Suppr超能文献

干扰素基因刺激蛋白(STING)通过激活磷酸戊糖途径发挥抗病毒先天性免疫反应。

STING exerts antiviral innate immune response by activating pentose phosphate pathway.

作者信息

Wu Dan-Hui, Zhao Zi-Long, Yin Wei-Tao, Liu Huai, Xiang Xiong-Yan, Zhu Ling-Jun, Li Jun-Qi, Yan Zhen-Hua, Li Yu-Jia, Jian Yong-Ping, Xu Zhi-Xiang

机构信息

School of Life Sciences, Henan University, Kaifeng, Henan Province, China.

出版信息

Cell Commun Signal. 2024 Dec 18;22(1):599. doi: 10.1186/s12964-024-01983-2.

Abstract

BACKGROUND

The innate immune system serves as the host's first line of defense against invading pathogens. Stimulator of interferon genes (STING) is a key component of this system, yet its relationship with glucose metabolism, particularly in antiviral immunity, remains underexplored.

METHODS

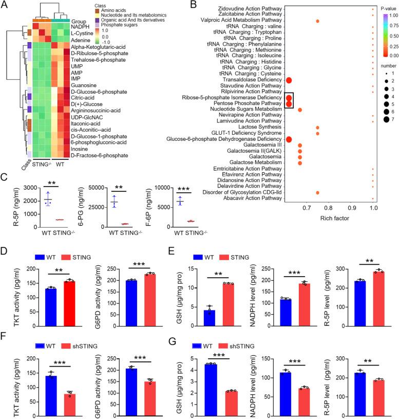
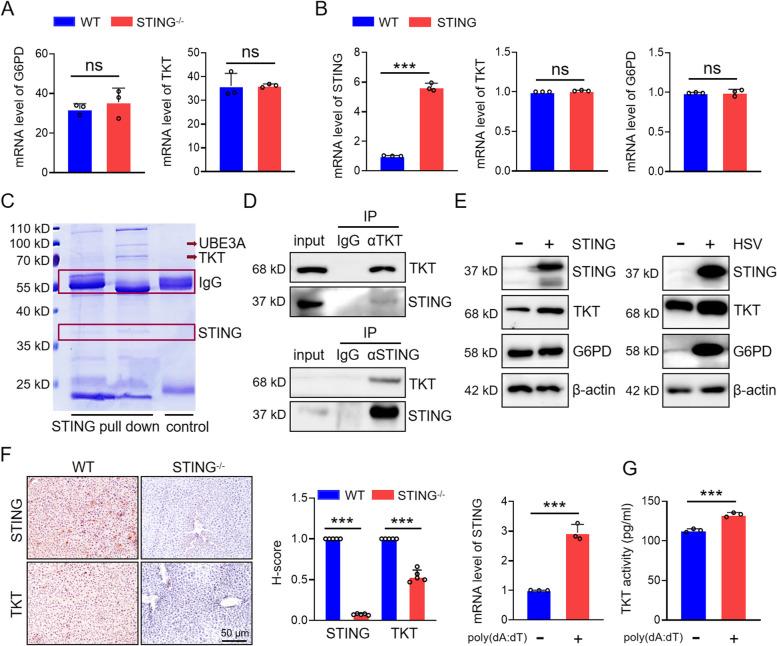
Metabolomics analysis was used for detecting metabolic alterations in spleens from STING knockout (KO) and wild-type (WT) mice. Co-immunoprecipitation was employed for determining ubiquitination of TKT. Mass spectrometry was used for detecting interaction proteins of STING. Enzyme activity kits were used for detecting the activities of TKT and G6PD.

RESULTS

In this study, we demonstrate that herpes simplex virus (HSV) infection activates the pentose phosphate pathway (PPP) in host cells, thereby initiating an antiviral immune response. Using STING-manipulated cells and systemic knockout mice, we show that STING positively regulates PPP, which, in turn, limits HSV infection. Inhibition of the PPP significantly reduced the production of antiviral immune factors and dampened STING-induced innate immune responses. Mechanistically, we discovered that STING interacts with transketolase (TKT), a key enzyme in the non-oxidative branch of the PPP, and reduces its ubiquitination via the E3 ubiquitin ligase UBE3A, stabilizing TKT. Silencing TKT or inhibiting its activity with oxythiamine diminished antiviral immune factor production.

CONCLUSION

Our findings reveal that the PPP plays a synergistic role in generating antiviral immune factors during viral infection and suggest that PPP activation could serve as an adjunct strategy for antiviral therapy.

摘要

背景

固有免疫系统是宿主抵御入侵病原体的第一道防线。干扰素基因刺激因子(STING)是该系统的关键组成部分,但其与葡萄糖代谢的关系,尤其是在抗病毒免疫中的关系,仍未得到充分探索。

方法

采用代谢组学分析检测STING基因敲除(KO)小鼠和野生型(WT)小鼠脾脏中的代谢变化。采用免疫共沉淀法测定转酮醇酶(TKT)的泛素化。采用质谱法检测STING的相互作用蛋白。使用酶活性试剂盒检测TKT和葡萄糖-6-磷酸脱氢酶(G6PD)的活性。

结果

在本研究中,我们证明单纯疱疹病毒(HSV)感染激活宿主细胞中的磷酸戊糖途径(PPP),从而启动抗病毒免疫反应。利用操纵STING的细胞和全身敲除小鼠,我们发现STING正向调节PPP,进而限制HSV感染。抑制PPP显著降低了抗病毒免疫因子的产生,并减弱了STING诱导的固有免疫反应。机制上,我们发现STING与PPP非氧化分支中的关键酶转酮醇酶(TKT)相互作用,并通过E3泛素连接酶UBE3A减少其泛素化,从而稳定TKT。沉默TKT或用氧硫胺素抑制其活性可减少抗病毒免疫因子的产生。

结论

我们的研究结果表明,PPP在病毒感染期间产生抗病毒免疫因子方面发挥协同作用,并提示激活PPP可作为抗病毒治疗的辅助策略。

https://cdn.ncbi.nlm.nih.gov/pmc/blobs/98ad/11656958/daf31f1f0df1/12964_2024_1983_Fig1_HTML.jpg

文献AI研究员

20分钟写一篇综述,助力文献阅读效率提升50倍。

立即体验

用中文搜PubMed

大模型驱动的PubMed中文搜索引擎

马上搜索

文档翻译

学术文献翻译模型,支持多种主流文档格式。

立即体验