Suppr超能文献

由TAT肽介导的水母超氧化物歧化酶转导改善了HO诱导的HaCaT细胞氧化应激。

Transduction of jellyfish superoxide dismutase mediated by TAT peptide ameliorates HO-induced oxidative stress in HaCaT cells.

作者信息

Wang Bo, Huang Yichao, Cheng Xi, Song Juxingsi, Wang Qianqian, Zhu Yuanjie, Zhang Liming, Liu Guoyan

机构信息

Naval Special Medical Center, Naval Medical University, Shanghai, 200433, China.

Naval Special Medical Center, Naval Medical University, Shanghai, 200052, China.

出版信息

Sci Rep. 2024 Dec 28;14(1):31037. doi: 10.1038/s41598-024-82261-6.

Abstract

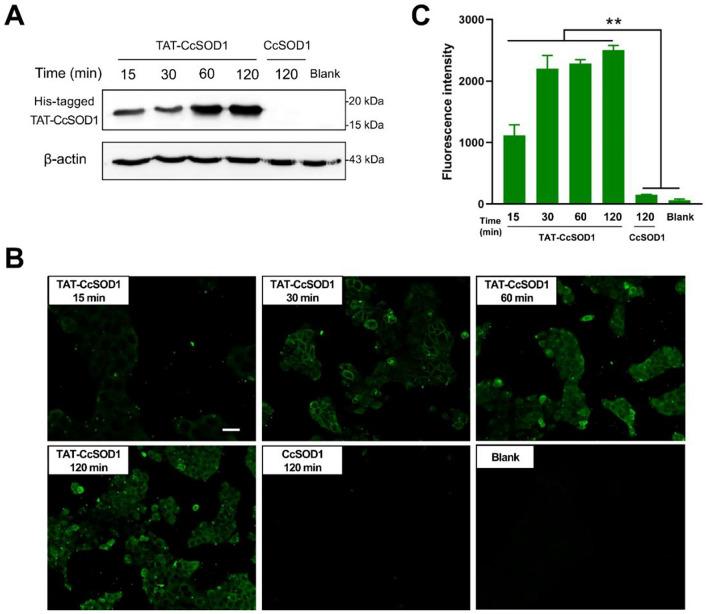
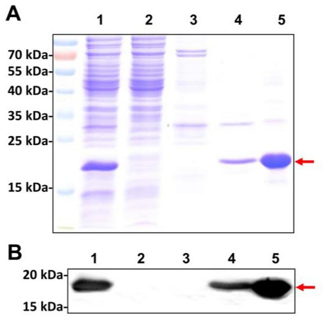
Superoxide dismutase (SOD) plays important roles in the balance of oxidation and antioxidation in body mostly by scavenging superoxide anion free radicals (O). Previously, we reported a novel Cu/Zn SOD from jellyfish Cyanea capillata, named CcSOD1, which exhibited excellent SOD activity and high stability. TAT peptide is a common type of cell penetrating peptides (CPPs) that efficiently deliver extracellular biomacromolecules into cytoplasm. In this study, we constructed a recombinant expression vector that combined the coding sequences of TAT peptide and CcSOD1, and then obtained sufficient and high-purity TAT-CcSOD1 fusion protein. Compared with some reported SODs/CPP-SODs, TAT-CcSOD1 possessed stronger tolerance to heat and acid-base environment. TAT-CcSOD1 efficiently penetrated cell membrane and significantly enhanced the O scavenging ability in cells, and attenuated HO-induced cytotoxicity and NO generation in HaCaT cells. This study serves as a critical step forward for the application of TAT-CcSOD1 as a potential protective/therapeutic agent against oxidative stress-related conditions in the future.

摘要

超氧化物歧化酶(SOD)主要通过清除超氧阴离子自由基(O)在机体氧化与抗氧化平衡中发挥重要作用。此前,我们报道了一种来自海月水母的新型铜/锌超氧化物歧化酶,命名为CcSOD1,其具有优异的超氧化物歧化酶活性和高稳定性。TAT肽是一种常见的细胞穿透肽(CPPs),可有效地将细胞外生物大分子递送至细胞质中。在本研究中,我们构建了一个将TAT肽编码序列与CcSOD1编码序列相结合的重组表达载体,随后获得了足量且高纯度的TAT-CcSOD1融合蛋白。与一些已报道的超氧化物歧化酶/CPP-超氧化物歧化酶相比,TAT-CcSOD1对热和酸碱环境具有更强的耐受性。TAT-CcSOD1能够有效地穿透细胞膜,并显著增强细胞内超氧阴离子自由基的清除能力,减轻过氧化氢诱导的HaCaT细胞毒性和一氧化氮生成。本研究为TAT-CcSOD1未来作为一种潜在的针对氧化应激相关病症的保护/治疗剂的应用迈出了关键一步。

https://cdn.ncbi.nlm.nih.gov/pmc/blobs/4f4c/11680928/02d5683b1ab9/41598_2024_82261_Fig1_HTML.jpg

文献AI研究员

20分钟写一篇综述,助力文献阅读效率提升50倍。

立即体验

用中文搜PubMed

大模型驱动的PubMed中文搜索引擎

马上搜索

文档翻译

学术文献翻译模型,支持多种主流文档格式。

立即体验