Suppr超能文献

心脏脂肪组织在冠状动脉疾病中的作用:心脏成像研究的叙述性综述

The role of cardiac adipose tissue in coronary artery disease: a narrative review of cardiac imaging studies.

作者信息

Baichoo Rajiv, Fu Jiayi, Xiong Xing, Zhou Qijing, Guan Xiaojun, Xu Xiaojun

机构信息

Department of Radiology, The Second Affiliated Hospital, Zhejiang University School of Medicine, Hangzhou, China.

Joint Laboratory of Clinical Radiology, The Second Affiliated Hospital, Zhejiang University School of Medicine, Hangzhou, China.

出版信息

Quant Imaging Med Surg. 2024 Dec 5;14(12):9685-9697. doi: 10.21037/qims-24-1245. Epub 2024 Nov 29.

Abstract

BACKGROUND AND OBJECTIVE

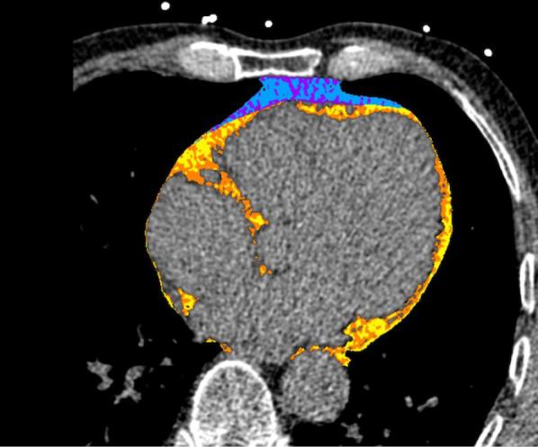
Cardiac adipose tissue's (CAT) role in the pathogenesis of coronary artery disease (CAD) has become a hot topic in the literature in recent years. Cardiac computed tomography (CCT), a cutting-edge imaging modality, has become vital in quantifying and characterizing CAT. CAT is divided into paracardial adipose tissue (PAT), epicardial adipose tissue (EAT), and pericoronary adipose tissue (PCAT). Despite numerous studies investigating the association of EAT and PCAT with CAD, their connection remains equivocal. In this review, we clarify the relationship between EAT and PCAT with atherosclerotic burden, high-risk plaque, major adverse cardiovascular events, and the prediction of CAD through the use of CCT.

METHODS

A thorough literature research spanning from January 2004 to May 2024 of the PubMed database was conducted. Only publications in English which included reviews, clinical trials, meta-analyses, and systematic reviews on CAT's association with CAD were considered. The 63 articles in the review honed in on the influence of CAT metrics obtained mainly by CCT with multiple stages of CAD.

KEY CONTENT AND FINDINGS

Current evidence supports the interaction between dysfunctioning EAT and PCAT and the release of several molecules within the neighboring coronary arteries which is linked with the development and progression of CAD. EAT is related to coronary plaque synthesis. PCAT underlines ongoing inflammation within the plaques. CAT evaluation provides significant incremental value compared to existing assessment methods. It enables enhanced prognostic judgment and further stratified management of CAD patients.

CONCLUSIONS

CAT metrics have the potential to become future biomarkers of CAD. Additional investigations are required to explore the potential of these metrics as composite scores CAD risk prediction.

摘要

背景与目的

近年来,心脏脂肪组织(CAT)在冠状动脉疾病(CAD)发病机制中的作用已成为文献中的热门话题。心脏计算机断层扫描(CCT)作为一种前沿成像方式,在量化和表征CAT方面变得至关重要。CAT分为心包旁脂肪组织(PAT)、心外膜脂肪组织(EAT)和冠状动脉周围脂肪组织(PCAT)。尽管有众多研究探讨EAT和PCAT与CAD的关联,但其联系仍不明确。在本综述中,我们通过使用CCT阐明EAT和PCAT与动脉粥样硬化负担、高危斑块、主要不良心血管事件以及CAD预测之间的关系。

方法

对PubMed数据库进行了从2004年1月至2024年5月的全面文献研究。仅纳入英文出版物,包括关于CAT与CAD关联的综述、临床试验、荟萃分析和系统评价。该综述中的63篇文章重点关注主要通过CCT获得的CAT指标对CAD多个阶段的影响。

关键内容与发现

目前的证据支持功能失调的EAT和PCAT之间的相互作用以及相邻冠状动脉内几种分子的释放,这与CAD的发生和发展有关。EAT与冠状动脉斑块合成有关。PCAT强调斑块内持续存在的炎症。与现有评估方法相比,CAT评估具有显著的增量价值。它能够增强CAD患者的预后判断和进一步的分层管理。

结论

CAT指标有可能成为未来CAD的生物标志物。需要进一步研究来探索这些指标作为CAD风险预测综合评分的潜力。

https://cdn.ncbi.nlm.nih.gov/pmc/blobs/b72c/11651924/df7553d79698/qims-14-12-9685-f1.jpg

文献AI研究员

20分钟写一篇综述,助力文献阅读效率提升50倍。

立即体验

用中文搜PubMed

大模型驱动的PubMed中文搜索引擎

马上搜索

文档翻译

学术文献翻译模型,支持多种主流文档格式。

立即体验