Suppr超能文献

连续术中神经监测在猪模型脊神经根热损伤研究中的应用。

Application of continuous intraoperative neuromonitoring in the study of spinal nerve root thermal injury in a porcine model.

作者信息

Wang Chengxia, Li Zhuofu, Zhong Woquan, Jiang Shuai, Li Weishi

机构信息

Department of Orthopaedics, Peking University Third Hospital, 49 North Garden Road, Haidian District, Beijing, 100191, China.

Engineering Research Center of Bone and Joint Precision Medicine, Beijing, China.

出版信息

BMC Musculoskelet Disord. 2024 Dec 18;25(1):1012. doi: 10.1186/s12891-024-08177-4.

Abstract

BACKGROUND

A warning system to avoid potential nerve root thermal injury caused by automatic spine robot is essential. However, there is a lack of basic research to support the development of such warning system. The aims of this study are to confirm the feasibility of continuous intraoperative neuromonitoring (CIONM) in spinal nerve root monitoring and study the exposure time of spinal nerve root thermal injury at different temperature in a porcine model.

METHODS

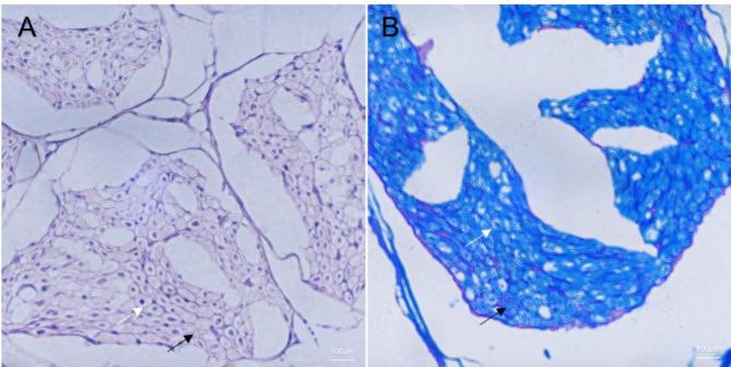
The experiment was carried out on 32 nerve roots of 4 pigs (bilateral L4-S1 nerve roots). Sham group (CIONM only), control group (Room temperature stimulation with CIONM), and 40 °C, 45 °C, 50 °C, 55 °C, 60 °C, 65 °C temperature stimulation groups were conducted at random in each pig. The change of EMG was recorded continuously. The exposure time of nerve root injury at different temperatures was recorded. Histological analysis of the nerve roots was performed to confirm the injury.

RESULTS

The EMG of the sham, control, 40 °C and 45 °C groups were stable during the experiment, and no significant nerve root injury was observed on histological analysis. The time of 50% EMG amplitude decrease in 50℃, 55℃, 60℃ and 65℃ groups were 277.5 ± 18.2, 59.5 ± 6.2, 20.8 ± 1.0 and 16.5 ± 1.3 s, respectively. And the nerve specimens of these groups showed varying degrees of damage.

CONCLUSIONS

CIONM can be used for continuous monitoring of spinal nerve roots. For 5 min, 40℃ and 45℃ did not cause significant nerve root injury. However, when the temperature reached 50℃ and above, nerve roots appeared injury.

摘要

背景

避免自动脊柱机器人导致潜在神经根热损伤的预警系统至关重要。然而,缺乏基础研究来支持此类预警系统的开发。本研究的目的是在猪模型中证实术中连续神经监测(CIONM)用于脊髓神经根监测的可行性,并研究不同温度下脊髓神经根热损伤的暴露时间。

方法

对4头猪的32条神经根(双侧L4 - S1神经根)进行实验。每头猪随机分为假手术组(仅CIONM)、对照组(CIONM下室温刺激)以及40℃、45℃、50℃、55℃、60℃、65℃温度刺激组。连续记录肌电图(EMG)的变化。记录不同温度下神经根损伤的暴露时间。对神经根进行组织学分析以确认损伤情况。

结果

假手术组、对照组、40℃和45℃组在实验过程中EMG稳定,组织学分析未观察到明显的神经根损伤。50℃、55℃、60℃和65℃组EMG波幅下降50%的时间分别为277.5±18.2、59.5±6.2、20.8±1.0和16.5±1.3秒。且这些组的神经标本显示出不同程度的损伤。

结论

CIONM可用于脊髓神经根的连续监测。5分钟内,40℃和45℃不会引起明显的神经根损伤。然而,当温度达到50℃及以上时,神经根出现损伤。

https://cdn.ncbi.nlm.nih.gov/pmc/blobs/4f87/11653797/4f37b743901a/12891_2024_8177_Fig1_HTML.jpg

文献AI研究员

20分钟写一篇综述,助力文献阅读效率提升50倍。

立即体验

用中文搜PubMed

大模型驱动的PubMed中文搜索引擎

马上搜索

文档翻译

学术文献翻译模型,支持多种主流文档格式。

立即体验