Suppr超能文献

肾移行细胞癌的管理

Management of translocation carcinomas of the kidney.

作者信息

Ged Yasser, Feinaj Ardit, Baraban Ezra, Singla Nirmish

机构信息

Department of Oncology, The Sidney Kimmel Comprehensive Cancer Center, Johns Hopkins Medical Institutions, Baltimore, MD, USA.

Department of Pathology, Johns Hopkins Medical Institutions, Baltimore, MD, USA.

出版信息

Transl Cancer Res. 2024 Nov 30;13(11):6438-6447. doi: 10.21037/tcr-24-60. Epub 2024 Aug 8.

Abstract

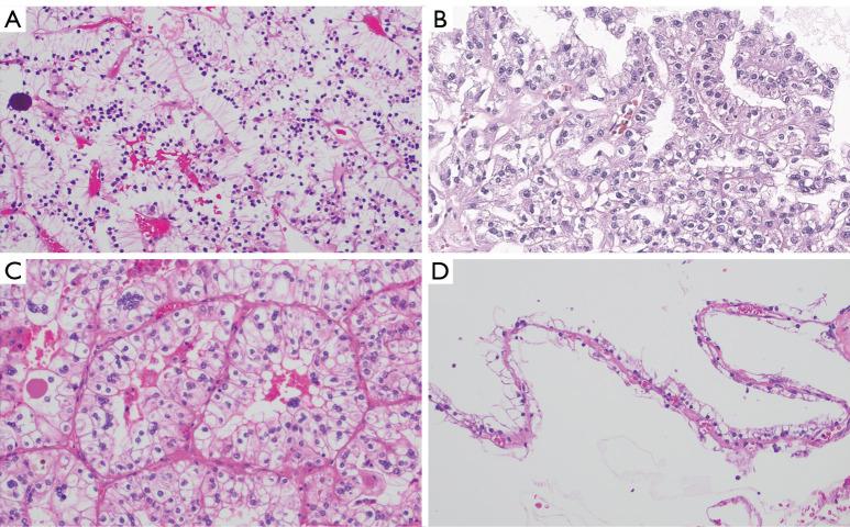
Microphthalmia-associated transcription factor family translocation renal cell carcinoma (MiT-tRCC) stands out as a rare subtype of kidney cancer with distinct biological features compared to other kidney cancer subtypes. It encompasses TFE3-rearranged RCC (also known as Xp11 translocation RCC) and TFE-rearranged translocations RCC, although multiple new fusion partners were identified. Traditionally thought to primarily affect children and young adults, more cases of MiT-tRCC are being identified in adults. It was first officially recognized in the 2004 World Health Organization (WHO) renal tumor classification and recently TFE3 (Xp11) rearrangement and TFEB alterations were included in the WHO 2022 "molecularly defined renal carcinomas" as a distinct group. This subtype is distinguished by gene fusions involving the MiT family of transcription factors. Recent strides in diagnostic and molecular sequencing assays have significantly enhanced our comprehension of these tumors, uncovering novel and distinct molecular features. The discovery of novel immune-checkpoint inhibitors and anti-angiogenic targeted therapies has notably broadened the therapeutic options for clear cell RCC. These advancements have prompted the consideration and study of these innovative therapies in translocation RCC. In this review, we offer an overview of translocation RCC and delve into the current strides in the management of this distinctive disease, highlighting the integration of recent breakthroughs in therapeutic approaches.

摘要

小眼畸形相关转录因子家族易位性肾细胞癌(MiT-tRCC)是一种罕见的肾癌亚型,与其他肾癌亚型相比具有独特的生物学特征。它包括TFE3重排性肾细胞癌(也称为Xp11易位性肾细胞癌)和TFE重排性易位性肾细胞癌,尽管已鉴定出多个新的融合伴侣。传统上认为主要影响儿童和年轻人,但现在在成年人中发现了更多MiT-tRCC病例。它在2004年世界卫生组织(WHO)肾肿瘤分类中首次被正式认可,最近TFE3(Xp11)重排和TFEB改变被纳入WHO 2022年“分子定义的肾癌”中作为一个独特的组。该亚型以涉及MiT转录因子家族的基因融合为特征。诊断和分子测序检测的最新进展显著增强了我们对这些肿瘤的理解,揭示了新的和独特的分子特征。新型免疫检查点抑制剂和抗血管生成靶向治疗的发现显著拓宽了透明细胞肾细胞癌的治疗选择。这些进展促使人们考虑并研究这些创新疗法在易位性肾细胞癌中的应用。在本综述中,我们概述了易位性肾细胞癌,并深入探讨了这种独特疾病管理方面的当前进展,突出了治疗方法中最新突破的整合。

https://cdn.ncbi.nlm.nih.gov/pmc/blobs/4079/11651741/b9b08799c9cd/tcr-13-11-6438-f1.jpg

文献AI研究员

20分钟写一篇综述,助力文献阅读效率提升50倍。

立即体验

用中文搜PubMed

大模型驱动的PubMed中文搜索引擎

马上搜索

文档翻译

学术文献翻译模型,支持多种主流文档格式。

立即体验