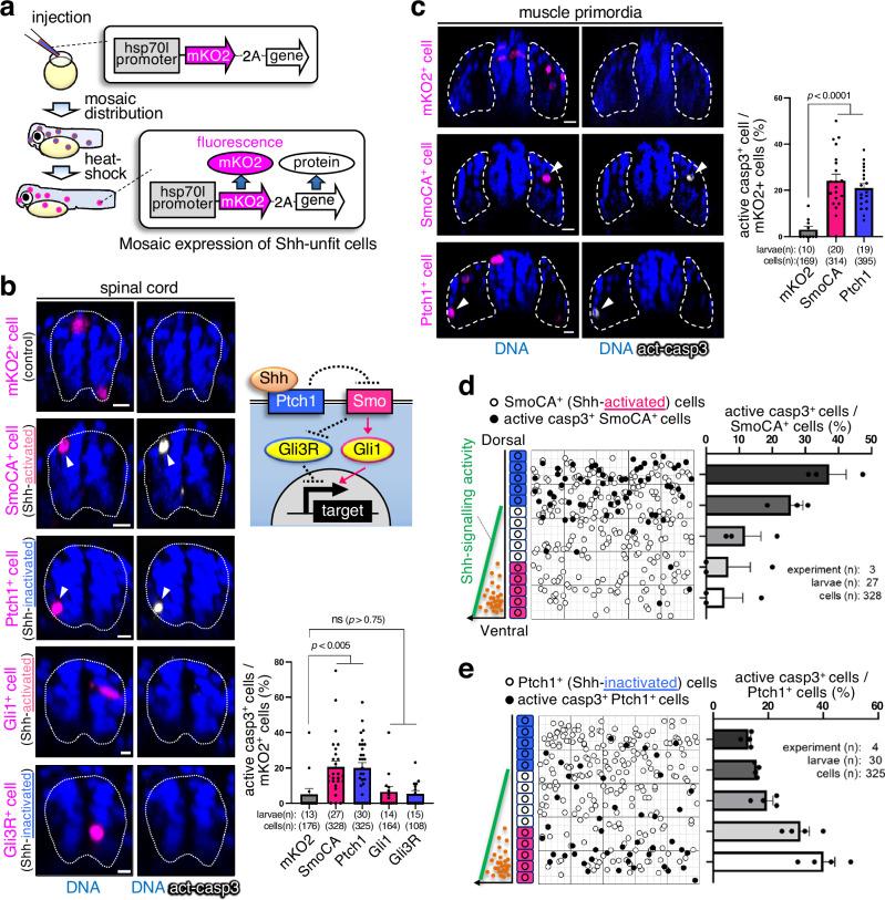
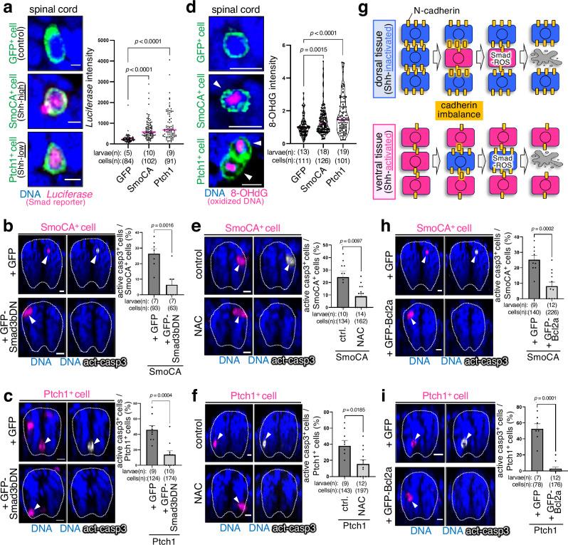
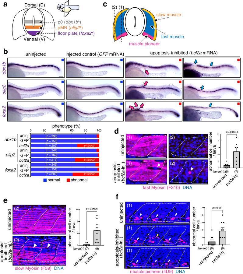
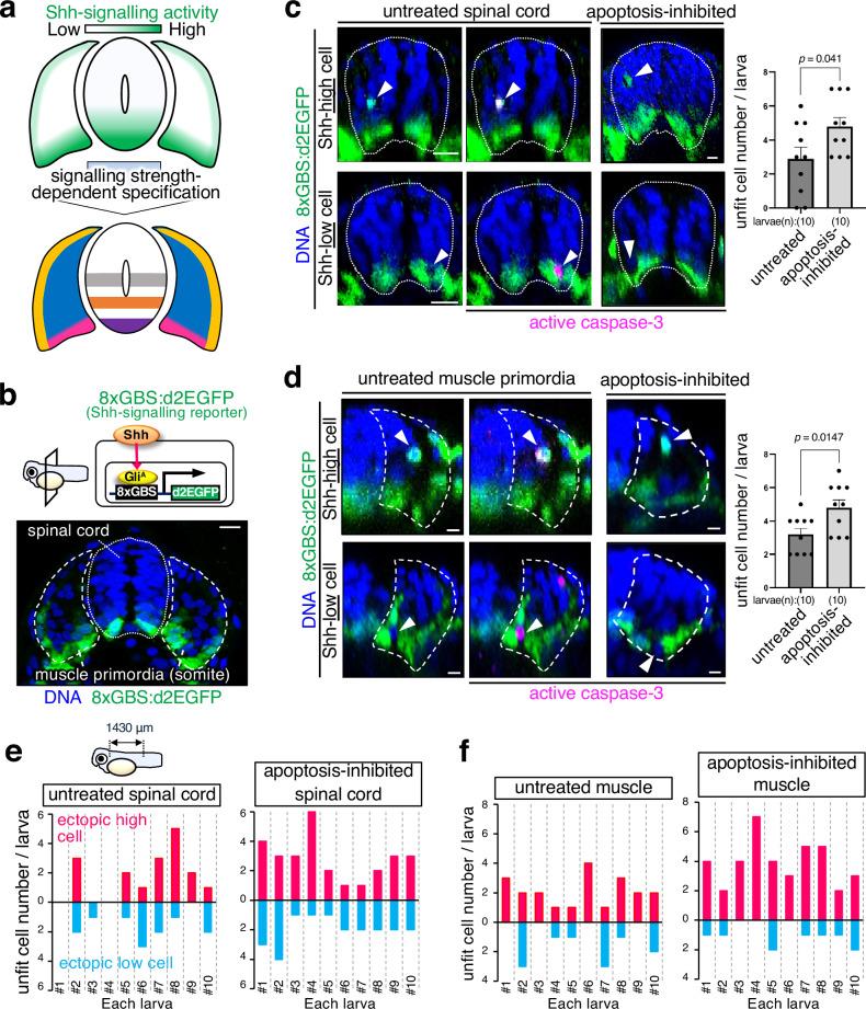
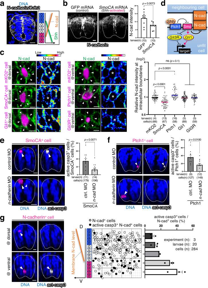
Unfit cells with defective signalling or gene expression are eliminated through competition with neighbouring cells. However, physiological roles and mechanisms of cell competition in vertebrates remain unclear. In addition, universal mechanisms regulating diverse cell competition are unknown. Using zebrafish imaging, we reveal that cell competition ensures robust patterning of the spinal cord and muscle through elimination of cells with unfit sonic hedgehog activity, driven by cadherin-mediated communication between unfit and neighbouring fit cells and subsequent activation of the Smad-Foxo3-reactive oxygen species axis. We identify Foxo3 as a common marker of loser cells in various types of cell competition in zebrafish and mice. Foxo3-mediated physiological cell competition is required for eliminating various naturally generated unfit cells and for the consequent precise patterning during zebrafish embryogenesis and organogenesis. Given the implication of Foxo3 downregulation in age-related diseases, cell competition may be a defence system to prevent abnormalities throughout development and adult homeostasis.

