Suppr超能文献

与其他心血管危险因素相比,主动脉缩窄修复患者的颈总动脉特征。

Common carotid artery characteristics in patients with repaired aortic coarctation compared to other cardiovascular risk factors.

作者信息

Lindow Anna, Kennbäck Cecilia, Åkesson Anna, Nilsson Peter M, Weismann Constance G

机构信息

Pediatric Cardiology, Department of Clinical Sciences, Lund University, Skåne University Hospital, Lund, Sweden.

Department of Clinical Sciences, Lund University, Skåne University Hospital, Malmö, Sweden.

出版信息

Int J Cardiol Congenit Heart Dis. 2022 Jan 3;7:100319. doi: 10.1016/j.ijcchd.2022.100319. eCollection 2022 Mar.

Abstract

AIMS

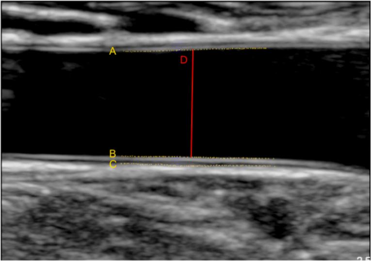
Increased common carotid artery (CCA) intima media thickness (cIMT) is a well-known risk factor for cardiovascular morbidity and mortality. cIMT thickening has been described in patients with repaired aortic coarctation (CoA), but data on mechanism and clinical relevance in this population are scarce. Our aim was to gain mechanistic insights into cIMT thickening of patients with repaired CoA by comparing their wall architecture to patients with coronary artery disease (CAD), other congenital heart diseases (oCHD), and healthy controls.

METHODS AND RESULTS

A total of 310 subjects were included (CoA (n ​= ​58), oCHD (n ​= ​96), CAD (n ​= ​68) and healthy controls (n ​= ​88)). CIMT and lumen diameter (LD) were determined using semiautomated analysis software. Linear regression analyses were performed correcting for relevant covariates. While patients with repaired CoA and CAD both had significantly increased cIMT and cIMT/LD ratios, LD was increased only in CoA patients. Furthermore, patients with repaired CoA had decreased CCA stiffness. CCA characteristics in the oCHD group were not significantly different from controls.

CONCLUSION

The mechanism of cIMT thickening in patients with repaired CoA may differ from CAD. While there is concentric remodeling in the latter, we see predominant eccentric remodeling in the CoA group, which could be due to increased flow as a result of compliance mismatch at the CoA repair site. We therefore suggest that the prognostic value of cIMT in post-CoA patients should be validated separately prior to using it to guide clinical management in this group.

摘要

目的

颈总动脉(CCA)内膜中层厚度(cIMT)增加是心血管疾病发病和死亡的一个众所周知的危险因素。在主动脉缩窄(CoA)修复患者中已观察到cIMT增厚,但关于该人群中其机制和临床相关性的数据较少。我们的目的是通过将CoA修复患者的血管壁结构与冠状动脉疾病(CAD)患者、其他先天性心脏病(oCHD)患者及健康对照进行比较,深入了解CoA修复患者cIMT增厚的机制。

方法和结果

共纳入310名受试者(CoA组(n = 58)、oCHD组(n = 96)、CAD组(n = 68)和健康对照组(n = 88))。使用半自动分析软件测定cIMT和管腔直径(LD)。进行线性回归分析,并对相关协变量进行校正。虽然CoA修复患者和CAD患者的cIMT和cIMT/LD比值均显著增加,但仅CoA患者的LD增加。此外,CoA修复患者的CCA僵硬度降低。oCHD组的CCA特征与对照组无显著差异。

结论

CoA修复患者cIMT增厚的机制可能与CAD不同。后者存在向心性重塑,而在CoA组中我们看到的主要是离心性重塑,这可能是由于CoA修复部位顺应性不匹配导致血流增加所致。因此,我们建议在将cIMT用于指导该组患者的临床管理之前,应单独验证其在CoA修复后患者中的预后价值。

https://cdn.ncbi.nlm.nih.gov/pmc/blobs/eb5f/11657401/7d2bf72d32c7/gr1.jpg

文献AI研究员

20分钟写一篇综述,助力文献阅读效率提升50倍。

立即体验

用中文搜PubMed

大模型驱动的PubMed中文搜索引擎

马上搜索

文档翻译

学术文献翻译模型,支持多种主流文档格式。

立即体验