摘要

具有缺陷信号传导或基因表达的不适合细胞通过与邻近细胞竞争而被清除。然而,脊椎动物中细胞竞争的生理作用和机制仍不清楚。此外,调节多种细胞竞争的普遍机制也未知。利用斑马鱼成像技术,我们发现细胞竞争通过消除具有不适合音猬因子活性的细胞,确保脊髓和肌肉的稳健模式形成,这是由不适合细胞与邻近适合细胞之间钙黏蛋白介导的通讯以及随后Smad-Foxo3-活性氧轴的激活所驱动的。我们确定Foxo3是斑马鱼和小鼠各种类型细胞竞争中失败者细胞的共同标志物。Foxo3介导的生理细胞竞争对于消除各种自然产生的不适合细胞以及在斑马鱼胚胎发生和器官发生过程中随之而来的精确模式形成是必需的。鉴于Foxo3下调与年龄相关疾病的关联,细胞竞争可能是一种防御系统,可防止整个发育过程和成年体内平衡出现异常。

https://cdn.ncbi.nlm.nih.gov/pmc/blobs/447b/11652645/c83c12cbdacf/41467_2024_55108_Fig1_HTML.jpg

文献AI研究员

20分钟写一篇综述,助力文献阅读效率提升50倍。

立即体验

用中文搜PubMed

大模型驱动的PubMed中文搜索引擎

马上搜索

文档翻译

学术文献翻译模型,支持多种主流文档格式。

立即体验